Ответить
|
Re: Рекурвация голени
Sergey Adonin 30 Март 2008, 04:25
|
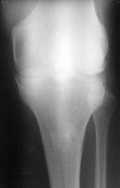
мое мнение (совсем не настаиваю, что оно - единственно правильное) - диагностическая артроскопия колена плюс одномоментно коррегирующая выская остеотомия большеберцевой - убрать anterior slope. Подозреваю, реконструкция задней крестовидной ничего не даст
И еще - мне качество снимков кажется вполне достойным
|
[
Ответить ]
|
Re: Рекурвация голени
Отправитель: Руслан Валерьевич Зайцев 30 Март 2008, 04:34
|
мое мнение (совсем не настаиваю, что оно - единственно правильное) - диагностическая артроскопия колена плюс одномоментно коррегирующая выская остеотомия большеберцевой - убрать anterior slope. Подозреваю, реконструкция задней крестовидной ничего не даст
Ок, но косметический дефект не пропадет, оставляем?
Заднее положение голени не коррегируем? Ждем развития артроза и затем протез? Как быстро это понадобится? Как выраженна будет боль ибо течение артроза после остеотомии при таком положении голени вряд ли будет благоприятным. м.б. сразу протез? Ничего не делать, симптоматическое лечение, и ждать?
С уважением
Зайцев Руслан Валерьевич
|
[
Ответить ]
|
Re: Рекурвация голени
Отправитель: Alexander Chelnokov 30 Март 2008, 04:47
|
А что понимается под косметическим дефектом тогда? Если он после корригирующей остеотомии с устранением рекурвации не пропадет?
|
[
Ответить ]
|
Re: Рекурвация голени
Отправитель: Руслан Валерьевич Зайцев 30 Март 2008, 04:57
|
Скажем надколенник так и будет "торчать". Плато в "заднем выдвижном"
С уважением
Зайцев Руслан Валерьевич
|
[
Ответить ]
|
Re: Рекурвация голени
Отправитель: Alexander Chelnokov 30 Март 2008, 05:35
|
Надо планировать коррекцию так. чтобы оси диафизов бедренной и большеберцовой кости заняли правильное поожение относительно друг друга. Остальное - менее важно, да и за счет вентрализации диафиза большеберцовой кости "торчать" будет меньше
|
[
Ответить ]
|
|
Re: Рекурвация голени
Alexander Chelnokov 30 Март 2008, 04:28
|
Вот тут кое-что похожее было.
|
[
Ответить ]
|
Re: Рекурвация голени
Отправитель: Руслан Валерьевич Зайцев 30 Март 2008, 04:43
|
Согласен.
Была бы только рекурвация - знал бы что делать, что делать с положением плато?
С уважением
Зайцев Руслан Валерьевич
|
[
Ответить ]
|
Re: Рекурвация голени
Отправитель: Alexander Chelnokov 30 Март 2008, 04:49
|
Надо нарисовать скиаграмму. Вырезать из бумаги или в фотошопе контуры, разрезать по линии предполагаемой остеотомии, и сложить, как должно получиться. Отсюда и планы строить.
|
[
Ответить ]
|
|
Re: Рекурвация голени
Sergey Adonin 30 Март 2008, 05:26
|
киста после остеотомии может и уйти. В любом случае. начинать с кисты нет смысла - если не попытаться скорректировать деформацию ( плюс минус полечить то, что найдете на артроскопии), наверняка будет рецидив кисты
Достойно протезировать при таком положении плато будет крайне сложно. Показаний к протезированию на данный момент никаких нет ( нет боли), плюс больной достаточно молод. Думаю, разговора о протизерованиии на данном этапе категорически вестись не должно.
Раз нет выдвижного ящика - скоррегировать заднее положение голени Вы технически никак не сможете ( ну не будете же вы ему рассекать переднюю крестовидку, а потом проводить пластику обеих крестовидок )
|
[
Ответить ]
|
Re: Рекурвация голени
Sergey Adonin 30 Март 2008, 05:27
|
Технически - все виды остеотомии и фиксации имеют право на существование. Лично я бы (чисто теоретически, ибо в реале вид операции выбирает мой заведующий, и в 100 процентах случаев он выбирает пластину) предпочел высокую остеотомию (выше места крепления надколенника), алло или ксенотрансплплантат, фиксацию аппаратом.
|
[
Ответить ]
|
Re: Рекурвация голени
Отправитель: Alexander Chelnokov 30 Март 2008, 05:38
|
в 100 процентах случаев он выбирает пластину)
В принципе, для HTO это традиционный подход.
предпочел высокую остеотомию ( выше места крепления надколенника), алло или ксенотрансплплантат, фиксацию аппаратом.
Надо на надколенник посмотреть, надо ли его надбугорковой остеотомией стягивать вниз. И надо тогда смещать диафиз кпереди, чтобы избежать гиперпрессии надколенника. Ну и если уж связываться с аппаратом для окончательной фиксации, зачем трансплантаты?
|
[
Ответить ]
|
Re: Рекурвация голени
Отправитель: Sergey Adonin 30 Март 2008, 13:59
|
>В принципе, для HTO это традиционный подход.
не-а, биомет сейчас у нас активно проталкивает стержневые и гибридные аппараты ВЧКО, позиционируя их в первую очередь именно для высоких остеотомий. Никто не хочет связываться - с пластинами всем (и больному, и врачам) удобнее
|
[
Ответить ]
|
Re: Рекурвация голени
Отправитель: Sergey Adonin 30 Март 2008, 14:15
|
еще раз - по поводу выбора остеотомии- дело вкуса. О том, что при этом можно дополнительно скоррегировать заднее положение голени ( хоть и внесуставно) -Вы правы, я не подумал - лишнее преимущество высокой остеотомии. Если уже есть разрез для остеотомии - почиму бы в него и не напихать синтетических заместителей или мелко крошеной головки бедра, чтоб создать матрикс для остеобластов.
по поводу возможности получить пателла баха согласен. Будет ли она симптоматичной и вызовет ли пателлофеморальный артроз - никто не скажет.
чтоб не смещать надколенник книзу в результате open wedge- можно сделать close wedge osteotomy, но технически это будет сложнее
|
[
Ответить ]
|
Re: Рекурвация голени
Отправитель: Alexander Chelnokov 30 Март 2008, 14:30
|
>еще раз - по поводу выбора остотомии- дело вкуса.
Я бы сказал, дело вкуса - выбор фиксации. А вот собсссно остеотомия - это расчет.
|
[
Ответить ]
|
Re: Рекурвация голени
Отправитель: Sergey Adonin 30 Март 2008, 14:40
|
безусловно, все промерять, нарисовать на кальке и сделать выкройки до операции надо. Комп- замечательная альтернатива, но лично я не очень дружу с графическими редакторами.
Выбор open wedge vs close wedge и уровня остеотомии - вопрос неоднозначный и во многом субъективный, потому и пишу "дело вкуса"
|
[
Ответить ]
|
Re: Рекурвация голени
Отправитель: Alexander Chelnokov 30 Март 2008, 14:42
|
Это такое восприятие до или после знакомства с книгой D. Paley "Principles of Deformity Correction"?
