вверх
отправить
поиск
админ
главная
|
Псевдоартроз бедренной кости! |
 |
 |
 |
Отправлено Роман Д. 08 Октябрь 2008, 19:04
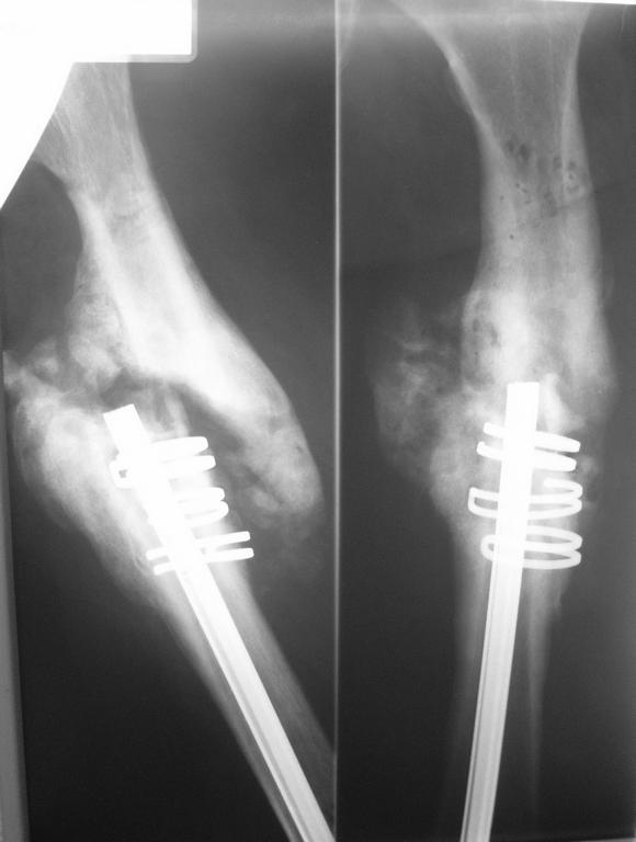
Псевдоартроз бедренной кости+остеомиелит,что делать? В декабре 2006г политравма в результате ДТП,соп.дз: Закрытый винтообразный оскольчатый перелом с/з правого бедра. Выполнена открытая репозиция, остеосинтез гвоздем Кюнчера + кольца NiTi. Через 15мес штифт сломался, был наложен АВФ, осложнением которого явился остеомиелит бедренной кости.Уважаемые коллеги, помогите пожалуйста разобраться в дальнейшей тактике лечения, прогнозе. заранее спасибо!
<
|
>
|
|
Ответить
|
Re: Псевдоартроз бедренной кости!
Александр Плащинский 12 Октябрь 2008, 07:56
|
Уважаемый Роман, в нашем регионе, до недавнего времени, в некоторых больницах, любили делать остеосинтез кольцами из NiTi, поэтому есть некоторый опыт лечения осложнений после данных операций.
1 ЭТАП: Удаление колец и гвоздя, секвестрэктомия. (кольца из NiTi действуют как удавка на кость, вызывая остеонекроз, поэтому нежизнеспособная костная ткань, скорее всего, будет находиться в зоне нахождения колец). АВФ. После купирования процесса воспаления - дозированное устранение смещения отломков в аппарате, для подготовки второго этапа.
2 ЭТАП: Остеосинтез блокируемым гвоздем. Мы обычно используем EXPERT.
|
[
Ответить ]
|
Re: Псевдоартроз бедренной кости!
Александр Плащинский 12 Октябрь 2008, 08:26
|
Забыл отметить важную деталь! Когда будете удалять кольца возьмите большие многорычажные кусачки. Металл очень крепкий, а не перекусывая кольца удалить последние будет очень сложно. Такие операции обычно сопровождаются "непланируемой изначально" кровопотерей - лучше иметь для данного больного в запасе кровь и плазму.
|
[
Ответить ]
|
Re: Псевдоартроз бедренной кости!
Alexander Chelnokov 12 Октябрь 2008, 11:10
|
Интересный пациент. Подробности бы насчет остеомиелита - локализация, распространенность... И снимок бедра с обоими суставными концами.
На мой взгляд, последовательность задач здесь такая - дозированно восстановить ось и длину, минимально инвазивно, насколько получится, убрать остаток стержня из дистального отломка, надежно
стабилизировать, лучше с антибактериальным покрытием.
Гвоздь канюлированный, так что красиво бы сначала аппаратом восстановить ось, сформировать канал, потом засунуть в гвоздь проводник с шариком на конце, заклинить его вторым проводником и
выдернуть гвоздь проксимально. Журавль в небе, таксть.
Или, более доступно, после перерастяжения аппаратом дистальный отломок временно установить на варус, чтобы кончик стержня смотрел кнаружи, и почти закрыто, если есть ЭОП, секвестральными щипцами извлечь стержень. Далее сформировать канал и заштифтовать.
Вы не пишете о собственных планах и возможностях, поэтому советы ориентированы скорее на наши условия, а не на Ваши. Ждем подробностей.
|
[
Ответить ]
|
( Ответить )
|
|