Ответить
|
Re: Остеобластокластома?
Djoldas Kuldjanov,M.D. 22 Март 2008, 21:53
|
Привет Александр,
Прекрасное тактическое и механическое решение и поздравляю от отхода от обычного Илизаровского решения проблемы дефектов кости.
Жесткая Фиксация по три шурупа на сегменте удержат нагрузку на конечность.
Удачи тебе и больной, надеемся на продолжения "супер" инновативной техники в России и других странах.
|
[
Ответить ]
|
Re: Остеобластокластома?
Жужнев Александр 22 Март 2008, 22:09
|
Здравствуйте уваж. Александр Николаевич!
Случай безусловно интересный,и вы абсолютно правы относительно нехарактерной локализаци.
Результат лечения смотрится очень красиво и эффектно, жаль только, что по нашей российской действительности, в силу невообразимой массы обстоятельств, не удаётся осуществить желаемого лечения в более сжатые сроки. Больной безусловно повезло, что она попала под ваш "присмотр", так как в наше время многое решается только благодаря личному энтузиазму доктора, а не системы в целом.
Спасибо за интересное сообщение.
С уважением Жужнев А.
|
[
Ответить ]
|
Re: Остеобластокластома?
Odessky Jacob M.D. 23 Март 2008, 01:20
|
Полностью согласен с тактикой лечения.
Думаю, что Ваше новое руководство, с тем огромным опытом, имеющем в травматологии-ортопедии, по достоинству оценит решение принятое Вами.
С уважением!
|
[
Ответить ]
|
Re: Остеобластокластома?
Alexey Semenisty 23 Март 2008, 09:03
|
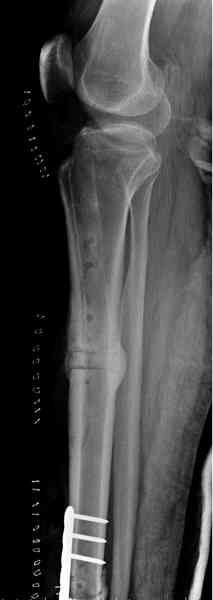
Александр, выглядит великолепно, поздравляю! Заполняли ли чем-нибудь пространство между кейджем и штифтом? Очень интересный случай, держи всех в курсе при любом исходе.
С уважением, А.Семенистый.
ГКБ № 13, Москва.
|
[
Ответить ]
|
Re: Остеобластокластома?
Отправитель: Alexander Chelnokov 23 Март 2008, 21:48
|
>Александр, выглядит великолепно, поздравляю!
Спасибо за поздравления. Операция на самом деле довольно технологичная, все как-то удобно почти само получается.
>Заполняли ли чем-нибудь пространство между кейджем и штифтом?
Нет. Просвет внутри кейджа - 13 мм, штифт - 12 мм. Не так там и много пространства то есть. Но вопрос правильный, интересный, из разряда современных нерешенных проблем.
>Очень интересный случай, держи всех в курсе при любом исходе.
Буду.
|
[
Ответить ]
|
|
Re: Остеобластокластома?
Djoldas Kuldjanov 23 Март 2008, 17:08
|
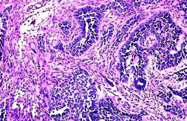
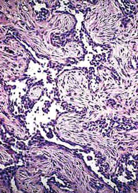
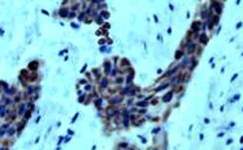
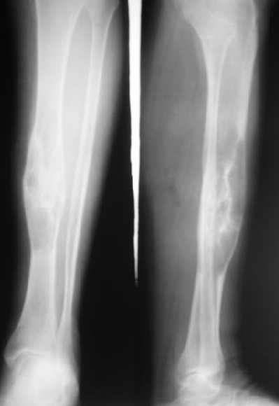
"При его рассмотрении с рентгенологом и морфологом сошлись, что это не фиброзная дисплазия, что было первым предположением по рентгенограммам. В полости было и мягкотканое образование. Окончательно заключение дадут через несколько дней"
По локализации и по характреру опухоли мало напоминает остеобластому, может, представленные биопсийные материалы адамантиномы помогут вашим морфологам дифференцировать опухоль (Basiloid cells, pseudoglandular pattern and peripheral palisading)

Недавно на нашей ежемесячной Morbidity&Mortality
conference мы разбирали похожий случай, ложный сустав большеберцовой кости после резекции опухоли.
К нашему онкологу-ортопеду обратился больной с жалобами на боли в голени, из рассказа - год назад была сделана биопсия большеберцовой кости, но название заболевания "не запомнил”.
Оперирован в военном госпитале с заменой сегмента
аллокостью большеберцовой кости и после демобилизации явился для постоянного наблюдения по месту жительства.