|
[
Ответить ]
|
|
Re: Рекурвация голени
Odessky Jacob M.D. 30 Март 2008, 23:29
|
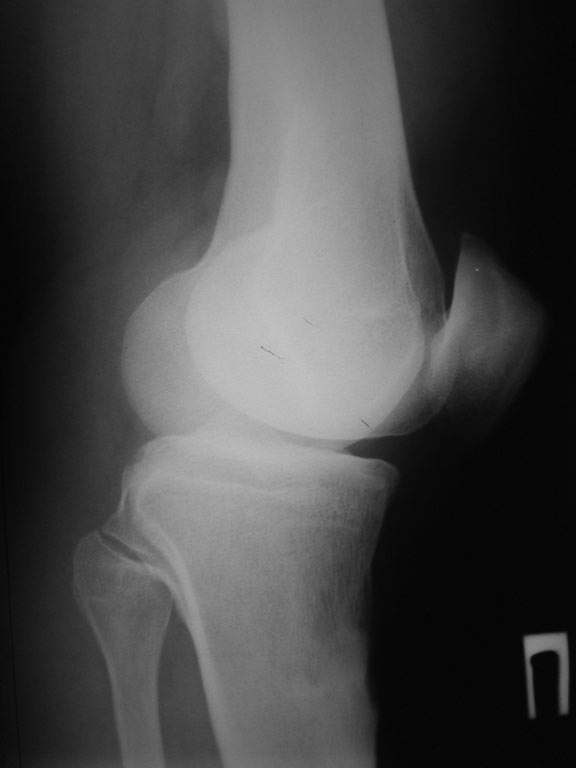
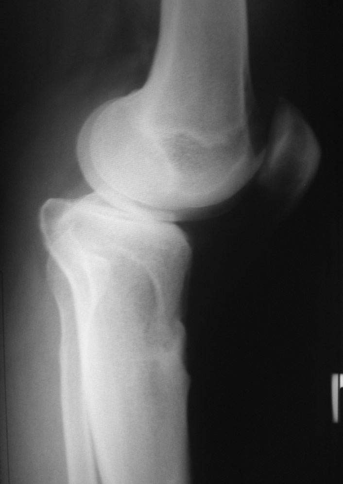
Уважаемый доктор Зайцев! Причина деформации проксимальной тибии у Вашего пациента - преждевременное и несимметричное закрытие зоны роста передней части проксимальной ростковой зоны б/б кости в следствии окультной травмы произошедшей в возрате 10-12 лет. Есть 2 причины рекурвационной деформации в области коленного сустава - мягкотканевая и костная.В данном случае Вы имеете дело не с рукурвацией коленного сустава, а с рекурвационной деформацией проксимальной голени. "Заднего выдвижного положения" на самом деле нет.То, что Вы видите на боковом снимке - это не задний подвывих голени - это снимок, сделанный в сгибании коленного сустава. Дело в том, что костные дефорсации в области коленного хорошо компенсируются за счёт движения в суставе. поэтому то, что вы видите, как задний подвывих на самом деле - сгибательное положение колена.
Это можно проверить очень просто - надо сделать стресс рентгенограмму в положении полного разгибания коленного сустава.Для этого посадите больного на стул, пятку поставьте на другой стул, дайте пациенту кассету 30Х40 держать с наружной стороны колена, и попросить ренгентехника сделать латеральный снимок с втутренней стороны. Сделав снимок здорового колена, Вы сможете расчитать деформацию.
Если величина деформации больше, чем "переразгибание" сустава, то имеется не только деформация проксимальной тибии, но и сгибательная контрактура.
Артроскопия в таком случае не даст эффекта.
надо делать HTO. Я не советую применять пластинку, так как место остеотомии не соответствует центру исправления деформации, поэтому аппарат Илизарова - метод выбора в данном случае.
 Презентация, PDF; 1,2Mb
С уважением!
|
[
Ответить ]
|
Re: Рекурвация голени
Отправитель: Alexander Artemiev 31 Март 2008, 02:52
|
Согласен целиком и полностью.
Очень красиво и убедительно.
Хотя я бы не стал заморачиваться с расчерчиванием.
С уважением Александр Артемьев
|
[
Ответить ]
|
|
Re: Рекурвация голени
КНР Устьянцев Ибрагимов 02 Апрель 2008, 10:10
|
В клинической практике нам довольно часто приходиться сталкиваться с данной приведенной патологией.Мы согласны с мнением Odessky Jocob MD,что она является компенсаторной деформацией на сгибательную установку(25-30) проксимальной части голени для проецирования центра тяжести на опорную площадку.В данном случае имеется 2 доминирующие составляющие этой деформации-костная и суставная. Чаще всего делаем 2 способами- 1) Это устранение костной деформации и через 2-3 недели суставной части контрактуры.2) Это в обратном порядке.Оперируем с использованием методик Илизарова. Полная реабилитация 2.5-3 мес.А киста Бейкера на дессерт.
|
[
Ответить ]
|
Re: Рекурвация голени
Отправитель: зайцев 03 Апрель 2008, 02:20
|
Спасибо всем большое за комментарии. Вы дали много поводов подумать. Скажите, на ваш взгляд, какие оптимальные сроки для проведения остеотомии?
|
[
Ответить ]
|
Re: Рекурвация голени
Отправитель: Устьянцев Ибрагимов 03 Апрель 2008, 07:36
|
Добрый день! Извините,нельзя ли уточнить вопрос,он нам не понятен.Аппарат монтируется на бедро и голень одновремено и в зависимости от задачи устраняем суставной компонент за счет шарниров и затем остеотомия костей голени с целью устранения костного компонента деформации.Или делаем остеотомию-устраняем деформацию б.б. кости и через 2-3 недели(по укреплению регенерата)начинаем устранение суставного компонента деформации
|
[
Ответить ]
|
Re: Рекурвация голени
Отправитель: Odessky Jacob M.D. 03 Апрель 2008, 11:44
|
В данной ситуации на бедро монтировать ничего не надо. Суставного компонента в данном случае нет.
Надо остеотомировать б/б кость тотчас ниже прикрепления собственной связки надколенника. и м/б кость в стандартном месте, как показано в моей презентации.
С уважением
|
[
Ответить ]
|
|
Re: Рекурвация голени
зайцев 03 Апрель 2008, 02:13
|
Коллеги. спасибо всем за отзывы, вы дали много информации к размышлению.
Как вы считаете, когда оптимально оперировать. Как я понимаю, клинику артроза ждать нечего.
|
[
Ответить ]
|
Re: Рекурвация голени
Отправитель: Odessky Jacob M.D. 03 Апрель 2008, 12:07
|
Вы правильно понимаете. Срочности нет, но на долго не откладывайте.
С Уважением
|
[
Ответить ]
|
|
Re: Рекурвация голени
Устьянцев Ибрагимов 04 Апрель 2008, 20:20
|
Уважаемый коллега,ваша ссылка на презентацию не совсем корректна._Во первых:по тому,что нашему вниманию представленные клинические случаи совершено
разные в патобиомеханическом аспекте формирования опорной компенсации конечности. В клиническом примере Зайцева РВ первичен суставной компонент-сгибательная (20-25гр.) установка проксимального конца б/б кости,рекурвационная деформация костей голени с вершиной на 4-4.5 см. дистальнее суставной площадки б/б кости -вторична.В представленном вами презентационном материале рекурвационная деформация носит чисто суставной характер с вершиной близкой к оси вращения коленного сустава.Соответственно и техника их коррекции будет отличаться. Так в первом клиническом примере мы имели ввиду коррекцию костного компонента деформации голени(1этап). Остеотомию б/б кости мы бы сделали дистальнее бугристости б/б кости,оставив место инсерции сухожилия сгибателей голени на проксимальном фрагменте б/б кости,что на следующих этапах коррекции будет оказывать положительную,а не отрицательную ,как в вашем случае роль (смотри промежуточную боковую Р-гр. голени в аппарате).
На первом этапе (костном) голень будет устанавливаться по проксимальному фрагменту,в положении сгибания 165-150гр.,а лучше 150гр.
А для второго этапа коррекции-устранение сгибательной контрактуры (многолетняя установка голени)нам и понадобится шарнирный аппарат с осью вращения близкой к оси вращения коленного сустава.Аппарат на бедре фиксируется на 2 проксимально проведеных спицах и1 проведеной во фронтальной плоскости на 4-5 см. проксимальнее верхнего полюса надколенника..Приступать к устранению сгибательной контрактуры коленного сустава можно на 5-7 сутки после операции,но лучше спустя 3 недели,когда между фрагментами остеотомированных костей сформируется первичная мозоль.Темп устранения контрактуры 2-3 град. в сутки.Кроме того опора на бедре даст возможность устранить любую техническую ошибку допущенную при проведении спиц и установке базовых опор аппарата.Например как в вашем случае ,когда устраняя вальгусную деформацию голени вы устанавливаете проксимальное кольцо без учета этого .Попытка же исправить допущенную техническую неточность при установке проксимальной базовой опоры аппарата( шарниры)на наш взгляд оказалась безуспешной . Шарниры необходимо устанавливать как можно ближе к оси вращения ,в том числе к оси вращения устраняемой деформации,а не посредине между опорами.
