ВХОД ДЛЯ ПАЦИЕНТОВ
вверх
поиск
админ
главная
исходное
|
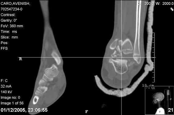
Re: Осколчатый перелом таранной кости
послал Mark Eidelman 15 Март 2008, 04:16
|
ya by popytalsya sobrat talus anatomichno,seichas pozdno operirovat iz za oteka,po etomy distrakziya apparatom budet optmalna.Posyalu vam podobyai moi sluchai.

14 years old girl
Fall from height ( 3rd floor)
Compressed fractures of L1-L2
Fx of orbital bone
|
| Послать ответ |
Обратите внимание: Поля с жирными названиями обязательны.
Старайтесь отвечать в рамках обсуждаемой темы, а не начинать новые обсуждения.
Указывайте адекватную тему сообщения, чтобы было ясно, о чем оно.
Не послайте сообщений не по теме (оффтопик), раздраженных, грубых или обидных комментариев. Здесь это неуместно.
|