В литературе "A Classic Adamantinoma Arising from
Osteofibrous Displasialike Adamantinoma in the Lower Leg: A case report and Review of the Literature похожие снимки.
Наши имели проблему со сращением, пришлось им сделать динамизацию, дополнительную аутопластику.
Снимки представлены.
Djoldas Kuldjanov, MD
Department of Orthopedic Surgery
St. Louis University Medical Center
|
[
Ответить ]
|
Re: Остеобластокластома?
Dr Uday Kumar 23 Март 2008, 21:06
|
Dear Dr Chelnokov,
Wonderful work done. Very unusal to get a GCT in the diaphysis.
Would like to see the followup.
Dr Uday Kumar
Bangalore
India
|
[
Ответить ]
|
Re: Остеобластокластома?
Леспович 23 Март 2008, 21:23
|
Решение оригинальное, классное.
Александр, а что ангиография (локально)? Не рассматривали ли Вы вариант подсадки свободного надкостничного лоскута на артериальной ножке например реберной области в бассейн передней большеберцевой артерии (как вариант)?
|
[
Ответить ]
|
Re: Остеобластокластома?
Отправитель: Alexander Chelnokov 23 Март 2008, 22:50
|
Л> Решение оригинальное, классное.
Не оригинальное, подход не раз был демонстрирован нас в стране проф. Анатолием Федоровичем Лазаревым (ЦИТО), который это называет "металлокаркасная пластика". У нас в институте в другом отделении он
помогал сделать несколько таких металлокаркасов, только, насколько я помню, без блокируемых стержней. А в мире эта методика довольно давно
применяется, хотя и не массово. Например, осенью прошлого года на конференции общества Кюнчера в Страсбурге было хорошее сообщение на эту тему. 17 больных, результаты уже до 5 лет.
Л> Александр, а что ангиография (локально)?
Как-то с ходу даже не могу придумать, зачем бы ее стоило делать.
Л> Не рассматривали ли Вы вариант подсадки свободного надкостничного
Л> лоскута на артериальной ножке например реберной области в бассейн
Л> передней большеберцевой артерии (как вариант)?
Нет, не рассматривали. Да, мысль интересная. Надо ли, и какими мерами, добиваться обрастания кейджа костью - вообще вопрос на сегодня открытый.
Мы надеемся, что для обеспечения "функциональной целостности конечности" должно быть достаточно того, что сделано - при низких функциональных потребностях этой пациентки как минимум на ближайшие годы. Тьфу х3.
|
[
Ответить ]
|
Re: Остеобластокластома?
Отправитель: Луспович 24 Март 2008, 17:34
|
Приветствую Всех!
Я имел ввиду то, что металлокаркасная пластика неплохая альтернатива операции Гана-Кодивилла-Гетгингтона, главным образом, по сроку лечения. Вопросы у меня вызывает опороспособность 2х НЕ ЗАВИСИМЫХ друг от друга мет. имплантатов, точнее сроки их дестабилизации, как конструкции, не у конкретно взятого пациента, и интересно как предотвратить саму возможность расшатывания путем создания костного "корсета".
С уважением Алексей (Киевский центр пластической микрохирургии и ХК).
|
[
Ответить ]
|
Re: Остеобластокластома?
Отправитель: Коваленко А.Н. 29 Март 2008, 21:59
|
Приветствую, Александр Николаевич и коллеги!
Несколько раз перечитывал пост, так и не нашел ответа на свои вопросы. Создается впечатление по исключительнонй положительности отзывов, что все знают что-то секретное про данную ситуацию, чего не могу понять я, потому что у меня куча вопросов.
Решение однозначно нестандартное (пока?), выглядит ортопедически эстетично и привлекательно. Но считать его паллиативным или радикальным? Вы рассчитываете на работу импланта-эндопротеза в течение 2 лет. А дальше? Какие (кроме того что они положительные) результаты и выводы получили авторы доклада на обществе Кюнчера (хорошо если есть ссылки на тезисы и подобные статьи будут)? Что происходит с металлической сеткой на отдаленном сроке, заполняется ли она костным веществом, а может этого вовсе и не требуется, были ли изломы имплантов? В примерах, показанных Анатолием Федоровичем, сетка носила роль "удерживателя" элементов костной пластики в патологическом очаге. Если здесь отсутствует костная пластика то какую роль,кроме моделирования формы нормальной кости, выполняет сетка? Может я что-то все-таки пропустил в предыдущих комментариях, прошу прощения, если нетрудно объясните еще раз. Спасибо.
|
[
Ответить ]
|
Re: Остеобластокластома?
Отправитель: Alexander Chelnokov 29 Март 2008, 22:33
|
Dear Anton.
