Ответить
|
Re: неполный перелом шейки
Фионик Григорий 24 Май 2008, 10:39
|
Если сделать контроль через 1-2 недели то перелом скорее всего окажется завершенным. По моему лучше оставить как есть на неделю постельный режим, после чего рентгенконтроль, а потом на костылях nach hause.
|
[
Ответить ]
|
Re: неполный перелом шейки
Леспович 24 Май 2008, 13:03
|
А что означает профилактическая перкутанная фиксация? Профилактика чего? Резорбции что ли? Снимки у Вас высокого качества- это ясно, а ППФ - это не ясно.
|
[
Ответить ]
|
неполный перелом шейки
Бен Эльайфар Мохамед 24 Май 2008, 16:57
|
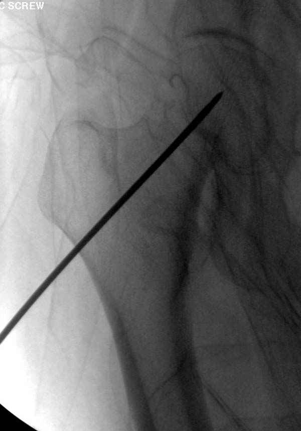
в течение первых 72 часов после перелома, остеосинтез тремя спонгиозными шурупами.
|
[
Ответить ]
|
Re: неполный перелом шейки
Александр Рыков 24 Май 2008, 21:27
|
За фиксацию или армирование, если рассыпется - будет многократно проблемнее.
Рыков АГ
|
[
Ответить ]
|
Re: неполный перелом шейки
В.Машталов 24 Май 2008, 21:28
|
Уважаемый Djoldas!
Почему неполный перелом? Я бы назвал его вколоченным!
Я за синтез винтами.
Чем Вы профилактируете делирий?, очень актуально!
|
[
Ответить ]
|
Re: неполный перелом шейки
Dr. A. Liberson 24 Май 2008, 21:29
|
Well, it should be fractured even if you do not see the whole fx line.
Nail it, a percutaneous one is OK
AL
|
[
Ответить ]
|
Re: неполный перелом шейки
Michael Berenstein 24 Май 2008, 21:30
|
Дорогой Джолдас!
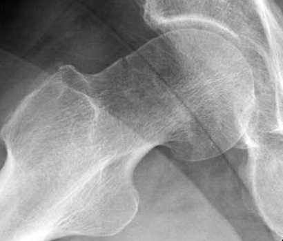
Перелом конечно не вколоченный т.к. видно линию перелома и нет суперпозиции костной ткани.
Я полностью согласен с коллегами по поводу фиксации. Для человека, который иногда не контролирует свои действия фиксация очень подходящий вариант. Я бы предпочел фиксатор с фиксированным углом типа DHS или у Эскулапа сейчас есть фиксатор, который мне очень нравится
Как дела?
Михаил Беренштейн
|
[
Ответить ]
|
Re: неполный перелом шейки
Анатолий Канзюба 25 Май 2008, 12:54
|
Добрый день. Перелом коварный. Через время может произойти лизис в области "неполного" перелома и он превратиться в "полный" со всеми очевидными проблемами, тем более у пациента, склонного к питию. Если не разовьется делирий или после выхода из него, рекомендую внутренний остеосинтез винтами.
|
[
Ответить ]
|
Re: неполный перелом шейки
Djoldas Kuldjanov 27 Май 2008, 22:17
|
“А что означает профилактическая перкутанная фиксация? Профилактика чего? Резорбции что ли? Снимки у Вас высокого качества- это ясно, а ППФ - это не ясно.”
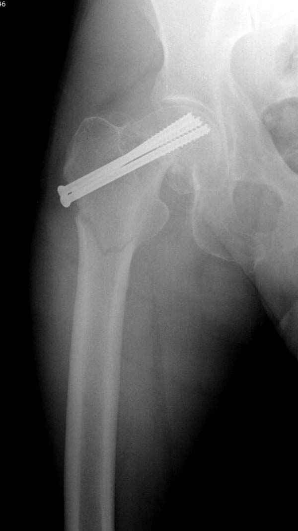
Профилактику дальнейшего раскола неполного перелома шейки провели тремя канюлированными шурупами.
