AOTRAUMA.ORG Центр Илизарова  

Ортопедия и травматология Общие вопросы/General questions Help Информационные технологии в медицине
 вверх
 отправить
 поиск
 админ
 главная


Травма кисти
Ортопедия и травматология Отправлено Сергей Ушаков 22 Сентябрь 2008, 15:42
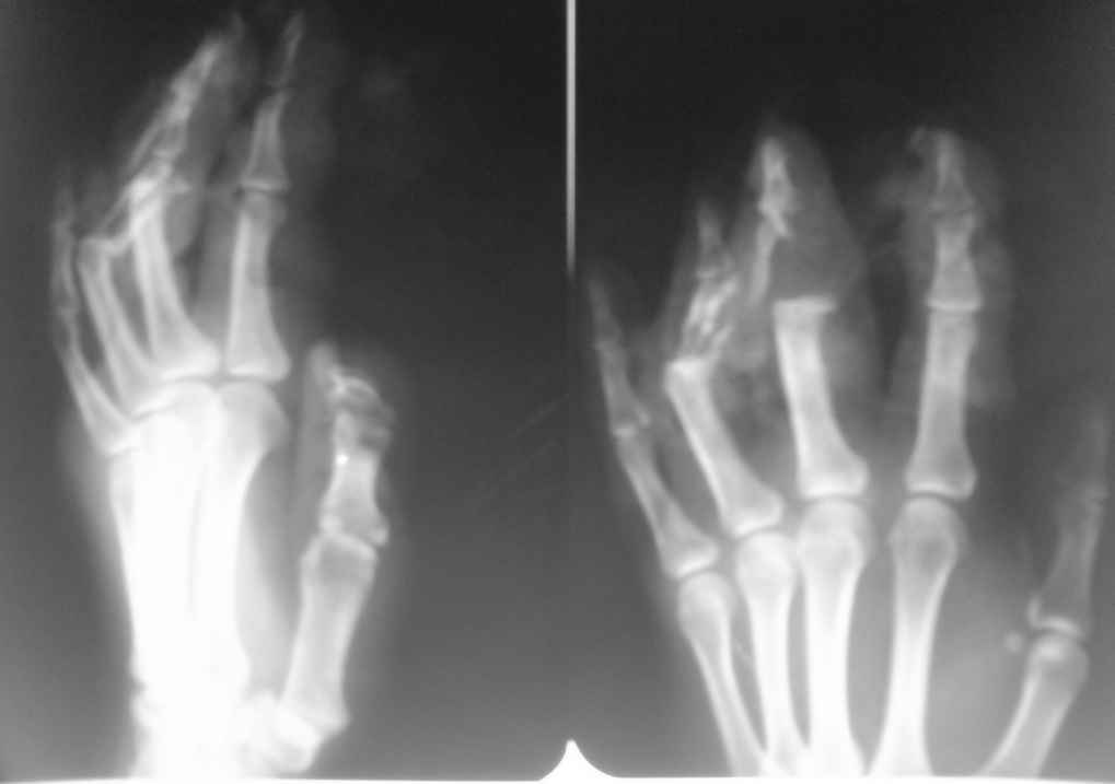
Пациентка 32 лет, врач-гинеколог. Травма электрорубанком 31.08.08
Диагноз: открытый оскольчатый перелом средних фаланг 3-4 пальцев левой кисти, травматический дефект средней фаланги 3-4 пальцев.
Травматический дефект кожи и сухожилий разгибателей 2,3,4 пальцев.
При поступлении выполненно ПХО ран, фиксация фаланг спицами в положении разгибания, синдактилия. Пласитка кожного дефекта полнослойным мостовидным лоскутом. Заживление ран первичное. Лоскут жизнеспособен.
Какова дальнейшая тактика лечения?
В отделении хиургии кисти предложено одномоментное отсечение лоскута с обеих сторон от донорского ложа в 3-4 недели без тренировки лоскута. Артродез межфаланговых суставов 3-4 пальцев. Тендопластика сухожилия разгибателя 2ого пальца.
1 Необходимо ли тренировать лоскут?
2 Отсекать мостовидный лоскут одномоментно или поочередно.
3 В какой последовательности разделять пальцы.
4 возможен ли вариант эндопротезирования межфаланговых суставов.Ушаков Сергей, 36 ГБ, Екатеринбург

<  |  >

 

  • Сообщения о Ортопедия и травматология
  • Также Сергей Ушаков
  • Связаться с автором
  • Ответить

