вверх
отправить
поиск
админ
главная
Предыдущее
|
Re: Нагноение после интрамедуллярного остеосинтеза
Odessky Jacob M.D. 20 Апрель 2008, 01:21
|
Уважаемый доктор Ситник!
Если возможно дополните выше обследование скенированием косстей, лучше с меченными лейкоцитами и КТ
Я бы рекомендовал Вам лечение в несколько этапов.
На первом этапе необходимо удалить гвоздь и произвести дебридмент мягких и твёрдых тканей, обязательно включая риминг костномозгового канала и его промывание. Рану можно ушить , оставив сисему промывания или септопал биц. Фиксировать в гипсе.Дать в/в антибиотики с учётом чувствительности и, если есть возможность - гипербарическую оксигенацию.
На втором этапе - через 3-4 недели выполнить повторный дебридемент,адаптировать хорошо концы отломков, удалить все остальные внутренние фиксаторы,убрать участок м/б кости, наложить аппарат Илизарова и сделать острое укорочение.Аппарат должен быть очень стабьльный. Если удастся на проксимальный фрагмент наложите 2 кольца, 5 спиц. Или одно кольцо с 3 спицами и 2-мя стержнями Шанца. И 2 кольца на дистальный фрагмент. Имейте ввиду, что острое укорочение вызывает гофрирование мягких тканей и может привести к нарушению кровообращения. Поэтому в случае исчезновения пульса на артерих стопы, необходимо проверить доплер сигнал. Есоли есть доплер сигнал, сосудистые нарушения ограничиваються спазмом, что очень часто при таких операциях!!! Если доплер сигнала нет, надо вернуть частично длину назад, оставив при этом некоторое растояние между отломками. В послеоперационном периоде продолжаем антибиотики.
И даём компрессию в месте контакта фрагментов, в случае, если на операции удалось выполнить острое укорочение.
На третьем этапе - ещё через 3-4 недели , в случае если нет признаков инфекции выполняем остеотомию большеберцовой кости для восстановления длины сегмента в случае, острого укорочения, или костного транспорта для восстановления деффекта.
На четвёртом этапе - только в случае костного транспорта перед контактом фрагментов надо пойти на освежение их концов.
Иными словами в данной ситуации остеосинтеэ должен быть открытый и можно применить либо одновременный компрессионно-дистракционный остеосинтез ( в случае острого укорочения ) Даже не смотря на то, что остеотомия для восстановления длины сегмента будет проведена через 3-4 недели после острого укорочения.
Либо последовательный дистракционный, а потом компрессионный остеосинтез ( Костный транспорт)
Первый даёт лучшие результаты.
Возможно , что некоторые коллеги посоветуют лечение в один этап - т.е. убрать гвоздь, дебридмент остеотомию и аппарат в одну сессию.
Мой опыт лечения показывает, что поэтапная тактика даёт лучший результат, поэтому я его рекомендую.
Я бы мог подкрепить всё сказанное клиническими примерами, но последний раз , сделав это напоролся на беспардонную критику со стороны некоторых коллег.
С уважением
|
|
|
Ответить
|
Re: Нагноение после интрамедуллярного остеосинтеза
А. Ситник. 20 Апрель 2008, 11:04
|
Уважаемый д-р Odessky Jacob.
Спасибо за детальный совет, несколько уточняющих вопросов:
1. Цель дообследования: КТ - поиск секвестров, консолидации? а сканирование?
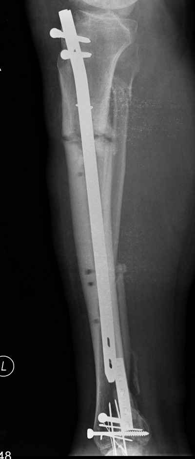
2. С аппаратом и резекцией малоберцовой кости все понятно, но почему вы предполагаете значимое укорочение, требующее транспорта? В моем случае есть признаки формирования нормотрофического (по крайней мере не аваскулярного несращения)- в приложении боковая рентгенограмма.

3. Примеры все же были бы интересны, надеюсь, здесь не возникнет беспочвенных нападок.
Спасибо
А.Ситник
|
[
Ответить ]
|
Re: Нагноение после интрамедуллярного остеосинтеза
Отправитель: Odessky Jacob M.D. 21 Апрель 2008, 02:51
|
Уважаемый доктор Ситник!
Цель дообследования выявить границы остеомиелита. То, что канал инфицирован, сомнения не вызывает. Дебридмент канала можно сделать с помощью его расверливания.То же самое и с отверстиями блокирующих болтов. Но если не будет удалена некротизированная кость в области ложного сустава, успехов в лечении Вам не видать.
Поэтому определение границ процесса крайне важно.
Вы можете к этому добавить ЯТР с гадулиниумом после удаления гвоздя.
То, что ложный сустав нормотрофический не говорит о том , что ближайшие границы его чисты. Это говорит скорее о менее агрессивном инфекционном процессе.
Я не предлагаю резекцию , требующую транспорта...
Если в результате дообследования, локальный процесс будет очень близок к зоне сустава, достаточно будет его резекции и компрессии.
С уважением
|
[
Ответить ]
|
|
( Ответить )
|
|