AOTRAUMA.ORG Центр Илизарова  

Ортопедия и травматология Общие вопросы/General questions Help Информационные технологии в медицине
 вверх
 отправить
 поиск
 админ
 главная


Застарелый перелом 41С3
Ортопедия и травматология Отправлено Abdurashid Turaev 16 Апрель 2008, 01:49
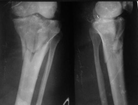
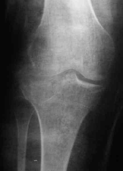
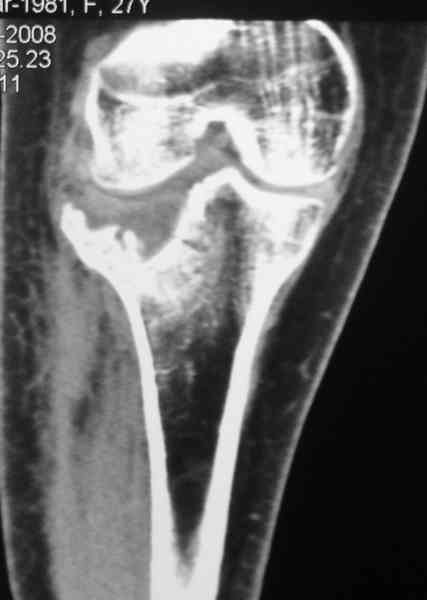
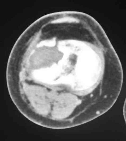
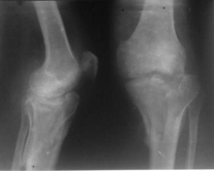
Обратился больной 46л. 3-месяца назад в каком-то городке Дальнего Востока упал с высоты, сделана Р-графия, наложена гипсовая повязка, от предложенной операции отказался и уехал домой, дальше где и как лечился, не говорит.
Ходит при помощи двух костылей, жалобы на боли при нагрузке, в покое и при движении, без нагрузке боли нет, разгибание 175 гр, сгибание 90 гр, симптомов повреждения связочного аппарата к/с не определяется, от предложенного артродеза пока отказывается.

Уважаемые коллеги! какие будут мнения по поводу лечения, эндопротез недоступен. Заранее благодарю! С уважением Абдурашид.

<  |  >

 

  • Сообщения о Ортопедия и травматология
  • Также Abdurashid Turaev
  • Связаться с автором
  • Ответить

    Re: Застарелый перелом 41С3
    Leonid Solomin 16 Апрель 2008, 20:32
    Уважаемый Абдурашид!
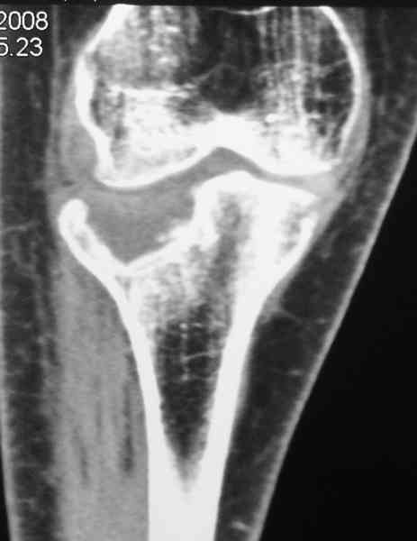
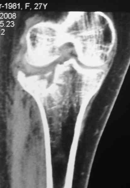
    Есть ли возможность сделать КТ?

    Всего наилучшего,
    Л.Соломин

    [ Ответить ]

    • Re: Застарелый перелом 41С3
      Отправитель: Abdurashid Turaev 16 Апрель 2008, 23:35

      Уважаемый Леонид. Очень рад услышать Вас!
      К большому сожалению КТ пока на ремонте, как запустять, сразу сделаю. Спасибо.
      С уважением Абдурашид.


