Ответить
|
Re: Перелом костей таза
sergadonin 15 Июль 2008, 21:31
|
Принципиально важно видеть все срезы КТ через вертлугу, так как тактика лечения будет в первую очередь обусловлена характером перелома ветрлужной впадины, во вторую - вертикальным смещением таза ( где варианты - от банального скелетного вытяжения до ВЧКО или накостного остеосинтеза - в основном зависит от пресловутой "позиции кафедры")
|
[
Ответить ]
|
Re: Перелом костей таза
sergadonin 16 Июль 2008, 07:28
|
шейку бедра? , конечно, синтезировать - либо множественными шурупами, либо, как у взрослых, DHS после закрытого ( при неудаче оного - открытого) вправления
|
[
Ответить ]
|
Re: Перелом костей таза
Гринь Алексей 16 Июль 2008, 22:23
|
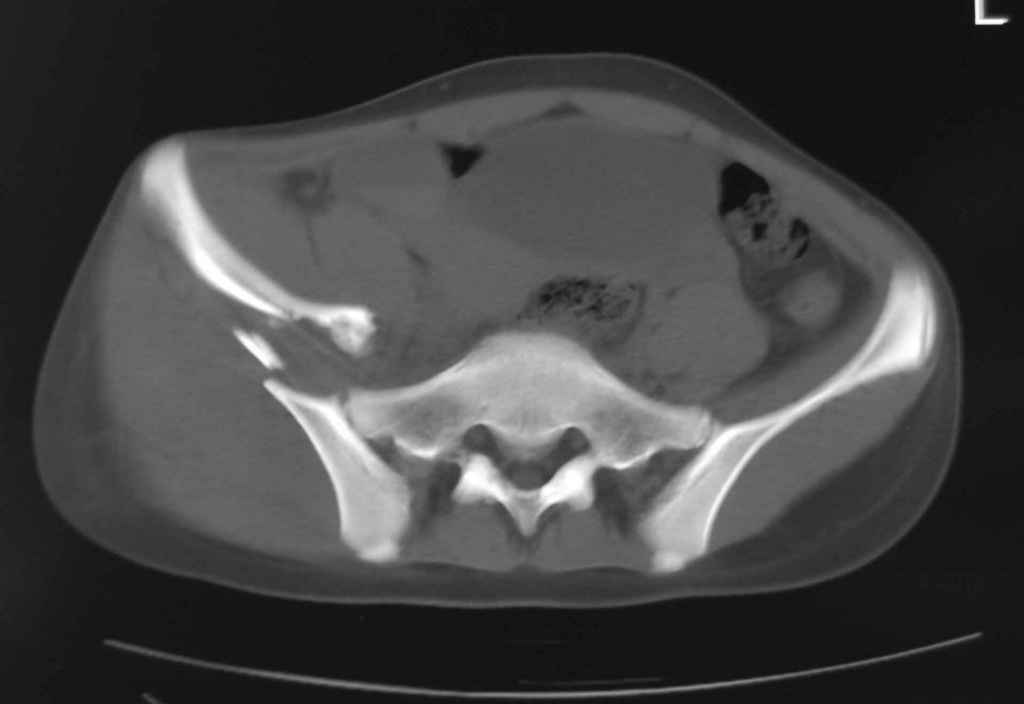
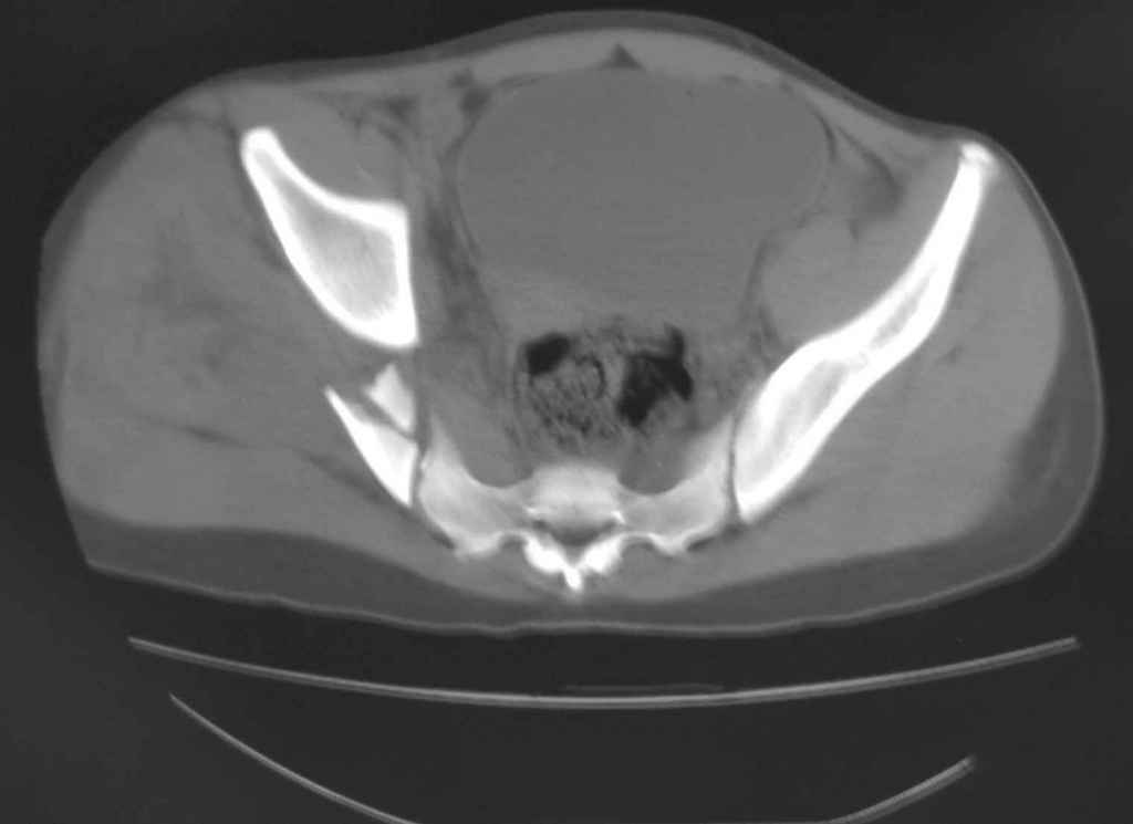
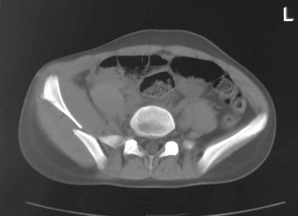
Уважаемый Алексей, на представленных Вами снимках имеется вертикально-нестабильное повреждение тазового кольца без повреждения вертлужной впадины. Учитывая это, а так же растущий возраст ребенка я бы выбрал аппарат внешней фиксации в виде кольцевой опоры, т.к. не смотря на оскольчатый перелом крыла в переднем отделе можно ввести минимум 2 стержня + 1-2 надвертлужно. Этого будет достаточно чтобы "зацепится", выполнить репозицию и дальнейшую фиксацию. Перелом шейки по моему лучше прооперировать 3 канюлированными винтами по АО.
