вверх
отправить
поиск
админ
главная
|
Множественные переломы нижних коенечностей на фоне деформаций |
 |
 |
 |
Отправлено Cычёв Д. 22 Июнь 2008, 06:28
Уважаемые коллеги! Здравствуйте! Прошу у Вас совета вот по какому случаю.В нашу клинику поступила женщина 71 год. Травма в результате ДТП. (Пациентка передвигалась на инвалидной каляске и была сбита автомобилем). Диагноз: Множественная травма. Перелом нижней трети правого бедра. Перелом средней трети правой б/берцовой, малоберцовой кости, нижней трети левой большоберцовой, м/берцовой кости.Травматический шок. Со стороны внутренних органов и систем без патологии. Больная госпитализирована в реанимационное отделение, где было наложено двойное скелетное вытяжение за правую н/конечность. Левая н/конечность иммобилизована гипсовой лонгетой. Из анамнеза: больная является инвалидом 1 группы по опорно-двигательному аппарату. В детстве перенесла рахит. Осложнением которого "О" образная деформация нижних конечностей. Ограничено отведение нижних конечностей, деформирующий артроз тазобедренных и коленных суставов. В 1990 году перелом правого бедра остеосинтез пластиной. После операции больная передвигалась только на костылях или в инвалидной коляске.
Подскажите, пожауйста, какую тактику лечения избрать, каков прогноз при тех или иных вариантах лечения? Заранее Спасибо!
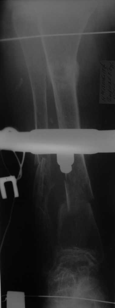
Прошу прощения за качество снимков. Р-графия производилась в реанимационном отделении передвижным аппаратом.
<
|
>
|
|
Ответить
|
Re: Множественные переломы нижних коенечностей на
Alexander Rykov 22 Июнь 2008, 21:10
|
Но передвигалась! И даже по улице! И даже сама! А сейчас - нет. При прогнозировании жизни - активная минимальноинвазивная хирургия на всех сегментах - этапно. Даже ради ухода. И учить правила движения. Вытяжение для нее - дорога в никуда. А Рыков. Хабаровск.
|
[
Ответить ]
|
Re: Множественные переломы нижних коенечностей на фоне деформаций
Сычёв Д. 24 Июнь 2008, 21:46
|
Спасибо большое за совет и предложенную тактику лечения.
Но даже при малоинвазивной методике лечения применимой для даной больной существуют следующие проблемы: выраженный остеопороз, тонкий кортикал, очень широкий канал.
Хотел бы узнать ваше мнение по поводу металлофиксаторов которые можно применить в данном случае.

Контрольные рентгенограммы прилагаю.
Заранее большое спасибо!
|
[
Ответить ]
|
Re: Множественные переломы нижних коенечностей на фоне деформаций
Отправитель: Alexander Chelnokov 25 Июнь 2008, 09:46
|
А что доступно на месте? У нас бы голени зашифтовали закрыто стержнями диаметром 12 мм с запирающими винтами 6 мм производства предприятия "ЦИТО", Москва.
|
[
Ответить ]
|
Re: Множественные переломы нижних коенечностей на фоне деформаций
Отправитель: Дмитрий Сычев 26 Июнь 2008, 10:33
|
И снова Здравствуйте! Спасибо за совет!
На месте доступно всё, даже стержни ЦИТО с небольшой задержкой.
Проблема в том, что в сагитальной плоскости угол голеней =30 градусам. Ширина канала 30.
Будет ли остеосинтез стержнем стабильный?
И возможны ли другие варианты остеосинтеза?
Заранее благодарен!
|
[
Ответить ]
|
Re: Множественные переломы нижних коенечностей на фоне деформаций
Отправитель: Alexander Chelnokov 26 Июнь 2008, 10:43
|
ДС> На месте доступно всё, даже стержни ЦИТО с небольшой задержкой.
ДС> Проблема в том, что в сагитальной плоскости угол голеней =30 градусам. Ширина канала 30.
Если при введении стержня будет видно, что из-за искривления дело идет к перфорации стенки, надо будет сделать чрескожную остеотомию на уровне кончика стержня.
ДС> Будет ли остеосинтез стержнем стабильный?
Во-1-х, интрамедулярный остеосинтез относится к методам, дающим относительную, не абсолютную стабильность. Во-2-х, стабильность неплохо обеспечивается запирающими винтами. В-3-х, несоответствие кривизны стержня и канала приводит к повышению стабильности, в-4-х, канал можно искусственно сузить введением отклоняющих (трансмедуллярных, Poller) винтов.
ДС> И возможны ли другие варианты остеосинтеза?
Конечно, возможны - любые существующие. Но оптимальным из возможных здесь однозначно является закрытый интрамедуллярный остеосинтез.
|
[
Ответить ]
|
|
Re: Множественные переломы нижних коенечностей на фоне деформаций
Артем Ровенский 25 Июнь 2008, 22:43
|
Судя по Ro-граммах у больной скорее всего Vit-D
резистентный рахит и его последствия.Имеем наблюдения лечения остеопороза у данного контингента больных активными формами Vit-D -кальцитриол,даже в таком возрасте (положытельные результаты уже через 1-2 мес.).Фиксация фрагментов возможна внеочеговым аппаратом (самонарезные стержни в аппарате Илизарова).
|
[
Ответить ]
|
( Ответить )
|
|