Во втором клиническом случае (презентация) мы бы сделали остеотомию б/б кости не дистальнее бугристости а проксимальнее,тем самым максимально приблизив ось вращения коленного сустава к оси вращения в зоне остеотомии . Использовать шарнирный аппарат (с бедренным компонентом) в этом случае не только не нужно ,но и вредно.
_Во вторых: На наш взгляд ваша презентация поспешна и преждевременна . Давайте посмотрим на фотографии пациента,но в строго в тех же позициях что до и после операции . Когда не возможно будет скрыть например неустраненную вальгусную деформацию голени,или посткоррекционный косметический дефект в проксимальном отделе голени от "выпирающего " под кожей конца костного отломка,кажущегося сгибания коленного сустава и др. Ждем продолжения презентации.
|
[
Ответить ]
|
Re: Рекурвация голени
Отправитель: Odessky Jacob M.D. 05 Апрель 2008, 03:31
|
"Уважаемый коллега, ваша ссылка на презентацию не совсем корректна"(Устьянцев Ибрагимов)
Уважаемый коллега! Пардон, но мне не понятно, что вызвало Ваше раздражение... Моё мнение, несколько отличающееся от Вашего?
" нашему вниманию представленные клинические случаи совершено разные в патобиомеханическом аспекте формирования опорной компенсации конечности".(Устьянцев Ибрагимов)
Могу я поинтересоваться что Вы имели ввиду, и какие "патобиомеханические виды формирования опорной компенсации конечности" Вам известны
"В клиническом примере Зайцева РВ первичен суставной компонент-сгибательная (20-25гр.) установка проксимального конца б/б кости,рекурвационная деформация костей голени с вершиной на 4-4.5 см. дистальнее суставной площадки б/б кости -вторична".(Устьянцев Ибрагимов)
На основании чего Вы сделали такое заключение? С каких это пор сгибательная контрактура сустава или установка, как Вы это называете, приводит к костной деформации?
"В представленном вами презентационном материале рекурвационная деформация носит чисто суставной характер с вершиной близкой к оси вращения коленного сустава"(Устьянцев Ибрагимов)
На мой взгляд, в обоих случаях деформация внесуставная. То, что в моём случае она внесуставная доказано представленным снимком в полном разгибании. Кстати не будете ли Вы любезны подсказать, где, на Ваш взгляд проходит ось коленного сустава?
"Остеотомию б/б кости мы бы сделали дистальнее бугристости б/б кости,оставив место инсерции сухожилия сгибателей голени на проксимальном фрагменте б/б кости,что на следующих этапах коррекции будет оказывать положительную,а не отрицательную ,как в вашем случае роль (смотри промежуточную боковую Р-гр. голени в аппарате)"(Устьянцев Ибрагимов)
Не понимаю, что Вы имеете ввиду, если можно обьясните.
"На первом этапе (костном) голень будет устанавливаться по проксимальному фрагменту,в положении сгибания 165-150гр.,а лучше 150гр.
А для второго этапа коррекции-устранение сгибательной контрактуры (многолетняя установка голени)нам и понадобится шарнирный аппарат с осью вращения близкой к оси вращения коленного сустава"(Устьянцев Ибрагимов)
Задний проксимальный тибиальный угол в данном примере имеет 105 градусов. Приблизительно на 20 градусов больше нормы, Вы предлагаете его уменьшить на 30градусов, т.е. перевести рекурвационную деформацию проксимальной тибии в антекурвационную, а потом бороться с костной деформацией, насилованием мягких тканей сустава переразгибанием?
Кроме того опора на бедре даст возможность устранить любую техническую ошибку допущенную при проведении спиц и установке базовых опор аппарата. Например как в вашем случае ,когда устраняя вальгусную деформацию голени вы устанавливаете проксимальное кольцо без учета этого .Попытка же исправить допущенную техническую неточность при установке проксимальной базовой опоры аппарата( шарниры)на наш взгляд оказалась безуспешной . Шарниры необходимо устанавливать как можно ближе к оси вращения ,в том числе к оси вращения устраняемой деформации, а не посредине между опорами"(Устьянцев Ибрагимов)
Уважаемый коллега! Проксимальное кольцо должно быть наложено параллельно суставной поверхности большеберцовой кости. Так я накладываю его и рекомендую всем его накладывать с 1984-1985 года, когда я, работая в Кургане, начал применять то, что сейчас называется КОРА метод Оно должно быть стабильным. Тогда не придётся накладывть его с учётом вальгусной деформации, как мы делали это в период, когда фиксация была недостаточно стабильной.
Шарниры должны устанавливаться там, где они должны быть установлены в соответствии с расчётами. В данной ситуации, я имел дело с деформацией в косой плоскости. При таких деформациях проблема точного исполнения расчётов в условиях операционной имеет место. Скорее всего, шарниры были переставлены для устранения остаточной деформации, и поставлены они были верно, в соответствии с расчётами.
Во втором клиническом случае (презентация) мы бы сделали остеотомию б/б кости не дистальнее бугристости а проксимальнее,тем самым максимально приблизив ось вращения коленного сустава к оси вращения в зоне остеотомии . "(Устьянцев Ибрагимов)
Вы бы сделали это даже не смотря на то, что расчёты показали произвести остеотомию дистальнее бугристости? Кроме того, есть показания к производству остеотомии выше бугристости, т.к. она может привести к существенному изменению положения надколенника!!! И, как следствие, боли в колене.
Во вторых: На наш взгляд ваша презентация поспешна и преждевременна. "(Устьянцев Ибрагимов)
В клинической практике нам довольно часто приходиться сталкиваться с данной приведенной патологией. Мы согласны с мнением Odessky Jocob MD "(Устьянцев Ибрагимов)
Так преждевременна или согласны?
Давайте посмотрим на фотографии пациента,но в строго в тех же позициях что до и после операции . Когда не возможно будет скрыть например неустраненную вальгусную деформацию голени,или посткоррекционный косметический дефект в проксимальном отделе голени от "выпирающего " под кожей конца костного отломка,кажущегося сгибания коленного сустава и др. Ждем продолжения презентации. "(Устьянцев Ибрагимов)
У меня, к сожалению, нет снимков, кроме тех, что я попытаюсь дать в приложении, 2 года после лечения. Кстати на снимках видно, что у парня есть 2-х сторонний вальгус: за счёт бёдер. Хотя для этого надо сделать малэлаймент тест. По той же причине я не понимаю, на основании чего Вы считаете, что не устранён вальгус голени. Я постараюсь, хоть и не обещаю, найти его и удовлетворить Ваше любопытство. Пока могу сказать, что парень прослужил в Израильской армии 3 года, без проблем.
С уважением!
Presentation1.pdf
85KB (87068 bytes)
|
[
Ответить ]
|
Re: Рекурвация голени
Отправитель: Alexander Chelnokov 05 Апрель 2008, 11:18
|
БЮ> В клиническом примере Зайцева РВ первичен
> суставной компонент-сгибательная (20-25гр.) установка проксимального
> конца б/б кости,рекурвационная деформация костей голени с вершиной на
> 4-4.5 см. дистальнее суставной площадки б/б кости -вторична.В
Соответственно, для планирования коррекции необходимы сравнительные функциональные рентгенограммы, т.е. профиль в максимальном разгибании коленных суставов.
Если суставная площадка tibia занимает при "переразгибании" колена то же положение, что будет видно на здоровом суставе, то при коррекции формы tibia компенсаторная сгибательная установка коленного сустава самоликвидируется. Опора на бедро и прочее будет избыточно. По-моему, там именно такая ситуация.
|
[
Ответить ]
|
Re: Рекурвация голени
Отправитель: Leonid Solomin 06 Апрель 2008, 23:14
|
Уважаемый Устьянцев Ибрагимов:
Аргументация, которую приводили при обсуждении данного клинического случая Я.Одесский, А.Артемьев и А.Челноков, для меня понятна, и в своей работе я так же стараюсь придерживаться принципов, которые достаточно описаны в литературе. "Жар" стиля Вашей полемикии и иногда оригинальная терминология, на которую указывает Я.Одесский, позволяет думать об отчасти новом подходе в решении вопросов коррекции
деформаций проксимального отдела большеберцовой кости. Не откажите в любезности сослаться на литературу, на которую Вы опираетесь (в том числе, на оригинальные разработки, конечно): я искренне заинтересован в получении новых сведений по рассматриваемой проблеме.
