AOTRAUMA.ORG Центр Илизарова  

Ортопедия и травматология Общие вопросы/General questions Help Информационные технологии в медицине
 вверх
 отправить
 поиск
 админ
 главная


Re: Фиброзная дисплазия подвздошной кости
Ортопедия и травматология Отправлено Бехтерев Антон 05 Октябрь 2008, 23:07
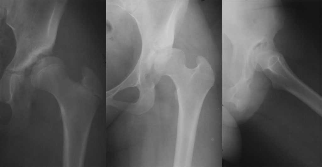
Как раз к обсуждению. Обратилась за косультацией 21-летняя девушка с жалобами на боли в левом тазобедренном суставе.
Что можно ей порекомендовать?Бехтерев Антон

<  |  >

 

  • Сообщения о Ортопедия и травматология
  • Также Бехтерев Антон
  • Связаться с автором
  • Ответить

    Re: Фиброзная дисплазия подвздошной кости
    Денис Елкин 07 Октябрь 2008, 01:18
    По-моему рентгенологическая картина вполне укладывается в пнятие "диспластический коксартроз". Поясните, на чем основан Ваш диагноз?
    Если исходить из наличия диспластического коксартроза, то, поскольку дегенеративные изменения выражены достаточно сильно (особенно отчетливо на боковой проекции), стоит рассмотреть тотальное эндопротезиование. Естесственно, эндопротез должен быть адекватным возрасту.
    [ Ответить ]

    Фиброзная дисплазия подвздошной кости
    Бен Эльайфар Мохамед 07 Октябрь 2008, 03:48
    Почему нет обзорной рентгенограммы таза? Обратите внимание на лилню Шентона, на дефект покрытия коловки, я думаю что вся проблема в крыше вертлужной впадине, и нужно просто её создать, можно подумать о остеотомии таза + костную пластику на усмотрение.
    [ Ответить ]

    Re: Фиброзная дисплазия подвздошной кости
    Бехтерев Антон 07 Октябрь 2008, 22:58
    Господа, видимо название темы ввело вас в заблуждение. Спасибо уважаемому администратору(a proros, с днем рождения!!!), что выделил отдельной темой мой первый пост, Однако это создало впечатление о затрудненности постановки диагноза. Поверьте, ни у кого не вызывает сомнений, что мы имеем дело с диспластическим коксартрозом, подвывихом головки бедренной кости. Просто момент обращения за консультацией совпал по времении с активным обсуждением схожего случая. в эту же тему я и поместил свой "ответ". Как и большинство моих коллег "взрослых" ортопедов я, к сожалению, практически никакого представления не имею об особенностях детской ортопедии. Налицо тот разрыв, на который указывал Плющев в своем труде "Диспластический коксатроз". Я считаю, что девушка слишком молода для эндопротезрования тазобедренного сустава. Что делать? Рекомендовать консервативное лечение (лечение???), готовя ее морально к грядущему эндопротезированию или есть возможности хирургической коррекции взаимоотношения суставных поверхностей, подобных периацетабулярной остеотомии.
    [ Ответить ]

    • Re: Фиброзная дисплазия подвздошной кости
      Отправитель: Денис Елкин 09 Октябрь 2008, 01:41
      Простите, коллега, а для долгого, нудного и бесперспективного консервативного лечения, или для тяжелых и тоже сомнительно перспективных в силу явных признаков артроза остеотомий (периацетабулярных или в вертельной области) она не молода?
      Сколько же Вы предложите ей ждать до (неизбежного) эндопротезирования? И на чем, собственно, основаны Ваши опасения? При адекватном подходе к планированию и проведению THA Вы сэкономите ей немало лет для нормальной жизни.
      Впрочем, нельзя не учитывать особенности пациента, которого мы, естественно, не видим и не знаем. Многое зависит от того, что ей самой нужно и, чего она сама ждет от лечения.

      [ Ответить ]
    Re: Фиброзная дисплазия подвздошной кости
    Бурков Дмитрий 08 Октябрь 2008, 09:14
    Добрый день! А что думают старшие коллеги о переацетабулярной остеотомии?
    [ Ответить ]

    Re: Фиброзная дисплазия подвздошной кости
    Алексей Демичев 26 Октябрь 2008, 17:39
    Уважаемый коллега! Из двух снимков в прямой проекции первый, вероятно, был сделан в возрасте пациентки от 15 до 18 лет (отсутсвует синостизирование головки о б/вертела), на том этапе целесообразно было выполнить ацетабулопластику типа Хиари. Второй снимок, вероятно, отражает настоящий возраст пациентки, на нем тяжелый деформирующий артроз (и конечно нестабильный сустав)с формированием уже конфликта головки и впадины по типу "bone to bone", что является показанием к эндопротезированию и учитывая молодой возраст пациентки - с использованием ревизионной ножки протеза.
    Спасибо.
    [ Ответить ]

    Re: Фиброзная дисплазия подвздошной кости
    Николай 26 Апрель 2009, 20:10
    Какие форумы вы могли бы порекомендовать по фиброзной дисплазии или же учреждения, занимающиеся этим заболеванием??? Заранее спасибо!
    [ Ответить ]


    ( Ответить )

    Powered by Zope  Squishdot Powered MedLink
    Посетитель: 0000012
      "По форме правильно, а по существу - издевательство" В.И.Ленин
    ©2001-2019Orthoforum Coordinator.
    [ Главная | Отправить сообщение | Поиск | Админ ]