Профилактику алкогольного делирия проводим по схеме после мониторинга CIWA-Ar (специального протокола Clinical Institute Withdrawal Assessment for Alcohol)
Назначения Lorazepama (Ативан) по 2 мг в зависимости от результата протокола. Также проводится витамин В1 (Thiamin) для профилактики Korsakoff-Wernicke синдрома.
На второй день после выписки упал дома. Снимки приложены. Коллеги рекомендуют удаление шурупа и вытяжение. Что делать?
Djoldas Kuldjanov, MD
Department of Orthopedic Surgery
St. Louis University Medical Center
|
[
Ответить ]
|
Re: неполный перелом шейки
Отправитель: Alexander Chelnokov 27 Май 2008, 22:29
|
Привет из солнечного Будапешта с Eurotrauma-2008. Да, замечательный пример. Получается, профилактику расхождения отломков шейки надо было проводить каким-то реконструкционным или проксимальным гвоздем, причем сразу длинной версией. Сейчас, наверно, так и надо бы сделать.
Убрать винты, каким-то джойстиком в вертельной области сделать репозицию шейки, фиксировать ее спицами, а дальше вправлять и фиксировать как вертельный перелом.
|
[
Ответить ]
|
Re: неполный перелом шейки
Отправитель: Исмаил Дибиров 28 Май 2008, 03:35
|
Да!Не зря говорят:"дуракам умных операций не делают"...Неужели забыли "таких" больных,или "там" уже так не пьют?!А что останется от шейки после удаления 3Х спонгиозных винтов в плане кровоснабжения? Срастется?
|
[
Ответить ]
|
Re: неполный перелом шейки
Отправитель: А.Рыков 29 Май 2008, 00:04
|
Решайте проблемы по мере поступления. На первом этапе решение одно, и на мой взгляд верное. Ситуация изменилась кардинально - другое решение. Я бы избрал ресинтез, убрав винты заменил на Гамму. Что с ним будет послезавтра? - Будем решать послезавтра. Такая наша доля.
С ув. А Рыков
Хабаровск
|
[
Ответить ]
|
Re: неполный перелом шейки
Отправитель: Алтай Джафаров 30 Май 2008, 16:36
|
уважаемый коллега,
вопрос вне контекста: при введении каннюлированных
винтов как часто пользуетесь гайдом? и пользуетесь ли вы им всегда?
с уважением
Др. Алтай Джафаров
|
[
Ответить ]
|
Re: неполный перелом шейки
Отправитель: Alexander Chelnokov 31 Май 2008, 21:13
|
Простите, непонятно, что подразумевается под "гайдом" - спица-направитель, по которой вводится винт? Или что-то другое?
|
[
Ответить ]
|
Re: неполный перелом шейки
Отправитель: Алтай Джафаров 31 Май 2008, 21:15
|
Я имел ввиду параллельный направитель,
обеспечивающий параллельное расположение винтов. к
сожелениию не смог найти точное название на англ.
С Уважением
Др. Алтай Джафаров
|
[
Ответить ]
|
Re: неполный перелом шейки
Отправитель: Djoldas Kuldjanov 31 Май 2008, 21:19
|
Наверное речь идет насчет parallel guide из набора. Применяем по возможности всегда, но,
как видно на снимке, не всегда получается
паралельно.
Такие несмещенные переломы обычно для молодых резидентов, и бывают технические неточности, но в этом случае посчитали фиксацию адекватной.
Соблюдая правила, многократными попытками можно
увеличить риск стрессового перелома латерального
кортекса.
|
[
Ответить ]
|
|
Re: неполный перелом шейки
Леспович 28 Май 2008, 22:11
|
Да доктор, шикарно проведенная операция, но нельзя оперировать имбицилов, дебилов, идиотов и алкоголиков. Лучше не стало, сам себе навредил. Он хоть понял это.