Всего наилучшего,
Л.Соломин
Leonid N.Solomin, MD, PhD
Head of ExFix Department
R.R.Vreden Russian Research Institute of Traumatology and Orthopedics
8 Baykova Str., St.Petersburg, 195427, Russia
|
[
Ответить ]
|
|
Re: Рекурвация голени
Odessky Jacob M.D. 05 Апрель 2008, 11:35
|

Уважаемый Руслан Валерьевич!
Снимок, латеральный стресс снимок , сделанный в позиции, представленной на фотографии поможет Вам определиться в Вашей тактике и отдефференцировать суставную ( мягкотканевую) патологию от костной, или комбинированной патологии.
С уважением!
|
[
Ответить ]
|
Re: Рекурвация голени
Устьянцев Ибрагимов 09 Апрель 2008, 14:15
|
Уважаемый коллега, так мы считаем с очень давних пор.
1.Еще Ю.Вольф(1885-1892г.) сформулировал закон трансформации кости: "Каждое изменение в форме и функции костей или лишь в их функции имеет следствием определенные изменения во внутренней архитектуре костей, а так же в их внешней конфигурации, согласно математическим законам".
Другими словами новые функциональные запросы создают новые структуры.
Чтобы сократить объем печати, мы сошлемся на некоторых авторов, где с этими вопросами можно будет познакомиться более подробно и в спокойной рабочей обстановке.
2."Биомеханические факторы, действующие длительно, могут в значительной мере изменить форму костей- - - - -".
3."Изменение положения центра тяжести, т.е длительное действие тяжести в ином направлении, чем обычно, может резко изменить форму костей- - - -".
Konig.F- Die spateren Schicksale difform geheilter Knochenbruche- Archiv fur Klin. Chirurgie.Bd.85.H.I.1908.
4.'' Действие биомеханических факторов обнаруживается не менее резко на внутренней архитектуре костей- - - - -''.
Birt- Das spatere Schicksal Kindli cher Fracturen-Bruns Beitrage F. Klin.Chirurgie.Bd 64. 1909
5. '' Рост костей у детей находится в значительной мере под влиянием биомеханических факторов--------''.
Birt(1909).
КоганТ.А- Научные основы медицинской механики органов движения и стояния-т-1,ч-2,1910.
Ake Hyden Dirt-Fractures of the femur-Surgery,Gynecology and Obstetrics.Bd. 64 1935
Смоляк Л.Г - Отдаленные результаты неправильно сращенных переломов трубчатых костей в детском возрасте. -Ортопедия и травматология. кн.2 1938
6.''Кость развивается тем сильнее во всех своих размерах, чем больше деятельность окружающих мышц------''.
Лесгафт П.Ф. - Анатомия мышечной системы. Москва-Ленинград. 1938.
7.''Большое влияние на форму костей оказывает так же тяга мышц. Например Грюневальд (1912г) указал на то, что развитие передне-задней выпуклости диафиза бедренной кости обусловлено преобладанием тяги ишиокруральных мышц, работа которых равняется 45.5 кг/м, над тягой их антагониста- прямой мышцы бедра(24.3кг/м)-------
8.''Кость обладает двумя противоположными свойствами - прочностью и пластичностью-----
--Пластичность костной ткани является свойством реагировать посредством изменения строения на те силовые воздействия, которым она подвергается---
--Не все деформации, возникающие посредством приспособления, носят полезный характер. Некоторые деформации со временем утрачивают свою полезность и переходят в свою противоположность. Примером может служить рекурвация колена.
--В тех случаях, когда рекурвация превышает угол в 190-195гр., эта деформация утрачивает характер полезности и начинает приобретать отрицательный характер, ибо дальнейшее ее развитие не благоприятствует, а препятствует опоре''.
Николаев Л.П.- Руководство по биомеханике в приложении к ортопедии, травматологии и протезированию. Г.М.И. Киев,1947.
На основании информации содержащейся в приведенных источниках и собственных разработок, например:
Устьянцев В.И.-Step by step. Management of Equinus Foot by Ilizarov Technique –c230. medical publishers LTD New Delhi ,2006.
УстьянцевВ.И.- Профилактика инвалидности и реабилитация инвалидов при последствиях травм опорно-двигательного аппарата. с .412,Москва. Медицина,2007.
Мы представляем развитие биомеханической компенсации (в случае приведенном Зайцевым Р.В.) следующим образом.
В норме человек имеет возможность опереться на ногу даже с полусогнутым коленом. Это достигается посредством активного замыкания коленного сустава, благодаря напряжению четырехглавой мышцы бедра, что влечет, однако за собой определенную затрату энергии, в отличие от замыкания коленного сустава напряжением его связочного аппарата. При этом напрягаются боковые связки сустава, фиксирующие сустав в положении переразгибания 183 гр. Энергетические затраты при этом минимальны. В случаях, когда напряжения боковых связок недостаточно (разные причины), сустав блокируется под несколько большим углом-напряжением крестообразных связок. При этом получается известная степень (обычно 190гр.) – рекурвация колена.
При наличии сгибательной контрактуры ,происходит ретракция мягких тканей(сперва миогенного ,а затем артрогенного происхождения),что влечет за собой ограничение разгибания сустава под углом меньшим чем 180 гр. Опора на подобную конечность возможна, но при том условии, что проекция центра тяжести тела на площадь опоры будет проходить спереди от центра коленного сустава. Если центр тяжести проецироваться сзади от центра сустава, последний окажется разомкнутым и для его блокировки потребуются постоянные мышечные усилия с большими затратами энергии. Опираться на такую конечность длительное время пациент не сможет.
Для компенсации описанной (сгибательная контрактура в колене) взрослому пациенту в момент опоры на данную ногу достаточно наклонить туловище вперед, т.е. сместить вперед центр тяжести. Этим единственным приспособительным процессом он достигает пассивного замыкания коленного сустава, несмотря на сгибательную контрактуру, совпадением проекции центра тяжести с площадью опоры в среднем отделе стопы. Другое дело у детей, или как в нашем примере с детства- эта биомеханическая компенсация зачастую дополняется рекурвацинной деформацией костей голени. Причем плоскость истинной деформации лежит,
как правило в сагитальной плоскости ,а вершина истинного угла деформации в проксимальных отделах б/б кости. Вынос дистального отдела голени и стопы (как следствие угловой деформации) вперед, удовлетворяет известному закону механики ,согласно которому тело остается в равновесии, пока проекция центра тяжести не заходит за пределы его площади опоры .Но, к сожалению, этот вид компенсации уже относится к патобиомеханическому и требует оперативной коррекции, т.к. кроме суставной , содержит в себе и костную составляющие.
Теперь становится понятным, почему коррекция требует два этапа, хотя она может быть осуществлена как последовательно, так и параллельно.
Думаем, что
9.-На оси коленного сустава не стоит терять время, поскольку Вы упомянули о работе в Кургане в центре Илизарова в 1984-1985г. и не должны не знать Макушина В.Д., который в период с 1979-1981 г. работал с группой молодых ученых, под руководством Гавриила Абрамовича над проблемой разгибательных контрактур коленного сустава. Опубликовано большое количество работ по этой теме, получено несколько авторских свидетельств, в том числе на аппарат Илизарова с элипсографической приставкой для разработки разгибательных контрактур коленного сустава. Наши представления о центре коленного сустава совпадают с представленными в вышеупомянутых работах.
10.-Рассмотрим представленную деформацию в боковой рентгенологической проекции.
Несложные расчеты на изготовленной скиаграмме (см. рис.1 ) показывают ,что суставная поверхность проксимального отдела б/б кости, находится в положении сгибания примерно 30 гр. Плоскость деформации лежит в сагитальной плоскости. Истинный угол деформации равен примерно 15 гр., с вершиной на 4-4.5 см. (примерно) дистальнее края суставной поверхности.
