вверх
отправить
поиск
админ
главная
|
Отправлено Курышев Данила 05 Июнь 2008, 00:14 ТДГБ г.Москва
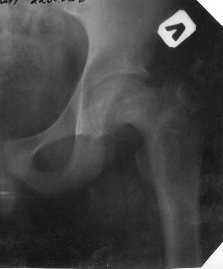
Ребёнок 14 лет. Весом под центнер. Имеющаяся рентгенологическая деформация деформация - на момент поступления. Госпитализирован ребёнок 14 лет. Мальчик, мягко говоря, крупный, гиперстенического типа сложения, ближе к десантнику. Весит 95 кг. Ожирение 2-й степени. Со слов больного - испытывает дискомфорт в области тазобедренного сустава в течение 3-х месяцев. На рентгенограммах - положение дел на момент поступления - конец мая. Укорочение конечности на 1,5 см. Ограничение внутренней ротации. Ходит, едва заметно прихрамывая на больную ногу. Эндокринологический статус находится в стадии обследования. Выполнена рентгенография в стандартных укладках, спиральная КТГ.Ясное дело, головка бедра <ушла> вниз и кзади. Пытающаяся <поймать> её шейка варизировалась и исполнила ретроверсию, создав изгиб во фронтальной плоскости. На рентгеноскопии - подвижность головки не определяется. Мальчик имеет далеко идущие планы на обустройство собственной жизни и образование. Крайне негативно относится к длительной иммобилизации и консервативному лечению. Загодя не согласен со снижением качества жизни в процессе лечения. Мнения коллег относительно дальнейшего лечения разделились. Успешность репозиции головки под наркозом - сомнительная в связи с имеющейся деформацией шейки бедра. Одни склоняются к тактике невмешательства - разгрузка больной конечности, ФЗТ , массаж, и т.д. Предлагают ждать завершения процесса <сползания> головки в условиях полной разгрузки, <тянуть> сустав до эндопротезирования как можно дольше. Другая группа коллег предлагает немедленную стабилизацию головки, что, кажется, правильно. Принимая во внимание анатомическое соотношение головки и шейки бедра, способ остеосинтеза так же вызвал массу споров, не приведших к единому и окончательному мнению. Пока дискуссия остановилась на стабилизации спицами Бека под контролем ЭОП, возможно с применением электродов для проведения электростимуляции слабыми импульсными токами. Техника проведения спиц, однозначно, будет сопряжена с техническими трудностями, обусловленными имеющейся деформацией шейки. Как бы Вы поступили, коллеги, в данной ситуации?Заранее спасибо. И прошу прощения за качество спимков. Буду отправлять их по очереди.
<
|
>
|
|
Ответить
|
Re: Юношеский эпифизеолиз
Lev Lapidus 05 Июнь 2008, 12:01
|
Здравствуйте Данила.
В такой ситуации надо делать фиксацию с помощью cannulated screw, in situ, без репозиции. Надо предотвратить дальнейшее смещение эпифиза и закрыть зону роста.
После закрытия зоны роста можно думать о каких-либо реконструкциях.
Необходим снимок второго сустава, потому что поражение может быть двухсторонним и, не исключено, что фиксировать надо оба сустава.
Успеха. Сообщите, что вы решили.
С уважением
Lev Lapidus
Pediatric Orthopaedic Unit,
Assaf Harofe Medical Center, Zerifin,Israel
|
[
Ответить ]
|
Re: Юношеский эпифизеолиз
Отправитель: Данила Курышев 05 Июнь 2008, 12:29
|
Спасибо,уважаемый Лев, за совет!
Второй сустав пока нормальный, но,каюсь, не прав, надо было не обрезать снимок. Исправлю.
Винт, конечно же, - первое что приходит в голову. Для этого всё есть. Сомнения вот в чём. Сможет ли винт или два(?) ужержать головку-шейку в таком виде или шейка будет продолжать варизироваться? Как отразится имплантация винта в, скажем так, не очень здоровую головку?
С уважением.
|
[
Ответить ]
|
Re: Юношеский эпифизеолиз
Отправитель: Lev Lapidus 06 Июнь 2008, 00:10
|
Добрый вечер Данила.
Один винт удержит головку. Его только надо правильно провести, а это не всегда просто. Делать это надо обязательно под экраном - сначала надо на коже начертить линию параллельную желаемому направлению винта в передне задней проекции. Затем тоже самое в аксиальной проекции. Место перекрещивания этих линий - точка введения винта. Эта точка почти всегда на передней поверхности бедра и довольно дистально.На мой взгляд иногда можно сместить место входа слегка проксимально, но не вкоем случае не кзади. Это очень важно. Направление винта должно быть спереди назад иначе он не попадет в головку. И еще очень важно чтобы не было пенетрации хряща даже направляющей спицей.