    Re: Травма кисти
    Ivan Petrov 22 Сентябрь 2008, 17:21
    В большинстве случаев 3 недель достаточно для хорошей васкуляризации лоскута и в таком случае тренировки не требуется. Тренировка лоскута позволяет отсечь его в более ранние сроки, что делает жизнь больного более комфортной. также терировка лоскута нужна при признаках его недостаточной вторичной васкуляризации. После отсечения лоскута необходимо выполнить рентгенограмму кисти и оценить сотстояние костной ткани разрушенных фаланг и суставов. тогда и можно будет решить вопрос о реконструкции или артродезировании, но судя по первичным снимкам дефект костной ткани значительный и малоперспективен к дальнейшей установке протезов. с разделением синдактилии лучше подождать (примерно до 2 месяцев). тогда же или позже надо выполнять тенопластику и, если необходимо, замешение дефекта костной ткани. в более ранние сроки реконструктивная операция угрожает некрозом пересаженной кожи.
    [ Ответить ]

    Re: Травма кисти
    katsevman haim 22 Сентябрь 2008, 18:32
    vopros dr petrovu . kak trenirovat loskut ?
    [ Ответить ]

    • Re: Травма кисти
      Отправитель: Ivan Petrov 22 Сентябрь 2008, 20:02
      Данный лоскут можно тренировать проведя 2 тонких резиновых турникета в области основания и, начиная с 3 дня, пережимать по одной питающей ножке, постепенно увеличивая время ишемии. При правильной тренировке возможно отсечение лоскута на 14-16 сутки.

      [ Ответить ]
    Re: Травма кисти
    Soul_Rio 22 Сентябрь 2008, 18:56
    1.Эндопротезирование сомнительно.
    2. Что вы подрузамеваете под тендопластикой разгибателя?
    -Вам нужно добиться максимальной функции от II пальца, т.е. получить максимальный объем движений (сгибание/разгибание)
    3. Какой дефект сухожилия разгибателя выявлен при операции?
    -скорее всего речь будет идти о сухожильно-мышечной транспозиции.

    С уважением Soul_Rio
    [ Ответить ]

    • Re: Травма кисти
      Отправитель: Soul_Rio 22 Сентябрь 2008, 18:58
      И вообще что делает гинеколог ЭЛЕКТРОРУБАНКОМ???

      [ Ответить ]
    Re: Травма кисти
    Виноградская Мария 22 Сентябрь 2008, 23:16
    >>>Необходимо ли тренировать лоскут?
    После трех недель лоскут тренировать нет необходимости.
    >>>Отсекать мостовидный лоскут одномоментно или поочередно.
    Отсекать одномоментно. Интраоперационно убедится в достаточном кровотоке мостовидного лоскута, после отсечения одной ножки.
    >>>В какой последовательности разделять пальцы
    Разделять одномоментно, не раньше 3-4 недель (после отсечения лоскута), лучше в 6 недель. В этот период добиться максимального восстановления амплитуды движений, пассивных и по возможности активных (предполагая характер повреждения, считаю, что возможно сохранена одна из боковых порций сухожилия разгибателя II пальца, что будет достаточным для частичного восстановления активного разгибания).
    Одномоментное разделение синдактилии и тендопластика разгибателя II пальца угрожает некрозом кожного лоскута. Поэтому, реконструктивные операции (артродез межфаланоговых суставов III-IV пальцев и тендопластику центральной порции разгибателя II пальца)проводить в отсроченном периоде.
    >>>возможен ли вариант эндопротезирования межфаланговых суставов.
    В данном случае эндопротезирование не показано.
    Виноградская Мария, УНИИТО, Екатеринбург.

    [ Ответить ]

    Re: Травма кисти
    Lespovich 23 Сентябрь 2008, 11:51
    Тренеровать здесь реально нечего, т.к. способ закрытия дефекта выбран далеко не лучший (борьба за жизнеспособность пересаженного кожножирового лоскута сделает не возможным решение других не менее важных задач на 3 и 4 пальцах).
    Отсекать всё и сразу!
    Ни кокого протезирования!
    Если сохранны мягкие ткани по ладонной поверхности пальцев и дистальные фаланги компенсированы(!), то необходимы свободная аутоостеопластика-артродез ПМФС - ДМФС 3,4 с пластикой дефекта кожножировым(и)лоскутом(и). Рубец на тыле индекса обеспечит функцию разгибания в достаточной степени.
    С уважением Леспович.
    [ Ответить ]

    • Re: Травма кисти
      Отправитель: Lespovich 23 Сентябрь 2008, 12:06
      И не вздумайте артродезировать пальцы в положении разгибания!!!!!!!!!!!