Кстати аналогичные расчеты приведены в '' Ортопедической диагностике'' В.О.Маркса, 19778г. 464 стр.
11.- Абсолютно не согласны с термином '' насилованием мягких тканей''. Так как применяя метод Илизарова мы сталкиваемся только с действием малых сил на соединительнотканные образования. Общеизвестно, что связки, фасции и сухожилия почти не растяжимы. При действии на них больших сил они рвутся, но не растягиваются. Совсем иначе они реагируют на длительное действие относительно малых сил. При этом и связки и фасции удлиняются: их длина увеличивается не в результате пассивного растяжения, а в результате роста соединительнотканных элементов, под влиянием механического раздражения. Наоборот, длительное отсутствие функционального раздражения вызывает приспособительное укорочение связки, сухожилия, или сморщивание фасции.
Малые силы, при длительном их действии, устраняют ретракцию соединительного образования, которая не поддается воздействию больших сил. На длительном действии относительно малых сил основаны принципы, как дистракционного остеосинтеза, так и суставных коррекций.
12.- Не можем никак прокомментировать Ваше утверждения о
1.Какой то нестабильности в прошлом.
2.Вашем усовершенствовании метода Илизарова (КОРА метод)
3.Установки колец без учета плоскости деформации и ее истинного угла.
Занимаясь методом более 30 лет, мы наивно считали, что выделенные вопросы являются аксиомой метода Илизарова, предложены нашим великим Учителем и не подлежат обсуждению.
Кроме того, не совсем понятен термин в '' косой плоскости'', так как еще в 1980г. сотрудники упомянутого Вами института предложили оригинальный способ определения истинного угла, и плоскости деформации трубчатой кости.
Десятниченко Е.Т.,Макушин В.Д.,ГерасимовП.А. – ''Способ определения истинного угла и плоскости деформации трубчатой кости''- Ортопедия, травматология и протезирование.-1980г. №5 с-59-61
13.-Относительно расчетов уровня остеотомии сейчас говорить не имеет смысла, поскольку неизвестны сами способы расчета, так что обсуждать?
А вот утверждения об изменении положения надколенника и болях могут быть предметом дискуссии.
Если обратиться к работе Werner Muller (Кантональный госпиталь, Базель, Швейцария '' Высокая остеотомия большеберцовой кости: условия, показания, техника, проблемы, результаты.''- Margo Anterior №1-2 2003г.
За последние 35 лет авторы выполнили более 2000 высоких остеотомий в области коленного сустава.
Цитируем без комментариев:
''Поскольку все высокие остеотомии б/б кости выполняются выше бугристости, где спангиозная кость очень плотная и быстро консолидируется ------m. Popliteus с укрепленной волокнистой локализуется кзади, прямо над зоной остеотомии, защищая таким образом, подколенные сосуды и нервные пучки. Натяжение всех этих структур обеспечивают дополнительную стабильность посредством лигаментотаксиса ------ и т.д.
С большим интересом и уважением Устьянцев Ибрагимов.
При Вашем желании мы можем предоставить интересные клинические случаи на обсуждение.

Вам представленна склаграмма боковой R – гр болного вынесенного на обсуждение.
А – ось бедра.
Б – линия Blumensaat/
В – имеющаяся линия суставной поверхности б/б кости.
Г – положение суставной поверхности в норме, по отношению к продольной оси б/б кости.
Д – продольная ось голени.
86 гр. (Г-Д) отношение суставной полверхности к оси голени.
~ 30 гр. – положение сгибания.
|
[
Ответить ]
|
Re: Рекурвация голени
Отправитель: Leonid Solomin 09 Апрель 2008, 22:28
|
Уважаемый Устьянцев Ибрагимов:
Благодарю Вас за подробные ответы, которые, частью, очевидно, являются продолжением Вашей полемики с Я.Одесским. Исторический срез используемой Вами литературы, начиная с 19 века, объясняет, откуда Вы черпаете свои силы. С другой стороны, Ваша фраза "выделенные вопросы являются аксиомой метода Илизарова, предложены нашим великим Учителем и не подлежат обсуждению" должна была бы поставить все точки... Но, к сожалению, иллюстрации, о которых Вы упоминаете, затерялись где-то на прострах инета. Вышлите их еще раз, pls. + схему того, что Вы хотели бы получить после остеотомии и коррекция положения костных фрагментов. Признаюсь, я добросовестно сделал это, и у меня (вот странно! :-) )получилось аналогичное тому, что представлял в своей презентации Я.Одесский.
Последнее: в Вашей почте фраза "13.-Относительно расчетов уровня остеотомии сейчас говорить не имеет смысла, поскольку неизвестны сами способы расчета, так что обсуждать?" отражает Ваше отношение к этому вопросу или просто в ходе обсуждения (для меня) потерялись связи между
вопросам-ответами разных респондентов?
Всего наилучшего,
Л.Соломин
--
Leonid N.Solomin, MD, PhD
Head of ExFix Department
R.R.Vreden Russian Research Institute of Traumatology and Orthopedics
8 Baykova Str., St.Petersburg, 195427, Russia
|
[
Ответить ]
|
Re: Рекурвация голени
Отправитель: Устьянцев Ибрагимов 10 Апрель 2008, 13:08
|

Уважаемый Леонид Соломин!
Весь материал изложен нами в контексте полемики с Я. Одесский, и только так может быть точно и правильно интерпретирован.
В последней публикации мы не анализировали материалы Я.Одесского,да и в предыдущих только касались его, останавливаясь поверхностно на некоторых моментах. Все рассуждения и расчеты относятся к клиническому случаю представленному Зайцевым Р.В.
Абсолютно с Вами согласны, где нужно "черпать свои силы",к тому же совершенно невежественно думать, что метод Илизарова возник на пустом месте. Революционное мировозрение у некоторых представителей нашей профессии побудили нас сделать такой исторический экскурс и остановиться на таких основополагающих вопросах, как например установка базовых опор аппарата. Ни до "рубежных" 1984-1985г., ни после-воззрения на них не менялись и не подвергались сомнению……
Но ставить точки нельзя. Метод Илизарова не догматическое учение, он очень активно и плодотворно развивается.
Думаем, что и наша полемика вносит в это свою маленькую лепту.
|
[
Ответить ]
|
Re: Рекурвация голени
Отправитель: Odessky Jacob M.D. 10 Апрель 2008, 03:48
|
<Уважаемый коллега, так мы считаем с очень давних пор.
1,2,3,4,5,6,7,8> Устьянцев Ибрагимов
Уважаемые коллеги Устьянцев Ибрагимов!
Я согласен с теми источниками, которые Вы приводите в первых 8 пунктах своего ответа на мои вопросы. Я бы добавил сюда ещё и общебиологические законы, открытые профессором Г.А. Илизаровым.
Только ни один из приведённых Вами, уважаемые коллеги, в 1-8 пунктах не объясняют патологию приведённых клинических примеров.
<На основании информации содержащейся в приведенных источниках и собственных разработок, например:
Устьянцев В.И.-Step by step. Management of Equinus Foot by Ilizarov Technique -c230. medical publishers LTD New Delhi ,2006.
УстьянцевВ.И.- Профилактика инвалидности и реабилитация инвалидов при последствиях травм опорно-двигательного аппарата. с .412,Москва. Медицина,2007. Мы представляем развитие биомеханической компенсации (в случае приведенном Зайцевым Р.В.) следующим образом. >Устьянцев Ибрагимов
Я бы с удовольствием познакомился с этими работами. Надеюсь, что в статье Профилактика инвалидности и реабилитация инвалидов при последствиях травм опорно-двигательного аппарата Вы уделяете достаточное внимание теме рекурвационной деформации проксимальной голени, т.к. Step by step. Management of Equinus Foot by Ilizarov Technique не имеет отношение к разбираемой теме.