Как бы Вы не сделали, покажите результат. С уважением Алексей, Тюмень.
|
[
Ответить ]
|
Re: Перелом костей таза
Алексей Рунков 17 Июль 2008, 13:46
|
Шейку срочно закрыто винтами.
Таз - подвздошным и падлобковым доступом раздельные рекострукционные пластины 4 штуки. Сплошную пластину как у взрослых нельзя (из-за роста придется доставать)
На понедельник или вторник сговоримся по телефону.
|
[
Ответить ]
|
Re: Перелом костей таза
Отправитель: Гринь Алексей 17 Июль 2008, 19:42
|
Алексей Владимирович,Привет!
Почему не аппаратом?
|
[
Ответить ]
|
Re: Перелом костей таза
Отправитель: Mark Eidelman 17 Июль 2008, 23:41
|
Perelom golovki bedra nado bylo operirovat srochno 2 boltami ( vtechenii 8 chasov posle pereloma!!!).
|
[
Ответить ]
|
Re: Перелом костей таза
Отправитель: Рунков А.В. 03 Август 2008, 16:48
|
Алексей, привет!
Извиняюсь за долгое молчание. Дома ремонт интернет был недоступен.
1 аппаратом сложно управлять при оскольчатом переломе крыла
2 для будущей мамы желателен максимально восстановленный таз
3 нет нужды в спецуходе,
4 легче ходить 6 мес (из-за шейки) на одной ноге
Операция была на прошлой неделе, коллеги обещали выставить результат и комментарии.
ЕЕ уже выписывать пора.
РАВ
|
[
Ответить ]
|
|
Re: Перелом костей таза
Алексей Крылосов 12 Август 2008, 21:59
|

Уважаемые коллеги огромное спасибо за советы! Больная была прооперирована А.В.Рунковым.
|
[
Ответить ]
|
( Ответить )
|