КАН> Решение однозначно нестандартное (пока?), выглядит ортопедически
КАН> эстетично и привлекательно. Но считать его паллиативным или
КАН> радикальным? Вы рассчитываете на работу импланта-эндопротеза в
КАН> течение 2 лет. А дальше?
Насчет двух лет - чего-то не припомню. В этом конкретном случае, у немолодой и практически слепой женщины, надеюсь, можно и на 20 лет
рассчитывать.
КАН> Какие (кроме того что они положительные)
КАН> результаты и выводы получили авторы доклада на обществе Кюнчера
КАН> (хорошо если есть ссылки на тезисы и подобные статьи будут)?
Да хорошие, все нормально при наблюдении до 5 лет. У всех все состоятельно.
КАН> Что происходит с металлической сеткой на отдаленном сроке, заполняется ли
КАН> она костным веществом, а может этого вовсе и не требуется, были ли
КАН> изломы имплантов?
У некоторых обрастает. Надо ли этого добиваться - вопрос открытый. У одного, кажется, больного потребовалась ранняя ревизия из-за погрешностей при операции, сильно несоосно засинтезировали.
КАН> В примерах, показанных Анатолием Федоровичем,
КАН> сетка носила роль "удерживателя" элементов костной пластики в
КАН> патологическом очаге.
А это тоже спорный на сегодня вопрос - надо ли что-то добавлять. И если добавлять, то что, и в каких случаях.
КАН> Если здесь отсутствует костная пластика то какую роль,кроме
КАН> моделирования формы нормальной кости, выполняет
КАН> сетка?
Как минимум эндопротез трубчатой кости. Несущий часть нагрузки.
|
[
Ответить ]
|
|
Re: Остеобластокластома?
Maxim Agalakov 23 Март 2008, 22:45
|
>Будем признательны за комментарии и критику.
the best of the best of the best!
C мегауважением, Максим.
|
[
Ответить ]
|
Re: Остеобластокластома?
Dr. T. I. George 23 Март 2008, 23:34
|
Alex,
Quite an impressive work!!.
Can I shoot a few questions?
Was this titanium cage custom made for this patient or commecially available for such work? Do you have different lengths of this cage or were you forced to cut it on table to suite tha gap? (Or did you have to make the gap to suite the cage?)
Do you fill the cage with bone graft or are you depending on this metal for long term support without biological augumentation?
How is the skin coverage after such an extensive dissection and placment of a large piece of metal in a plane very close to the surface?
I am sure you have answers ready as usual.I look forward to seeing your reply.
Kindly bear with my poor connectivity. I may not read your answer today.
Best wishes.
Dr. T. I. George.
(Dr George T Ittoop,)
Sr Specialist, Orthopaedics,
Ibra Regional Hospital,
North Sharquia Region,
Sultanate of Oman.
|
[
Ответить ]
|
Re: Остеобластокластома?
Отправитель: Alexander Chelnokov 24 Март 2008, 00:23
|
gt> Was this titanium cage custom made for this patient or commecially
gt> available for such work? Do you have different lengths of this cage or
gt> were you forced to cut it on table to suite tha gap? (Or did you have
gt> to make the gap to suite the cage?)
The cages are commercially available but up to 10 cm. So we measured the needed length on x-rays, added 2 cm at both ends for sure that
the resected piece will include all, and resulted with 15 cm which one was ordered and individually made by the same factory. So yes, we made the gap to fit the cage.
gt> Do you fill the cage with bone graft or are you depending on this
gt> metal for long term support without biological augumentation?
The inner diameter of the tube is 13 mm, the nail was 12 mm, so not so much space to put something inside. Yes, this is really shaft endoprosthesis which i hardly ever would offer for a young football player. Though... Maybe we would when we collect some experience with this sort of implants to feel/prognose its strength in different settings.
gt> How is the skin coverage after such an extensive dissection and
gt> placment of a large piece of metal in a plane very close to the
gt> surface?
No problem with the skin since the cage is less than the removed tissue and the surgery was quick enough not to meet oedema.
|
[
Ответить ]
|
|
Re: Остеобластокластома?
Анатолий Баранецкий, Москва. 26 Март 2008, 16:59
|
Картина на распиле больше похожа на аневризмальную кисту, возможно- солидный вариант.
Ждем гистологического заключения.
|
[
Ответить ]
|
Re: Остеобластокластома?
Gaurav N Bhalla 27 Март 2008, 20:01
|
Great work. I would like to see the functional result, please post it.
|
[
Ответить ]
|
Re: Остеобластокластома?
Freih Odeh Abu hassan, 27 Март 2008, 20:03
|
Nice method of treatment.
The diagnosis radiologically and post resection specimen coincides with typical osteofibrous dysplasia more than GCT.