      [ Ответить ]
    Re: Застарелый перелом 41С3
    Никифоров Ростислав 17 Апрель 2008, 19:32
    Дорогой коллега, застарелых переломов, во первых, не бывает. Они бывают сросшиеся, не сросшиеся и т.п. Во вторых, эндопротезирование на данном этапе технически очень затруднительно. Я бы предложил два варианта, первый - это консервативное лечение, с разгрузкой сустава, ортезированием и лечебными блокадами или второй - оперативный - ЧКДО аппаратом Илизарова на бедро - голень, растянуть сустав, попытаться, если перелом еще не консолидировался, исправить ось. Во всяком случае, на фоне дистракции легче провести разработку движений.
    Желаю удачи.
    [ Ответить ]

    • Re: Застарелый перелом 41С3
      Отправитель: Abdurashid Turaev 17 Апрель 2008, 21:27

      Уважаемый Ростислав. Спасибо что поправили, это у нас по старой привычке, "застарелый" наверное правильно будеть "неправильно вялоконсолидируюшаяся перелом" или есть еще другие варианты, надо подумать.
      По тактике лечения, более импонирует второй вариант, но наружная плато расколота и туда при нагрузке внедряется н/мышелка бедра, поэтому после дистракции как репонирвать: или стяжными винтами, или изогнутами спицами или субхондральная костная пластика?
      Александр Петрович Ким, хотел бы услышать и Ваше мнения.
      С уважением Абдурашид


      [ Ответить ]
      • Re: Застарелый перелом 41С3
        Отправитель: А..П.Ким 18 Апрель 2008, 15:55
        Уважаемый Абдурашид. Если нет противопоказаний , то из оперативных способов, я бы рекомендовал следующие: Полное замещение наружного мыщелка аллотрансплантатом либо открытая репозиция с элевацией и замещение дефекта ауто или аллокостью. В Ваших условиях , я бы рекомендовал второй способ. Во-время элевации необходимо разъединить фрагменты со стороны сустава ( надсечь скальпелем по линиям перелома, а затем тонким остеотомом их разъединить. При помощи долота произвести неполную остеотомию ( захватите не менее 1,5 - 2 см губчатой кости и поднять фрагменты, визуально отрепонировать и фиксировать 2-3 спицами. Дефект заместить костным ауто или аллатрансплантатом. Окончательная стабилизация пластиной ( лучше с угловой стабильностью, либо АВФ - позволит спокойно устранить угловую деформацию.




        Недавно поступила больная через 1,5- 2 месяца.
        Удачи.



        [ Ответить ]
    Re: Застарелый перелом 41С3
    Odessky Jacob M.D. 19 Апрель 2008, 11:10
    Уважаемый Абдурашид!
    Я согласен с мнением доктора Соломина, что необходимо выполнить СТ. Это поможет Вам не только определить степень повреждения твёрдых тканей, но и увадеть степень сращения. Без СТ не возможно планировать дальнейшую тактику лечения.
    С Уважением
    [ Ответить ]

    Re: Застарелый перелом 41С3
    Ростислав Никифоров 22 Апрель 2008, 20:41
    Уважаемые коллеги, о какой пластинке с угловой стабильностью Вы говорите, о какой костно - пластической операции. Задача доктора Абдурашида добится консолидации и насколько возможно восстановить вункцию сустава. Применение сложных реконструктивных операций требует от пациента ответственного отношения к себе в послеоперационном периоде, а он (пациент) 3 месяца лечился неизвестно где и как, он на первый день после операции скорее всего пойдет без костылей. Я все таки остаюсь при мнении, что в данном случае целесообразно применение аппарата Илизарова, который после дистракции коленного сустава посволит исправить ось.Верхнее кольцо на голени я бы накладывал дистальнее места перелома, а репозиционные спицы проводил бы на "мальчиках" при необходимости.
    [ Ответить ]

    Re: Застарелый перелом 41С3
    Ростислав Никифоров 22 Апрель 2008, 20:41
    Уважаемые коллеги, о какой пластинке с угловой стабильностью Вы говорите, о какой костно - пластической операции. Задача доктора Абдурашида добится консолидации и насколько возможно восстановить вункцию сустава. Применение сложных реконструктивных операций требует от пациента ответственного отношения к себе в послеоперационном периоде, а он (пациент) 3 месяца лечился неизвестно где и как, он на первый день после операции скорее всего пойдет без костылей. Я все таки остаюсь при мнении, что в данном случае целесообразно применение аппарата Илизарова, который после дистракции коленного сустава посволит исправить ось.Верхнее кольцо на голени я бы накладывал дистальнее места перелома, а репозиционные спицы проводил бы на "мальчиках" при необходимости.
    [ Ответить ]

    • Re: Застарелый перелом 41С3
      Отправитель: Alexander Chelnokov 22 Апрель 2008, 23:02
      РН> Я все таки остаюсь при мнении, что в
      РН> данном случае целесообразно применение аппарата Илизарова, который
      РН> после дистракции коленного сустава посволит исправить ось.