<В норме человек имеет возможность опереться на ногу даже с полусогнутым коленом. Это достигается посредством активного замыкания коленного сустава, благодаря напряжению четырехглавой мышцы бедра, что влечет, однако за собой определенную затрату энергии, в отличие от замыкания коленного сустава напряжением его связочного аппарата. При этом напрягаются боковые связки сустава, фиксирующие сустав в положении переразгибания 183 гр. Энергетические затраты при этом минимальны. В случаях, когда напряжения боковых связок недостаточно (разные причины), сустав блокируется под несколько большим углом-напряжением крестообразных связок. При этом получается известная степень (обычно 190гр.) - рекурвация колена.> Устьянцев Ибрагимов
В норме, когда мы стоим на двух ногах, есть механизм, обеспечивающий минимальные энергетические затраты. Это, кажется, называется ?straw home mechanism" Он состоит из 1. при полном разгибании колена, механическая ось в сагиттальной плоскости проходит кпереди от оси его вращения. 2. Связки Бигелова при этом удерживают головки бедренных костей в вертлужных впадинах. 3. замыкательный механизм колена, состоящий из анатомического строения мыщелков бедра, при котором медиальный больше латерального, приводящий к наружной ротации болшеберцовой кости 10° в конце разгибания. И довольно мощной задней части капсулы коленного сустава.
Этот механизм позволяет нам стоять, практически, не используя мышцы длительное время.
<Для компенсации описанной (сгибательная контрактура в колене) взрослому пациенту в момент опоры на данную ногу достаточно наклонить туловище вперед, т.е. сместить вперед центр тяжести. Этим единственным приспособительным процессом он достигает пассивного замыкания коленного сустава, несмотря на сгибательную контрактуру, совпадением проекции центра тяжести с площадью опоры в среднем отделе стопы.> Устьянцев Ибрагимов
Согласен.
<Другое дело у детей, или как в нашем примере с детства- эта биомеханическая компенсация зачастую дополняется рекурвацинной деформацией костей голени. Причем плоскость истинной деформации лежит, как правило в сагитальной плоскости, а вершина истинного угла деформации в проксимальных отделах б/б кости. Вынос дистального отдела голени и стопы (как следствие угловой деформации) вперед, удовлетворяет известному закону механики ,согласно которому тело остается в равновесии, пока проекция центра тяжести не заходит за пределы его площади опоры .Но, к сожалению, этот вид компенсации уже относится к патобиомеханическому и требует оперативной коррекции, т.к. кроме суставной , содержит в себе и костную составляющие.> Устьянцев Ибрагимов
Тут позволю себе не согласиться: Во-первых, у детей, не считая неврологичесих патологий и артрогоипоза, практически не бывает сгибательной контрактуры.
Во-вторых, прошу обратить внимание на демонстрацию номер 2, приведённую мной. Разница в наличии изотопа в зоне роста говорит о частичном закрытии зоны роста с передней поверхности проксимальной тибии. И, как следствие этого, её рекурвационную деформацию.
9.-На оси коленного сустава не стоит терять время,> Устьянцев Ибрагимов
Нет, стоит потому, что <Во втором клиническом случае (презентация) мы бы сделали остеотомию б/б кости не дистальнее бугристости а проксимальнее,тем самым максимально приблизив ось вращения коленного сустава к оси вращения в зоне остеотомии> говорит о том, что наши представления о месте оси вращения коленного сустава расходяться.
12.- Не можем никак прокомментировать Ваше утверждения о
1.Какой то нестабильности в прошлом.
2.Вашем усовершенствовании метода Илизарова (КОРА метод)
3.Установки колец без учета плоскости деформации и ее истинного угла.>
<Занимаясь методом более 30 лет, мы наивно считали, что выделенные вопросы являются аксиомой метода Илизарова, предложены нашим великим Учителем и не подлежат обсуждению.>
Устьянцев Ибрагимов
.Это говорит о том, что, занимаясь более 30 лет, вы не были знакомы с тем, как Гавриил Абрамович рекомендовал накладывать аппарат при деформациях. А ведь 30 лет назад кольца накладывались с гиперкорркекцией на 10-15°больше, с учётом деформации. И это делалось не от хорошей жизни. Это делалось именно потому, что часть дистракционных усилий уходило на <борьбу> с малой стабильностью системы, при которой применялись по одному кольцу на каждый фрагмент. Со временем мы стали применять по 2 кольца на фрагмент и шурупы Шанца, существенно усилившие стабильность. Поэтому отпала необходимость в 10-15° гиперкоррекции при установке кольца. Что же касается положения колец на голени, они должны быть параллельны суставным поверхностям суставов и перпендикулярны осям каждого фрагмента.
Что же касается КОРА метода - это не усовершенствование метода Илизарова. Это метод , позволяющий понять место деформации, её плоскость и место остеотомии. Ничего общего с методом Илизарова КОРА метод не имеет. Понятие КОРА метод введено доктором Палеем из США, надеюсь, с его книгой Вы знакомы.
Относительно расчетов уровня остеотомии сейчас говорить не имеет смысла, поскольку неизвестны сами способы расчета, так что обсуждать?
А вот утверждения об изменении положения надколенника и болях могут быть предметом дискуссии.> Устьянцев Ибрагимов
Позвольте с Вами не согласиться, потому, что я свои расчёты представил в презентации, за что и подвергся критике со стороны А.Артемьева.
О какой дискуссии Вы ведёте речь: Посмотрите ещё раз в презентацию, у пациента было укорочение голени, ему была уравнена длина ног. Остеотомия выше бугристости привела бы к низведению надколенника: со всеми вытекающими от этого осложнениями.
 Файл pdf, 99 Кб.
При Вашем желании мы можем предоставить интересные клинические случаи на обсуждение.> Устьянцев Ибрагимов
С удовольствием. И просьбой ответить на мои вопросы из предыдущего ответа.
С уважением и извинениями за стиль.
|
[
Ответить ]
|
Re: Рекурвация голени
Отправитель: Устьянцев Ибрагимов 10 Апрель 2008, 14:56
|
Уважаемый коллега! В связи с выездом в другую провинцию нашу дисскусию продолжим 17.04.2008г. Спасибо. Устьянцев Ибрагимов.
|
[
Ответить ]
|
Re: Рекурвация голени
Отправитель: Leonid Solomin 11 Апрель 2008, 23:46
|
Уважаемый Устьянцев Ибрагимов!
Надеюсь после возвращения Вы все-таки сможете проиллюстрировать Ваш вариант коррекции фрагментов в упоминаемом клиническом наблюдении.
Доброго путешествия,
Л.Соломин
|
[
Ответить ]
|
Re: Рекурвация голени
Отправитель: Устьянцев Ибрагимов 21 Апрель 2008, 11:48
|

Добрый день уважаемый Leonid Solomin! Сегодня вернулись из командировки.По вашей просьбе отправляем наш вариант коррекции в клиническом случае представленном Зайцевым Р.В.
Предварительные расчеты показали ,что плоскость деформации совпадает с сагитальной плоскостью.Истинный угол деформации равен 30 гр.Исходя из этого,коррекция будет иметь следующую последовательность-
Рисунок 1-взаимоотношение в коленном суставе.
2-уровень остеотомии(кортикотомии с последующей остеоклазией)
3-коррекция б/б кости с восстановлением взаимоотношения суставной поверхности и продольной оси. Фиксация в положении сгибания 30гр.
4-устранение сгибательной контрактуры коленного сустава.Окончательная коррекция.
|
[
Ответить ]
|
Re: Рекурвация голени
Отправитель: Leonid Solomin 22 Апрель 2008, 23:30
|
Уважаемый Устьянцев Ибрагимов!
> Предварительные расчеты показали ,что плоскость деформации совпадает с сагитальной плоскостью. Истинный угол деформации равен 30 гр.
Нет предмета для дискуссии!
> Рисунок 1-взаимоотношение в коленном суставе.
Поясните, пожалуйста, линию Б, угол А*Б (45 гр) и его значение в данном случае.
> 2-уровень остеотомии(кортикотомии с последующей остеоклазией)
> 3-коррекция б/б кости с восстановлением взаимоотношения суставной поверхности и продольной оси. Фиксация в положении сгибания 30гр.
К сожалению, этот рисунок вновь затерялся. Вышлите еще раз, pls. Что вы предлагаете фиксировать "в положении сгибания 30гр." и для чего?
> 4-устранение сгибательной контрактуры коленного сустава.Окончательная коррекция.
