ВХОД ДЛЯ ПАЦИЕНТОВ
вверх
поиск
админ
главная
исходное
|
Re: Синтез ор нот синтез?
послал Djoldas Kuldjanov, M.D. 10 Апрель 2008, 14:25
|
здесь пропускаем повреждение Maisonneuve...
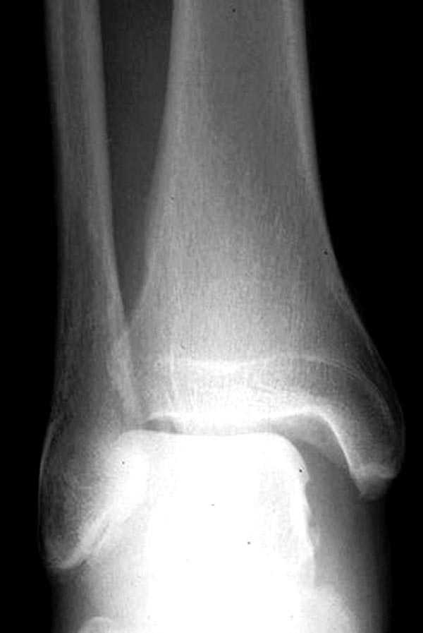
Здесь как раз тот случай, когда рентгеновский снимок скрывает главную проблему. "Ходит, прихрамывая на правую ногу, отмечает боли в правом голеностопном суставе" По описанию клиника типичная для повреждения голонестопного сустава - синдесмоза.
При проксимальных переломах малоберцовой автоматически необходимо подозревать повреждение синдесмоза - Maisonneuve Fracture.
"На западе", как правило, при переломах голеностопа требуются снимки проксимальной части голени.
Описанное в 1840 году Maisonneuve повреждение характеризуется тем, что при фиксированной наружной ротации стопы повреждается передняя фибуло-тибиальная связка, часть синдесмоза, с переломом медиальной лодыжки и без, дальше разрыв продолжается по межкостной мембране и спиральный или косой перелом малоберцовой происходит выше.
Для уточнения диагноза надо сделать все стандартные снимки голеностопа, (несмотря на необходимость при любых повреждениях голеностопа, почему-то очень трудно воспроизводится коллегами из СНГ?)
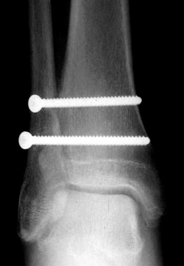
На прямой проекции можно увидеть расширенную медиальную щель, и на мортизе укорочение малоберцовой.
Невозможно устранить проблему фиксацией малоберцовой пластиной или другими методами, потому что главная проблема - разрыв межберцовой мембраны, которая находится между костями и внизу в голеностопе в синдесмозе.

Две параллельных шурупа создают условия для сращения мембраны и синдесмоза, 8 недельный срок достаточен, и можно удалить фиксаторы.
Без оперативного лечения Межкостная мембрана будет источником боли у спортсменов.
|
Послать ответ |
Обратите внимание: Поля с жирными названиями обязательны.
Старайтесь отвечать в рамках обсуждаемой темы, а не начинать новые обсуждения.
Указывайте адекватную тему сообщения, чтобы было ясно, о чем оно.
Не послайте сообщений не по теме (оффтопик), раздраженных, грубых или обидных комментариев. Здесь это неуместно.
|