AOTRAUMA.ORG Центр Илизарова  

Ортопедия и травматология Общие вопросы/General questions Help Информационные технологии в медицине
 вверх
 отправить
 поиск
 админ
 главная


Перелом таза
Ортопедия и травматология Отправлено Миронов Андрей 22 Июнь 2008, 21:25
Помогите советом уважаемые коллеги. Какую тактику в данном случае избрать при данном переломе таза?
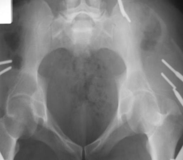
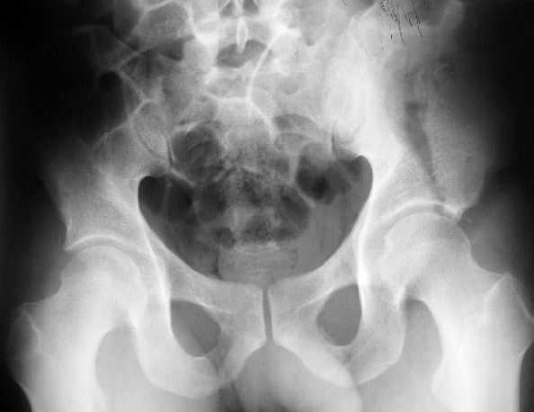
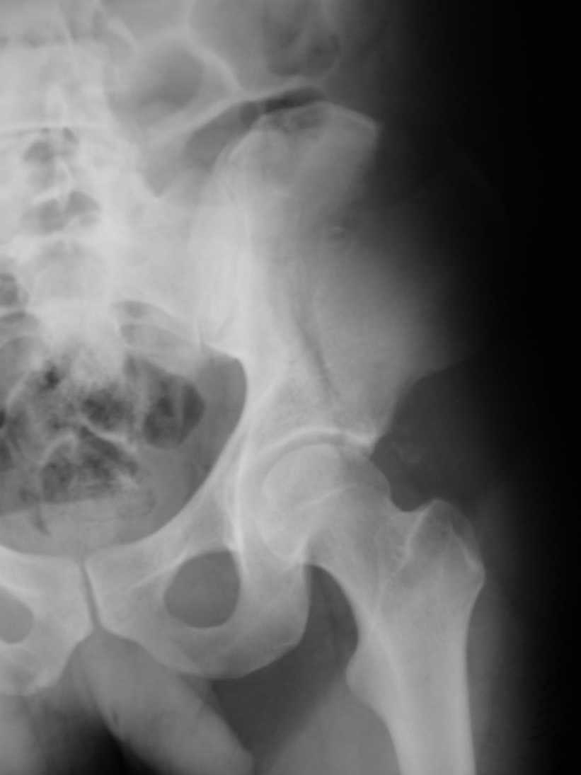
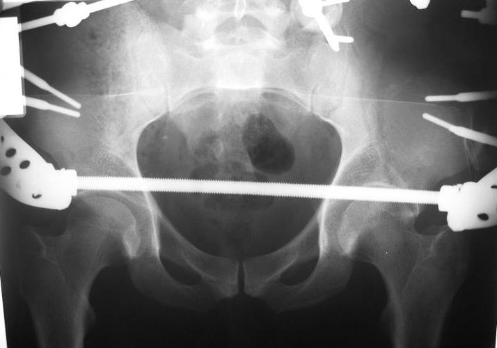
Поступил пациент после кататравмы (упал с высоты 4м). После обследования установлен Ds: Сочетанная травма. ЗТГК перелом 5-6 ребер справа. Ушиб левого леогкого. Оскольчатый перелом крыла подвздошной кости слева, со смещением. в экстренном порядке выполнена операция о/синтез таза стержневым аппаратом. Снимки прилагаются. Пациент со 2-го дня стал ходить без костылей. Из анамнеза жизни у пациента имеется гепатит В и С, с 1998г. употребляет наркотики (героин 1г в день нормальная доза). На контрольных снимках таза в аппарате смещение отломков сохраняется, да еще и стержни сломались. Подскажите ув.коллеги, как поступить в данной ситуации: оставить все как есть или добиваться репозиции в аппарате, или планировать на открытую репозицию. На сегодняшний день пациент стабилен, по анализам компенсирован. Принимает героин по другому справиться не может. С ув. Андрей

<  |  >

 

  • Сообщения о Ортопедия и травматология
  • Также Миронов Андрей
  • Связаться с автором
  • Ответить

    Re: Перелом таза
    Maxim Agalakov 23 Июнь 2008, 22:51
    А сколько времени прошло после травмы? Аппарат лучше убрать: в таком виде он не выполняет никаких функций, а сломанные стержни скорее всего воспалятся и помешают доступу, если решите оперировать открыто. Целесообразно, как мне кажется сделать проекции Judet, чтоб определиться с линией перелома и возможным вовлечением вертлужной впадины. Вообще же лечение переломов крыла аппаратом - дело достаточно утомительное и часто неблагодарное - сложно управлять ротационным смещением и отведением/приведением фрагментов крыла, можно ухудшить стояние отломков.
    Отказ от оперативного лечения, учитывая невозможность соблюдения пациентом постельного режима, может привести к формированию ложного сустава подвздошной кости, а, возможно, и к трансалярной грыже (редкость, но бывает, тема уже обсуждалась на форуме).
    С уважением, Максим Агалаков, госпиталь ВВ, Е-бург.
    [ Ответить ]

    Re: Перелом таза
    адонин 24 Июнь 2008, 00:42
    убрать аппарат и ничего не делать
    [ Ответить ]

    Re: Перелом таза
    Рунков А.В. 24 Июнь 2008, 09:54
    Уважаемый Андрей, у пациента имеется перелом передней колонны,и после наложения аппарата положение отломков ухудшилось. возможно не из-за ваших действий а за счет тяги четырехглавой мышцы. Обе ости настойчиво будут тянуть крыло вниз.
    Если отбросить социальные аспекты, инфекцию и наркоманию то несомненно лучше опереировать.
    вариант 1 в свежем случае репозиция и трансфрактурная фиксация через проколы под ЭОПом (сгибание бедра облегчит репозицию)
    Вариант 2 нет винтов - закрытая репозиция, фиксация аппаратом но на стороне повреждения вместо стержней 5-10 трансфрактурных спиц введенных через гребень
    Вариант 3 Нет Эопа, срок больше 10 дней - подвздошный доступ, репозиция щипцами (можно крокодилами за винты) фиксация двумя пластинами по внутренней стороне на разных уровнях + винты прансфрактурно. (если больной очень активный для нейтрализации мышц живота можно небольшой аппаратик набросить сверху).

    Удачи! РАВ



    [ Ответить ]

    Re: Перелом таза
    Миронов Андрей 24 Июнь 2008, 20:48
    C момента травмы прошло ровно 10 дней. Да Максим, вы как в воду глядели, у стержней появились признаки воспаления. Аппарат демонтирую.
    Алексей Владимирович, спасибо за конкретные варианты лечения, все взвешу и какой то вариант применю. В данном случае случае не было необходимости в экстренном аппаратном лечении наверно. К сожалению не сразу оценил возможности аппарата при данном переломе. Спасибо за советы всем!!!
    [ Ответить ]


    ( Ответить )

    Powered by Zope  Squishdot Powered MedLink
    Посетитель: 0181643
      "По форме правильно, а по существу - издевательство" В.И.Ленин
    ©2001-2019Orthoforum Coordinator.
    [ Главная | Отправить сообщение | Поиск | Админ ]