Окончательная коррекция чего? (возможно, недостающий рисунок все разъяснит).
Всего самого доброго,
Л.Соломин
|
[
Ответить ]
|
Re: Рекурвация голени
Отправитель: Устьянцев Ибрагимов 24 Апрель 2008, 10:53
|
Уважаемый Л.Соломин!
Никак не можем отправить на форум видеоинформацию в сжатом виде. Пытаемся решить эту проблему,но задержка пролонгируется сложностью работы на П.К. Windows с китайскими иероглифами.Тоже самое по полемике с Я.Одесским.
1- При сгибание коленного сустава на 30гр. линия Blumensaat пересекается с осью бедра под углом 45гр.
2-Ответы на другие вопросы содержатся в оставшейся части информации (2-3-4)
Устьянцев Ибрагимов
|
[
Ответить ]
|
Re: Рекурвация голени
Отправитель: Odessky Jacob M.D. 24 Апрель 2008, 23:59
|
"При сгибание коленного сустава на 30гр. линия Blumensaat пересекается с осью бедра под углом 45гр." (Устьянцев Ибрагимов)
Уважаемые коллеги Устьянцев Ибрагимов! А как меняется угол между бедром и линией Blumensaat при прямом бедре или при сгибании колена на 40, 50, или 60 гр.
С уважением !
|
[
Ответить ]
|
Re: Рекурвация голени
Отправитель: Устьянцев Ибрагимов 16 Июнь 2008, 18:17
|
Уважаемый Л.Соломин. Наша командировка несколько затянулась по объективным обстоятельствам!Высылаем Вам рисунки нашего варианта коррекции деформации данного клинического случая
PDFImages.pdf
357KB (365839 bytes)
|
[
Ответить ]
|
|
Re: Рекурвация голени
Odessky Jacob M.D. 14 Апрель 2008, 18:16
|
Ув. доктор Зайцев!
В приложении показано как делается Переразгибательный стресс снимок колена.
pdf, 76Kb
С уважением!
|
[
Ответить ]
|
Re: Рекурвация голени
Отправитель: Устьянцев Ибрагимов 21 Апрель 2008, 12:27
|
Уважаемый Я.Одесский! Связи с отъездом наша полемика прервалась.Задержка связана с неотложными делами,но мы готовы продолжить нашу дискуссию через 2-3 дня.
С извинениями Устьянцев Ибрагимов
|
[
Ответить ]
|
Re: Рекурвация голени
Отправитель: Odessky Jacob M.D. 05 Июнь 2008, 15:29
|
"Уважаемый Я.Одесский! Связи с отъездом наша полемика прервалась.Задержка связана с неотложными делами,но мы готовы продолжить нашу дискуссию через 2-3 дня.
С извинениями Устьянцев Ибрагимов (21 Апрель 2008, 12:27)"
Уважаеиые коллеги Устьянцев и Ибрагимов! Ваши 2-3 дня несколько затянулись. Вы хотите продолжить полемику или я могу дать заключение?
|
[
Ответить ]
|
Re: Рекурвация голени
Отправитель: Устьянцев Ибрагимов 14 Июнь 2008, 21:13
|
Уважаемый Я.Одесский!
Может быть по прошествии столь длительного времени наша дискуссия потеряла свою актуальность, но поскольку у нас появилось окно, попробуем ее продолжить. В Вашем ответе от 05.04.08г. сказано следующее……..начал применять то, что сейчас называется КОРА метод…., на что мы позволили себе съязвить 09.04.08………Вашим усовершенствованием метода Илизарова (КОРА метод) и т.д.
В следующих публикациях, например 10.04.08. ,Вы утверждаете, что КОРА метод ничего общего с методом Илизарова не имеет…..и далее спрашиваете:знакомы ли с работами доктора Палея? Да знакомы, ведь КОРА это не, что иное как точка, в которой пересекаются проксимальная и дистальная осевые линии(Cora is a point at wich proximal and distal axis lines intersectis allend). А аббревиатура CORA происходит от начальных букв слов – Centre of Rota cion of Angulation.
Аналогичное русскоязычное понятие так же произведенное от первых букв слов - центр вращения угла (либо угловой конструкции) звучит как ЦВУ.
С 70 –х. годов мы используем эти методики при коррекции угловых деформации с единственным уточнением – устранять угловую деформацию необходимо в плоскости деформации, зная при этом величину истинного угла деформации. Истинный угол и плоскость деформации легко определяются по расчетным таблицам на основании стандартных рентгенограмм в 2х проекциях. Именно это положение являлось мотивацией для нашей ссылки на работу Б.Е. Десятник(1980г.)
Вызывают недоумение Ваши постоянные ссылки, на какую то доисторическую (до 1984 г.) технологию, какие то неизвестные нам рекомендации Гаврила Абрамовича и т.д. Думаем, что это неверное представление. Если Вы обратитесь к разработкам тех лет( в частности к 1 сборнику трудов КНИИЭКОТ) Ваши заблуждения по этим вопросам могут пройти. На этом воздержимся от дальнейших комментариев по презентативному случаю до демонстрации отдаленных результатов этого лечения. Остановимся подробнее на заданных нам вопросах.
Во первых «по нашим проедставлениям об осях и центре вращения коленного сустава».
Коленный сустав это сложный сустав, где между сочленяющимися поверхностями костей располагается промежуточный хрящ. Форма промежуточного хряща зависит от обеих костей одинаково. В зависимости от фиксации сегмента, смешение движимой кости по промежуточному хрящу присоединяется к смещению хряща по покоящейся кости.
Во фронтальной плоскости, стоя со сдвинутыми ногами, оба внутренние мыщелка бедра приближаются друг к другу, тогда как проксимальные отделы бедренных костей удалены друг от друга, в среднем на 15- 22 см. Бедро и голень дают ломаную линию с тупым углом, открытым кнаружи, так называемый физиологический вальгус.
Ясно, что чем шире таз, тем более вальгировано колено и тем менее этот угол. Чем уже таз, тем больше варировано и тем больше пересечение осей бедренной и б/берцовой костей приближаются к прямой, ибо не отвесны и не параллельны между собой. А раз обе оси вращения мыщелков обеих ног при пересечении дают угол открытый кверху, то становится понятным, почему тяжесть тела сверху вальгирует колено.
В сагитальной плоскости – профильный вид сустава имеет спиралевидную форму мыщелков, при чем форма спирали ариометическая. Сказанное относится лишь к наружному мыщелку. Внутренний мыщелок имеет особенное строение. Он больше в направлении спереди назад и искривлен по поверхности так, что относительно Fossa intercondyloidea вогнут снаружи и выпуклый внутрь. Геометрически он представляет из себя основание конуса, вершина которого лежит в cond. externa oss tibia, а ось идет сверху, спереди, снутри - назад, вниз и кнаружи. Дуга этой поверхности равна 60 гр., а ось лежит под углом 45 гр. К горизонтальной плоскости, проходя через переднюю часть Eminencia intermedia oss tibia incond. ext. oss tib. Движения бедра вокруг этой оси соответствует равнодействующей сгибающей-разгибающей и ротирующей осям. Этим можно объяснить тот факт, что величина сгибательных движений в коленном суставе более значительна, чем она должна была бы быть соответственно покрытию костей суставными хрящами.
Мыщелки бедренной кости имеют три оси: одна общая обоим мыщелкам идет через центры задних, с меньшим радиусом дуг обеих мыщелков; другая, то же общая обоим мыщелкам идет через центры передних, с большими радиусом дуг обоих мыщелков и третья косая, принадлежащая собственно внутреннему мыщелку бедра.
По положению это:
- нижняя поперечная ось
- верхняя поперечная ось
- косая ось
Верхнюю и нижнюю оси не разделяя можно назвать осью вращения коленного сустава. Движения по ним не одновременны. Например, разгибание сначала производится вокруг нижней поперечной оси, затем вокруг верхней поперечной и, наконец, вокруг косой оси.
Каждое разгибание колена заканчивается ротацией б/берцовой кости кнаружи, а каждое сгибание сопровождается внутренней ротацией б/берцовой кости (вместе с ней и стопы).