      [ Ответить ]
    Re: Травма кисти
    Ivan Petrov 23 Сентябрь 2008, 16:09
    Отмечается удивительное единодушие в ответах на ваши вопросы, Сергей. относительно первичного закрытия дефекта мостовидным абдоминальным лоскутом следует согласиться с доктором Lespovich - метод не самый лучший. Хотя мы не знаем конкретной ситуации и критиковать врачей не вправе.Вопрос к доктору Lespovich. как бы в данной ситуации поступили Вы?
    [ Ответить ]

    • Re: Травма кисти
      Отправитель: Lespovich 23 Сентябрь 2008, 17:16
      В конкретной ситуации надо оказаться. Хотя могу определить 3 основных направления:
      - ПХО, формирование культей (быстрый возврат к труду и ни какой эстетики);
      - ПХО, артродез 3,4 с применением аутокости (crista il.ant.sup) и каким-то вариантом кожной пластики повреждённых 2,3,4 пальцев, выбор которого продиктовала ревизия ран(функционально - ограничения при не плохой эстетической оценке);
      - ПХО ран, позиционная фиксация остатков фаланг 3 и 4 пальцев на осевых спицах (как выполнил коллега Сергей), укрытие дефектов аллодермой С ЦЕЛЬЮ ПЕРЕСАДКИ 2х (как минимум) СВОБОДНЫХ СЛОЖНЫХ (кожно-сухожильно-костных) КОМПЛЕКСОВ ТКАНЕЙ, ВЗЯТЫХ СО СТОП с наложением микрососудистых анастомозов. Т.е. - полная реконструкция. Что делал бы я? У нас в клинике персонал подготовлен и возможности в принципе есть. А как дела обстоят дела в той клинике, где работает д.Сергей не знаю. Думаю, дело не только в том кто, но подготовлен ли персонал и есть ли должный инструмент.
      Спасибо.

      [ Ответить ]
      • Re: Травма кисти
        Отправитель: Ivan Petrov 23 Сентябрь 2008, 18:22
        Спасибо за комментарий. Мои представления о лечении подобных повреждений примерно такие же. Жаль, что микрохирургия у нас малодоступна.


        [ Ответить ]
      • Re: Травма кисти
        Отправитель: Ivan Petrov 23 Сентябрь 2008, 18:22
        Спасибо за комментарий. Мои представления о лечении подобных повреждений примерно такие же. Жаль, что микрохирургия у нас малодоступна.


        [ Ответить ]
    Re: Травма кисти
    Сергей Лексин 03 Ноябрь 2008, 14:14
    В настоящее время я лечащий врач этой пациентки. Довожу до сведения коллег: лоскут отсекли одномоментно с обеих сторон, живее живого,заживление per I. Снимки сделали (позже предоставлю). Освободили II,III,IV ПФС, назначили в них ЛФК. Движения практически с полной амплитудой. Планируем в первой половине ноября формировать II межпальцевой промежуток с одномоментной костной аутопластикой дефекта средней фаланги на III пальце (артродезы ДМФС и ПМФС на III пальце). По поводу микрохирургической техники - существует известная вероятность несостоятельности микрососудистых анастомозов даже при суперкрутой хирургической технике выполнения!!! Предложивший это коллега сам знает, что процент не мал. Как возможный итог - дефект на кисти останется дефектом + искалеченная стопа! Вариант Сергея Ушакова безпроигышный в плане результата. Ещё бы первичную костную пластку с артродезом в функционально выгодном положении и этапов было бы меньше!
    [ Ответить ]

    Re: Травма кисти
    Сергей Лексин 03 Ноябрь 2008, 14:17
    В настоящее время я лечащий врач этой пациентки. Довожу до сведения коллег: лоскут отсекли одномоментно с обеих сторон, живее живого,заживление per I. Снимки сделали (позже предоставлю). Освободили II,III,IV ПФС, назначили в них ЛФК. Движения практически с полной амплитудой. Планируем в первой половине ноября формировать II межпальцевой промежуток с одномоментной костной аутопластикой дефекта средней фаланги на III пальце (артродезы ДМФС и ПМФС на III пальце). По поводу микрохирургической техники - существует известная вероятность несостоятельности микрососудистых анастомозов даже при суперкрутой хирургической технике выполнения!!! Предложивший это коллега сам знает, что процент не мал. Как возможный итог - дефект на кисти останется дефектом + искалеченная стопа! Вариант Сергея Ушакова безпроигышный в плане результата. Ещё бы первичную костную пластку с артродезом в функционально выгодном положении и этапов было бы меньше!
    [ Ответить ]


    ( Ответить )

    Powered by Zope  Squishdot Powered MedLink
    Посетитель: 0160963
      "По форме правильно, а по существу - издевательство" В.И.Ленин
    ©2001-2019Orthoforum Coordinator.
    [ Главная | Отправить сообщение | Поиск | Админ ]