ВХОД ДЛЯ ПАЦИЕНТОВ
вверх
поиск
админ
главная
|
остеобластеокластома локтевой кости |
 |
 |
 |
Прислано Maxim Agalakov 12 Апрель 2008, 20:01
из
Здравствуйте, коллеги.
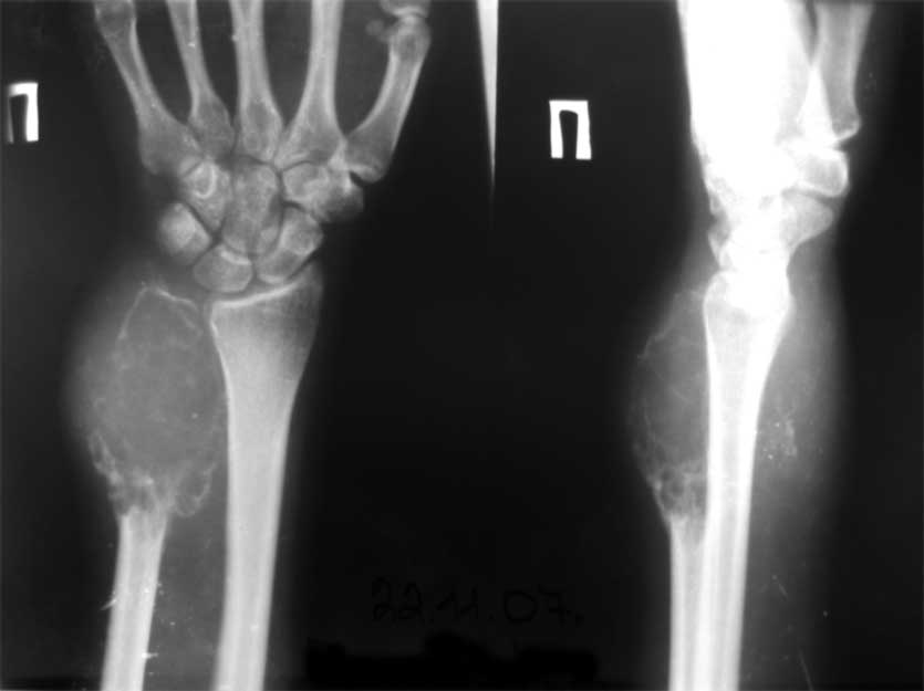
Обратилась пациентка 21 года с опухолью в области н/3 диафиза локтевой кости.
Первые жалобы появились около года назад. Снимков старых под рукой сейчас нет, но опухоль быстро прогрессировала, за полгода увеличилась в размерах более чем в 2 раза. Выполнено несколько гистологических исследований - стеобластеокластома без признаков озлокачествления. После заключительной биопсии на локтевой поврехности предплечья есть рана 5/7 см,не заживет на протяжении 2 мес (натяжение кожи над опухолью), гранулирует, небольшое количество налетов. Планируется резекция, продленная фиксация в гипсе/аппарате - 3-4 мес для формирования контрактуры, уменьшения риска локтевой девиации кисти.
Вопросы: как поступить после резекции опухоли, какие действия можно предпринять, чтобы максимально сохранить функцию предплечья, л/з сустава?
P.S.микрохирургической техникой не располагаем, остальное - возможно, фото раны пришлю как поступит в отделение
С уважением,
Максим Агалаков, госпиталь Ветеранов Войн, Е-бург
Обратите внимание: Поля с жирными названиями обязательны.
Старайтесь отвечать в рамках обсуждаемой темы, а не начинать новые обсуждения.
Указывайте адекватную тему сообщения, чтобы было ясно, о чем оно.
Не послайте сообщений не по теме (оффтопик), раздраженных, грубых или обидных комментариев. Здесь это неуместно.
|