По окончании сгибания колена возможна дальнейшая ротация(каждому углу сгибания соответствует свой обьем ротационных движении), но уже по собственной ротационной оси коленного сустава. Эта ось идет почти по продольной оси б/берцовой кости, возможность этого движения основано на том, что обе суставные поверхности мыщелков б/б кости конусообразно подымаются, а суставная поверхность медиального мыщелка бедра конусообразно опускается на eminencia intermedia.
Роль мыщелков в обеспечении движения в сагитальной и горизонтальной плоскостях разная. Так мерилом сгибательно-разгибательных движений является медиальный мыщелок бедра, а ротационных - наружный мыщелок б/берцовой кости.
Предельный объем сгибания-разгибания в среднем равен 128 гр. Предельный объем ротационных движений равен 60 гр. Такая большая разница (128-60=68) в дугах вращения сустава говорит против сферы и одного центра вращения в суставе. Хотя в передней и наружной части сустава, в месте пересечения осей движения, имеется отрезок сферического сустава с одним центром вращения.
Таким образом, понятие « центр вращения сустава»- понятие условное. Да и биомеханика этого сустава не допускает ни простой сферической поверхности, ни сплошного покрытия поверхностей хрящом, допуская лишь наличия периферических неполных хрящевых менисков, между периферическими частями соприкасающихся поверхностей мыщелков бедра и б/б кости, играющих важную, ключевую роль в биомеханике коленного сустава. Центры обоих мыщелков бедра соединяются не прямой, а ломаной – уступообразной осью, которая компенсируется до прямой хрящевыми менисками. Толщина менисков разная. Наружный всегда толще внутреннего на 2-3 мм.
Для каждого мыщелка своя ось вращения, с углом между ними около 167гр., наружная часть этой оси отклонена на 13 гр. вниз от горизонтальной плоскости.
При переносе центра тяжести тела на одну, то на другую ногу, менисковые хрящи от тяжести то сжимаются, то разжимаются.
При сжатии менисков в опорную фазу шага образующаяся ломаная ось не допускает движений в коленном суставе. В переносную фазу шага наружный мениск выходит из своего сжатого состояниями и разжимается. Ломаная ось выпрямляется и обращается в одну общую наклонную ось. При этом движения между мыщелками и хрящами становятся возможными и свободными.
Несколько тезисов о надколеннике.
Угловые движения (вращения) оси надколенника совершаются вокруг косой (172гр.) оси в объеме 8 гр.
Движения в большем объеме невозможны из-за анатомических особенностей надколенно-бедренного сустава. На каждый градус вращения надколенника приходится 16 гр. сгибательно-разгибательных (угловых) движений в коленном суставе. На каждые 16гр. угловых движений в коленном суставе приходится 7-8 мм линейных движений надколенника.
Таким образом, различные комбинации взаимоотношений составляющих коленного и надколенно-бедренного суставов поддаются эмпирическому расчету.
О высоких остеотомиях с последующими удлинениями.
Удлинение в метоэпифизарной зоне, в частности выше бугристости б/берцовой кости, в пределах 1.5-2 см. широко применяется и носит название - пролонгированное региональное кровообращение с созданием '' бочкообразных'' регенератов. Кстати оно очень эффективно при дегенеративно-дистрофических изменениях в суставах.
Не будем далее развивать эту тему. Она достаточно проработана и базируется на большом, достаточно репрезентативном клиническом материале. И вообще, представленные на обсуждения случаи не заслуживают столь пристального внимания.

Позвольте представить Вам клинический материал, в какой то мере касающейся нашей дискуссии, но требующий все-таки иного взгляда на патобиомеханику и биомеханику опорно-двигательного аппарата.
С уважением Устьянцев Ибрагимов
|
[
Ответить ]
|
Re: Рекурвация голени
Отправитель: Odessky Jacob M.D. 17 Июнь 2008, 00:42
|
Здравствуйте, уважаемые коллеги! Поздравляю всех россиян, членов форума, с Днём Медицинского Работника!
Уважаемый Устьянцев Ибрагимов! Благодарю Вас за ответ! Не думаю, что дискуссия потеряла актуальность... Ваш стиль мне понравился, попробую ответить Вам в Вашем стиле!
"В следующих публикациях, например 10.04.08. ,Вы утверждаете, что КОРА метод ничего общего с методом Илизарова не имеет:..С 70 -х. годов мы используем эти методики при коррекции угловых деформации с единственным уточнением - устранять угловую деформацию необходимо в плоскости деформации, зная при этом величину истинного угла деформации. Истинный угол и плоскость деформации легко определяются по расчетным таблицам на основании стандартных рентгенограмм в 2х проекциях. Именно это положение являлось мотивацией для нашей ссылки на работу Б.Е. Десятник(1980г.)"Устьянцев Ибрагимов
Уважаемый доктор Устьянцев Ибрагимов! Передо мной книга Г.А. Илизарова, <Чрескостный Остеосинтез>, изданная в 1992 году издательством Шпрингер. Там того, что Вы декларируете, нету!!! Таблицы есть, но, пардон, КОРА метода:нету!!!
"Вызывают недоумение Ваши постоянные ссылки, на какую то доисторическую (до 1984 г.) технологию, какие то неизвестные нам рекомендации Гаврила Абрамовича и т.д. Думаем, что это неверное представление. Если Вы обратитесь к разработкам тех лет( в частности к 1 сборнику трудов КНИИЭКОТ) Ваши заблуждения по этим вопросам могут пройти." Устьянцев Ибрагимов
Вы бы ещё достали сказку о Василисе Прекрасной из малахитовой шкатулки!!! Чем Вы собственно недоумеваете... Я начал работать в КНИИЭКОТЕ в 1982 году. В 70-м мне было 11 лет! В приложенных файлах есть 2 клинических случая из книги Гавриила Абрамовича! Снимки, помещённые там, говорят о многом, даже дата сохранена, и Вы можете убедиться, как в 1984 году накладывались аппараты для исправления деформации автором метода и его учениками. Как видно из снимков, не все рекомендации Гавриила Абрамовича Вам известны.

Файл PDF, 244 Кб
<О высоких остеотомиях с последующими удлинениями.
Удлинение в метоэпифизарной зоне, в частности выше бугристости б/берцовой кости, в пределах 1.5-2 см. широко применяется и носит название - пролонгированное региональное кровообращение с созданием '' бочкообразных'' регенератов> Устьянцев Ибрагимов
Не будете Вы так любезны, подкрепить свои высказывания ссылками на соответствующую литературу.
<Позвольте представить Вам клинический материал, в какой то мере касающейся нашей дискуссии, но требующий все-таки иного взгляда на патобиомеханику и биомеханику опорно-двигательного аппарата.> Устьянцев Ибрагимов
Какую информацию несут снимки больных, высланных Вами, кроме низкого уровня здравоохранения в том регионе нашей планеты, где живут эти люди!
Другое дело, если бы нам были бы представлены клинические случаи подтверждающие то, что <С 70 -х. годов мы используем эти методики при коррекции угловых деформации с единственным уточнением - устранять угловую деформацию необходимо в плоскости деформации, зная при этом величину истинного угла деформации> Показывающие как Вами использовался метод Илизарова, и то, как Вы лично использовали то, что сейчас называется КОРА методом в своей практике, и как Вы лично, начиная с тех самых 70-х годов, правильно выставляли шарниры в истинной плоскости деформации, это было бы намного доказательней того, что Вы с таким пафосом декларируете.
С уважением!
|
[
Ответить ]
|
Re: Рекурвация голени
Отправитель: Odessky Jacob M.D. 17 Июнь 2008, 08:18
|
Обещанный мной 2 клинический случай из раздела устранения деформаций книги Г.А.Илизарова "Чрескостный остеосинтез"
С уважением!
Doc2.pdf
109KB (112469 bytes)
|
[
Ответить ]
|
|
Re: Рекурвация голени
зайцев 13 Июль 2008, 19:37
|
пациент наконец то объявился вновь и мы смогли выполнить новые снимки как лежа так и в нагрузке
если у вас остались силы, давайте обсудим
|
[
Ответить ]
|
( Ответить )
|
|