вверх
отправить
поиск
админ
главная
|
Надо ли делать реконструкцию перед протезом? |
 |
 |
 |
Отправлено Рунков А.В. 24 Март 2008, 17:10 УНИИТО
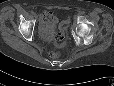
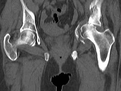
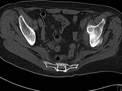
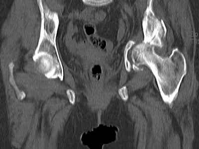
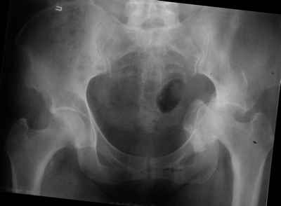
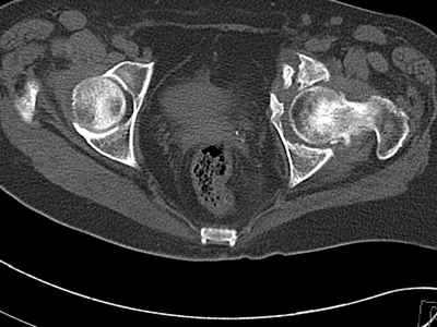
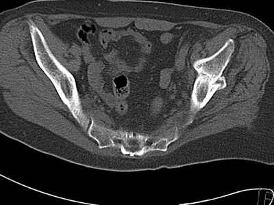
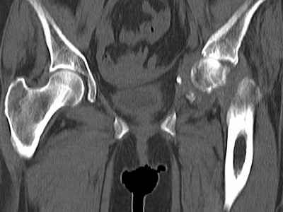
Уважаемые коллеги, возник вопрос по лечению нашей пациентки 60 лет. Около года назад множественная травма: в том числе Т-образный перелом вертлужной впадины. На сегодняшний день сращение отломков имеется на ограниченных участках, имеется дефект задней колонны вертлужной впадины. Движения неплохие, ходит с костылями, приступая на ногу. По мнению эдопротезистов при установке антипротрузионного кольца или октопуса не хватит костного материала и необходимо перед протезированием выполнить реконструкцию впадины, иначе чашка протеза неминуемо выпадет.Просьбы поделиться положительным и отрицательным опытом протезирования в подобных случаях.Возможно ли обойтись без реконструкции?Или лучше с ней?С уважением РАВ.
<
|
>
|
|
Ответить
|
Re: Надо ли делать реконструкцию перед протезом?
Асратян Давид 24 Март 2008, 21:24
|
Уважаемый колеега!
По моему мнению предварительну реконструкцию делать нет необходимости. Операцию надо выполнять одномоментно с пластикой вертлужной впадины. по поводу того, что не хватит головки. Да не исключено. Но ведь есть и другие материалы. Лучше при таком раскладе иметь в запасе замороженную головку. если нет возможности, как вариант два крыла подвздоной кости + хронос или его аналоги. По поводу выбора конструкции. Октопус в данной ситуации будет совсем не уместен, т.к. имеется дефект задней колонны вертлужной впадины. Да как конструкция октопус встанет не плохо. Но в функциональном плане не будет хорошей задне латерально и заднемедиальной точек опры впадины на период перестройки трансплатов. И по этому в данной ситуации более уместно кольцо Бурх(г)-Шнайдера с аналогичной пластикой, но возможнотью зафиксировать отломки задней колонны, крыши. Естественно цементная чашка с козырьком из кросс линк полиэтилена. Гололвка керамика, ножка бесцементная можно Цваймюллера или любой другой конструкции, они сейчас все хороши.
У меня на очереди больной с более худшей ситуацие, тоже травма год назад, перелом обеих колонн, с более придличным дефектом,в добавок нейропатия малоберцового.Планирую обйтись только родной головкой, все отсальное так же как описал выше, плюс ревизия седалишного нерва.
С уажением Асратян Давид.
|
[
Ответить ]
|
Re: Надо ли делать реконструкцию перед протезом?
Anatoly F. Lazarev 24 Март 2008, 22:44
|
Леха, привет - осваиваешь смежную специальность!?
Октопус для того и существует, чтобы в подобных случаях обойтись одноэтапной операцией. Пластического материала вполне хватит - целая
головка. Для того, чтобы обеспечить достаточную антеверсию чашки - следует произвести экономную моделирующую резекцию передней колонны, чтобы несколько опустить передний край кольца и чашки - этот прием значительно уменьшает объем полости на месте вертлужной впадины.
Кроме того, можно совместить разные виды пластического материала, аллокость, костную субстанцию и пр. гидроксиаппатиты и трикальций
фосфаты. Не вижу принципиальных технических трудностей. По-моему, тебе надо просто самому приглядеться да и начинать.
Успехов. ЛАФ.
--
С уважением,
Anatoly
|
[
Ответить ]
|
Re: Надо ли делать реконструкцию перед протезом?
николаев в.м. 25 Март 2008, 00:02
|
Исходя из своего опыта могу рекомендовать первичное протезирование пациентки.Костного материала из головки бедренной кости и крошки из шарошки должно хватить для заполнения дна вертлужной впадины.
Основное внимание необходимо уделить стабильности костных фрагментов в зоне перелома вертлужной впадины. Если имеется нестабильность я предпочел бы Октопус для остеосинтеза и стабильности вертлужной впадины. Этот момент является основным для успешного протезирования.
Если впадина единое гнездо по окружности, достаточно антипротрузионного кольца или Буршнайдера.
Удачи вам. ВМН
|
[
Ответить ]
|
Re: Надо ли делать реконструкцию перед протезом?
Анатолий Канзюба 13 Апрель 2008, 22:52
|
Добрый день. Ваше наблюдение обнаружил только сегодня. Очень интересный случай. Надеюсь, не опоздал со своими предложениями. Считаю, сто можно обойтись без опорногот кольца. А пластика впадины нужна. Мы в подобных случаях помимо аутотрансплантатов используем гидроксилапатитную керамику в виде гранул. Результаты хорошие. Возможно при ревизии впадины окажется, что следует выполнить остеосинтез передней или задней колонн. Желаю успехов.
|
[
Ответить ]
|
( Ответить )
|
|