Успеха.
|
[
Ответить ]
|
|
Re: Юношеский эпифизеолиз
Пулатов Андрей Рифгатович 05 Июнь 2008, 14:22
|
Здравствуйте Данил. По представленным рентгенограммамам и кт срезам Вы имеете дело хронической, стабильной формой ЮЭГБК. Шеечно- эпифизарная деформация выраженная, эпифиз отклонён кзади более чем на 70 градусов, практически до упора в межвертельную ямку, что характеризует её как тяжёлую степень. В выборе метода лечения мы придерживаемся следующей схемы:
1. Смещение ЭГБ до 40° кзади - стабилизация ЭГБ одиночным винтом.( проще канюлированным, но не спицами, поскольку осложнений существенно больше
при спицевой фиксации)
2. Нестабильная форма, смещение ЭГБ более 40° кзади кзади - открытая репозиция с компенсаторной остеотомией по DUNN
3. Стабильная форма, смещение ЭГБ более 40° кзади кзади – (при 40-60°)корригирующая, межвертельная остеотомия ( Southwick, Ireland,Crawford, Крюк и др.),передняя ротационная остеотомия (от 40° и более) (Sugioka,Katano,Соколовский и др.)
В вашей ситуации, это тяжёлая форма ЮЭГБК, при которой фиксация in situ не решает проблемы связанные с анатомическими нарушениями ПОБК. Открытая репозиция при стабильной форме, опасна высоким % АНГБ и хондролиза. Пускать ситуацию на самотёк и выжидать неприемлемо. Мы бы в этой ситуации провели коррекцию путём применения передней ротационной остетомии.
Зав. детским ортопедическим отд.
Уральского НИИ травматологии и ортопедии
Пулатов А.Р.
|
[
Ответить ]
|
Re: Юношеский эпифизеолиз
Ильдар Фуатович Ахтямов 05 Июнь 2008, 16:33
|
Уважаемый Данила!
Вами представлен типичный случай юношеского эпифизеолиза ГБК. Очень характерны для него и эндокринные изменения и большой вес пациента. В данном конкретном случае возможны два варианта хирургического лечения: остеосинтез канюлировнными винтами головки бедренной кости с коррекцией проксимального отдела бедренной кости (утранение ретроторсии головки и вальгизация шейки) или без таковой. Пациенту следует объяснить, что серьезные физические нагрузки в настоящем и будущем для него исключены. После "светлого промежутка" пациенту грозит диспластический КА и артропластика.
Вопрос к уважаемому Ю. Булахтину: в каком виде может быть использован АВФ и что это даст?
АИФ
|
[
Ответить ]
|
Re: Юношеский эпифизеолиз
Отправитель: Юрий Алексеевич Булахтин 06 Июнь 2008, 16:23
|
Уважаемый Ильдар Фуатович!
Позвольте представить Вашему вниманию вариант компоновки аппарата. Подробно методика закрытой декомпрессии тазобедренного сустава в сочетании с пролонгированной стимуляцией процессов остеогенеза описана в книге ШевцоваВ.И., Макушина В.Д. "Остеохондропатия тазобедренного сустава: Руководство для врачей". - М:ОАО "Издательство "Медицина", 2007.
Откуда и взят прилагаемый рисунок.

Юрий Алексеевич Булахтин
|
[
Ответить ]
|
Re: Юношеский эпифизеолиз
Отправитель: Ильдар Фуатович Ахтямов 06 Июнь 2008, 23:10
|
Уважаемый Юрий Алексеевич!
1.Метод декомпрессии тазобедренного сустава на АВФ при аваскулярном некрозе был предложен (в т.ч. и в наших публикациях) задолго до выхода в свет книги уважаемых Владимира Ивановича и Вадима Дмитриевича.
2. Какая необходимость в разгрузке сустава при ЮЭГБК в даннолм случае? Нам нужна фиксация эпифиза и коррекция проксимального отдела с восстановлением нормальной биомеханики. На прошедшем АСАМИ в Питере доктор Д. Палей после моего доклада по возможному применению АИ в хирургии ТБс-ва задал вопрос: Зачем все это делать с АИ, если можно обойтись простыми корригирующими операциями на бедре и тазе? Изначально я воспринял вопрос в штыки, но в данном конкретном случае я с ним соглашусь. Представьте АИ на ТБс-ве по предлагаемой схеме у пациента с повышенным весом на 3 и более мес.(сколько будет срастаться остеотомия?). Кроме проблем с инфекцией и значительным снижением КЖ пациента (его требование на время лечения) мы ничего не получим. Я за использование АИ у детей с дегенеративно-дистрофическими заболеваниями ТБС в показанных случаях, но не в этом. АИФ
|
[
Ответить ]
|
|
Re: Юношеский эпифизеолиз
Курышев Данила 09 Июнь 2008, 13:46
|
Спасибо, уважаемые коллеги, за подддержку советом и обсуждение больного. Просите за молчание - перебои со связью!