А я, наверно, закатал бы его в кокситную повзку с встроенным костылем для выноса нагружаемой зоны на пояс на пол года, глядишь и пить бросит. Жаль дурака, но что-то теперь делать с ним надо.
|
[
Ответить ]
|
Re: неполный перелом шейки
Djoldas Kuldjanov 03 Июнь 2008, 02:07
|
"но нельзя оперировать имбицилов, дебилов, идиотов и алкоголиков. Лучше не стало, сам себе навредил. Он хоть понял это. А я, наверно, закатал бы его в кокситную повзку с встроенным костылем для выноса нагружаемой зоны на пояс на пол года, глядишь и пить бросит. Жаль дурака, но что-то теперь делать с ним надо"
Трудно найти дисциплированных больных, мы без права выбора, они доставляются к нам, и не все больные одинаково сотрудничают в лечебном процессе.
Конечно, кокситной повязкой не решить проблему, у нас таких пациентов много, только занимались бы наложением кокситных повязок.
Они пьют и ломаются, а мы стараемся сделать свою работу, так лучше, иначе при нашей ошибке очень легко поменяться местами, тот же вчерашний алкоголик или бездомный с помощью адвокатов за наш счет сможет себе позволить американский уголок "Рублевки".
"если отвлечся от конкретного больного,какие предпочтения американских коллег при стрессовых переломах без смещения в пожилом возрастe?"
Выбор методики фиксации зависит от качества кости и смещения перелома. Желательно фиксацию проводить минимальным и жестким методом, для перелома без смещения и без остеопении перкутанные шурупы - идеальный метод.
Пожилые с переломами со смещением лучше переносят артропластику.
И вне контекста, еще...по классификации Devas cтрессовые переломы шейки разделяются на тензионные и компрессионные. У молодых обычно происходит по типу компрессионных переломов, они более стабильные, а у пожилых по типу тензионных (дистракционных) переломов.
Молодым дисциплинированным больным можно рекомендовать щадящее консервативное лечение на костылях. Критерием являются несмещенные переломы с обязательным частыми рентгенгенологическими наблюдениями. (См. приложенный алгоритм)
Не всегда распознаются стрессовые переломы в ранних сроках, и пациенты, продолжая нагружать конечность, в большинстве случаев обращаются, когда наступает смещение.
При боли в суставе, отдающее в коленный сустав, особенно у активных молодых, и кто занимается спортом, надо обследоваться на стрессовые переломы.
Снимок сустава с внутренней ротацией покажет абнормальную шейку, хотя золотым стандартом является Магнитно-резонансая томография.
"Решайте проблемы по мере поступления. На первом этапе решение одно, и на мой взгляд верное. Ситуация изменилась кардинально - другое решение. Я бы избрал ресинтез, убрав винты заменил на Гамму. Что с ним будет послезавтра? - Будем решать послезавтра. Такая наша доля."
Правильно, ситуация изменилась, как говорят у нас теперь "different animal", надо решать проблему подвертельного перелома. При наличии различных вариантов фиксаторов, включая Страйкер Гамма 3, мы выбрали DePuy Antegrade Trachanteric Nail из-за многовариантности проксимальной фиксации и двойного изгиба. Вводится через вертел под 8 градусным углом, и есть достаточный передний диафизарный изгиб, предупреждающий пенетрацию дистального переднего кортекса.

Кто знает что дальше, мысленно готовы к проксимальной артропластике.
Djoldas Kuldjanov, MD
Department of Orthopedic Surgery
St. Louis University Medical Center
|
[
Ответить ]
|
Re: неполный перелом шейки
Отправитель: Alexander Chelnokov 03 Июнь 2008, 10:00
|
Но ведь и головка бедра сползла в варус - отчего ограничились только фиксацией подвертельного перелома, а не убрали винты и не сделали репозицию шейки?
|
[
Ответить ]
|
|
( Ответить )
|
|