ВХОД ДЛЯ ПАЦИЕНТОВ
вверх
поиск
админ
главная
исходное
|
Re: Открытый перелом голени, некроз кожного лоскут
послал Djoldas Kuldjanov 16 Май 2008, 00:27
|
После пары Irrigation& Debridment с вакуумом можно провести окончательную фиксацию интрамедуллярным методом. Чем быстрее, тем лучше, потому что сроки нахождения наружных фиксаторов на конечности тоже имеют значение, риск осложнения увеличивается после длительного пребывания наружного фиксатора.
Открытые переломы, если имеется хороший доступ из раны можно сопоставить и зафиксировать первично пластиной, потому что несопоставленные переломы намного труднее репонируется в поздние сроки. Активизация больного за счет стабилизации кости благоприятно влияет на сращение, а также облегчается манипуляция по закрытию дефекта.
Необходимо доказать проникновение инфекции в кость, иначе агрессивные сегментарные остеотомии кости удлиняет процесс восстановления.
Показания к применению мышечно-ротационной пластики на голени являются обнаженный фрагмент кости, мышца, прикрывая кость восстанавливает питание, а снаружи мышца служит ложем для кожной пластики.
“возможна ли в этой ситуации пластика перемещенным кожным лоскутом на широком основании (например, как на прилагаемом фото)?”
При отсутствии альтернативы закрытия дефекта специалистом, тогда кожным лоскутом на широком основании "cross leg flap". Рекомендую подготовку донорского участока заранее, на задней поверхности голени, срез кожи с подкожной клетчаткой, как на вашем рисунке, приподнимается лоскут от фасции, после гемостаза кожа зашивается заново.
Таким образом подготовленный участок хорошо приживается засчет образования краевого кровообращения, особенно у пожилых и у больных с заболеваниями периферических сосудов. Через 10-12 дней лоскут повторно выделяется по заживающей линии и закрывается дефект, а на донорский участок кожная пластика.

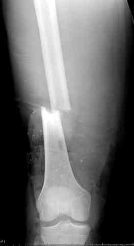
здесь случай с политравмой, перелом зафиксирован наружным фиксатором, после третьей irrigation&debridment фиксация бедра пластиной с последующей кожной пластикой.
Djoldas Kuldjanov, MD
Department of Orthopedic Surgery
St. Louis University Medical Center
|
| Послать ответ |
Обратите внимание: Поля с жирными названиями обязательны.
Старайтесь отвечать в рамках обсуждаемой темы, а не начинать новые обсуждения.
Указывайте адекватную тему сообщения, чтобы было ясно, о чем оно.
Не послайте сообщений не по теме (оффтопик), раздраженных, грубых или обидных комментариев. Здесь это неуместно.
|