Метод АВФ плохо представляю себе примеительно к данному больному, да и не согласятся на это ни он ни родители. Уход за больным будет крайне сложен, хотя метод красив. АВФ мы, безусловно рассматривали как вариант лечения, но вероятная длительность стояния аппарата и связанные с этим поблемы + реабилитация, н наш взгляд, перекрытвают возможную пользу от результата лечения с учётом вырженности деформации. Повторюсь - мальчик уже практически юноша с планами на жизнь.
Ещё раз благодарим д-ра Пулатова - очень аргументированный алгоритм!
Родители в настоящее вемя планируют обратиться в другой стационар.
|
[
Ответить ]
|
Re: Юношеский эпифизеолиз
Djoldas Kuldjanov 09 Июнь 2008, 22:56
|
Если стабильность юношеского эпифизиолиза доказана, тогда можно провести коррегирующие операции. Все открытые методы репозиции опасны высоким процентом осложнений из-за повреждения кровоснабжения головки.
Еще Trueta and Harrison, JBJS, 35-B:442, 1953; потом Sevitt and Thompson, JBJS, 47-B:560, 1965 доказали, что медиальная циркумфлекс артерия доставляет от 66-80% крови в головку бедра, поэтому важным является профилактика повреждения медиальной артерии.
Традиционные доступы не всегда гарантируют сохранность сосудов и не создают удобства для реконструктивных работ на шейке.
Группа Reinhold Ganz 1997 году заново изучила топографию кровоснабжения проксимального отдела бедра введением в сосуды жидкого раствора латекса. Результаты диссертации "An anatomical study was carried out at Bern to study the arterial tree of the medial femoral circumflex artery.(Die Arteria circumflexa femoris medialis Topographischer Verlauf, Anastomosen. Inaugral-Dissertation 1997. Ganz, K., Krugel, N)" опубликовали Gautier, E., Ganz K., Krugel N., Gill T., Ganz R.: Anatomy of the medial femoral circumflex artery and its surgical implications. J. Bone and Joint Surg., 82-B(5): 679-683, 2000.
На основе этой работы был предложен анатомичекий доступ к проксимальному отделу бедра, так называемый Digastric или Flip Trochanteric Approach.
Доступ удобен при "circumcision osteoplasty" при импинжменте, при переломах головки, лабральной патологии, при удалении медиальных остеофитов из дна вертлужной впадины, а также при коррекции проксимальной части бедра.
Характерным отличием является то, что Vastus Lateralis and Gluteus Medius остаются прикрепленным к кости. Остеотомия трохантера на уровне прикрепления мышц, потом капсулотомию делают в форме Z вместо Т, что дает лучший обзор. При вывихе головки артерия циркумфлекс защищается сухожилием обтуратора интернус.

Здесь представлен один из случаев остеотомии на шейке после остаточного явления юношеского эпифизиолиза из Flip Trochanteric доступа.
Djoldas Kuldjanov, MD
Department of Orthopedic Surgery
St. Louis University Medical Center
|
[
Ответить ]
|
Re: Юношеский эпифизеолиз
Отправитель: Курышев Данила 10 Июнь 2008, 14:13
|
Спасибо, доктор Кулджанов! Как всегда - по делу и с демнстрациями. Посмотрел, поискал - очень важная информация!
Тысяча раз спасибо!
|
[
Ответить ]
|
|
Re: Юношеский эпифизеолиз
Екатерина 30 Октябрь 2008, 15:22
|
Уважаемые специалисты,не знаю к кому обратиться,кроме как к Вам.
У меня был юношеский эпифизеолиз,сделали операцию,что-то вставляли в ногу,толи хрящ толи еще что-то,явно не металл,извиняюсь за сумбурность изложения.
Весила в 14 лет очень много киллограмм 105 при росте 160 см,тогда и делали операцию,лежала 2 месяца не вставая и полгода на костылях не наступая на ногу.
Сейчас мне 19 лет,похудела,ИМТ почти идеален.
Подскажите каких нагрузок следует опасаться и чем грозит эта болезнь в будущем.
Заранее спасибо.
|
[
Ответить ]
|
Re: Юношеский эпифизеолиз
Болатов Айдар Баурыржанович 01 Октябрь 2009, 09:51
|
Здравстуйте!Мне поставили диагноз юнешешкий эпифизеолиз головки левого бедра.Мне 14 лет.При поступлении в мае 2008 года я весил 53 кг.Чем это
вызвано!Я не падал,но занимался таэквондо.И как можно вылечится.Пдскажите пожалуиста господа специалисты!
|
[
Ответить ]
|
( Ответить )
|
|