      У пациента основной проблемой является импрессионый перелом наружного мыщелка, уже неправильно сросшийся, по-видимому. Аппаратом закрыто можно только подправить угол на уровне метадиафиза. Что
      улучшит разве что внешний вид конечности, но не решит основной проблемы - грубой деформации суставной поверхности.


      [ Ответить ]
    • Re: Застарелый перелом 41С3
      Отправитель: Alexey Semenisty 23 Апрель 2008, 17:39
      периоде, а ..... он на первый день после операции скорее всего пойдет без костылей. Я все таки остаюсь при мнении, что в данном случае целесообразно применение аппарата Илизарова, который после дистракции коленного сустава посволит исправить ось

      Уважаемый Ростслав, а что, методика лечения по Илизарову, или, как Вы предлагаете, аппаратом Илизарова, не "требует от пациента ответственного отношения к себе в послеоперационном периоде"???

      С уважением, А.Семенистый.
      ГКБ № 13, Москва.

      [ Ответить ]
    Re: Застарелый перелом 41С3
    Michael Berenstein 22 Апрель 2008, 22:53
    Уважаемый Абдурашид.
    Перелом сложный, особенно через 3 месяца. Артродез всегда успеете сделать.
    Но по моему мнению, все-таки возможно проведение открытой репозиции.
    В этой ситуации необходим широкий доступ, наиболее удобным было бы остеотомия бугристости б.б кости с поднятием связки надколенника, это даст хороший обзор. Остеотомию нужно делать с достаточно большим фрагментом для удобного закрытия раны. Мениски могут быть повреждены, особенно наружный,
    необходимо его сохранить и после завершения репозиции подшить к капсуле.
    Через 3 месяца после перелома все еще можно выделить отломки, очистить от костной мозоли и и восстановить анатомию суставной поверхности. Фиксировать компрессионными шурупами. Важно помнить, что наружный мыщелок должен быть на 4-5 мм выше внутреннего. Передняя крестообразная связка обычно остается с частью кости и важно фиксировать ее проволокой по Ли. После восстановления суставной поверхности весь комплекс суставной поверхности нужно фиксировать к диафизу, можно использовать пластинку с фиксированными шурупами с наружной поверхности или две обычные с двух сторон или аппарат Илизарова. Важно сохранить задний наклон плато приблизительно 7 градусов. При закрытии доступа бугристость б.б кости фиксировать двумя шурупами. Важно добиться стабильности для максимально ранней разработки. Операция сложная, но интересная.

    Удачи.

    С уважением М.Беренштейн
    [ Ответить ]

    Re: Застарелый перелом 41С3
    Никифоров Ростислав 23 Апрель 2008, 02:17
    Наверное Вы правы, Александр, но Вас не смущает поведение пациента? В аппарате, по крайней мере, можно будет разгрузть сустав, выполнить на фоне дистракции рентгенограммы, так как КТ на ремонте, увеличить объем движений. Да и если думать о реконструкции в дальнейшем, то аппарат можно тогда расценить как предварительный этап операции.
    [ Ответить ]

    Re: Застарелый перелом 41С3
    Abdurashid Turaev 24 Апрель 2008, 00:19

    Уважаемые коллеги , друзья! всем большое спасибо! Очень интересные высококвалифицированные предложения, действительно этот форум для нас практических врачей как школа повышения квалификации и в конечном счете грамотное лечение больного Ч Е Л О В Е К А.
    Наш план; доступ как подсказал Michael, по возможности репозиция, костная аутопластика дефекта метафиза, винты и спицы, АВФ и умеренная дистракция с шарнирными стержнями, и ранная пассивная разработка. Операцию планируем на следуюшей недели.
    Еше раз благодарю всем коллегам!
    С уважением Абдурашид.
    .

    [ Ответить ]


    ( Ответить )

    Powered by Zope  Squishdot Powered MedLink
    Посетитель: 0181983
      "По форме правильно, а по существу - издевательство" В.И.Ленин
    ©2001-2019Orthoforum Coordinator.
    [ Главная | Отправить сообщение | Поиск | Админ ]