Freih Odeh Abu hassan,
|
[
Ответить ]
|
Re: Остеобластокластома?
Sandro Reverberi 27 Март 2008, 20:08
|
Dear Alexander,
your solution is brilliant.
I have some doubt about the diagnosis. Are you sure that this is a benign lesion? Has she pain? The age of the patient, specimen and X-rays don't exclude other more aggressive lesions. Do you have a preoperatory CT or NMR?
Sandro Reverberi
|
[
Ответить ]
|
Re: Остеобластокластома?
Отправитель: Alexander Chelnokov 29 Март 2008, 10:21
|
Dear Sandro
> your solution is brilliant.
It was my first experience with the technique and technically it is very attractive. At least much more time saving than thorough curettage ;-)
> I have some doubt about the diagnosis. Are you sure that this is a
> benign lesion? Has she pain? The age of the patient, specimen and
Yesterday our pathologist presented a preliminary conclusion - lytic GCT. Will pass specimens to colleagues from other facilities.
|
[
Ответить ]
|
Re: Остеобластокластома?
Отправитель: Sandro Reverberi 31 Март 2008, 23:33
|
Dear Alexander,
I spent my early orthopaedic surgical experience at an Italian bone tumor center. I have seen many GCTs of the bone, but none is similar to that you presented. I hope that this is a my error, but
it, in my opinion, appears aggressive and strange in diaphyseal localization. It seems in some aspects similar to a teleangectatic osteosarcoma, a variant of osteosarcoma (characteristic gross appearance of telangiectatic osteosarcoma is a multi-cystic "bag of blood". Microscopically, telangiectatic osteosarcoma has large blood filled spaces and thin septation. Within the septa there is scanty osteoid production by the pleomorphic malignant cells. Giant cells are not rare)
See also :
http://www.emedicine.com/orthoped/TOPIC566.HTM
that says
"Microscopic features (of teleangiectatic osteosarcoma):
Malignant cells are noted in a background of blood and necrotic debris. Because the pleomorphic hyperchromatic malignant cells may be diluted in the necrotic and hemorrhagic background, a careful examination to recognize these elements is imperative. Blood lakes, rather than endothelium-lined spaces, are present. In some cases, an osteoid matrix may not be visualized except within the septal walls, which may be thin and difficult to find. In such cases, a characteristic radiographic appearance, when correlated with a careful microscopic search for features suggestive of malignancy, helps in the correct interpretation of the findings.25 In some cases, low-power examination reveals a morphologic pattern that is reminiscent of an aneurysmal bone cyst (see Image 1).
A potential trap is created by a radiologic impression of an aneurysmal bone cyst and the characteristic gross features of that cyst. However, examination of the cyst lining reveals overt malignant cells, often with increased mitotic activity (see Image 2). These cells may lie adjacent to the benign osteoclastic giant cells. In some cases, these giant cells are numerous, and the tumor mimics a giant, cell-rich osteosarcoma (see Image 3). Unlike an aneurysmal bone cyst, telangiectatic osteosarcoma has an osteoid matrix that is delicate and lacelike in appearance. Also, the stroma between the dilated vascular spaces often contains malignant cells."
But what were anamnesis and clinical signs? had she pain?
This is an interesting case ; I thank you if you post next results.
|
[
Ответить ]
|
Re: Остеобластокластома?
Отправитель: Aнатолий 04 Апрель 2008, 13:31
|
Dear Sandro,
I agree with you about possibility of the teleangioasaroma in this case, but why did morphologysts not see pathological mytosis and cell atypia? More over there is no huge negative X-ray dynamic changes from november 2007, patient had no pain, tenderness, skin changes and other malignant tumors signs. Becouse of that there is a little doubt for malignant nature of this lesion.
See also ttp://www.ortho.hyperguides.com/multimedia/lectureContent.asp?rID=3335
Best regards,
Anatoly Baranetskiy, Moscow.
|
[
Ответить ]
|
|
Re: Остеобластокластома?
Oleg Garin 29 Март 2008, 23:31
|
ИМХО, все сделано грамотно и красиво. То, что локализация нехарактерная, на мой взгляд, несущественно. Симптомы дисплазии такими темпами не развиваются. А окончательный результат уже есть?
|
[
Ответить ]
|
Re: Остеобластокластома?
Ростислав Никифоров 22 Апрель 2008, 21:55
|
Александр, так, тчо же, все таки это была за опухоль?
|
[
Ответить ]
|
Re: Остеобластокластома?
Отправитель: Alexander Chelnokov 22 Апрель 2008, 23:26
|
Пока наш морфолог подтверждает гигантоклеточную опухоль, литическую форму. Препараты передали еще и в другие учреждения, пока информации оттуда нет.
|
[
Ответить ]
|
|
( Ответить )
|
|