Ответить
|
Re: МОС бедра, сустава Лисфранка.Тактика?
Ivan Petrov 29 Октябрь 2008, 14:46
|
Уважаемый Петр. Уточните, пожалуйста, некоторые детали:
1.на снимке №3 (стопа в боковой проекции с винтами) складывается впечатление о сохраняющемся подошвенном подвивихе в суставе Лисфранака или это искажение при обработке фото?
2. какой был штифт (с комрессирующей системой или без)? Гвоздь ставился без рассверливания? Были проблемы с проксимальным блокированием (нижний винт)? Нет ли у больного сильно избыточной массы тела?
Я бы наложил аппрат Илизарова на стопу, убрал винты, устранил подвывих в суставе Лисфранка(если он есть). Аппарат позволил бы больному с 3-5 суток опираться на правую ногу, значительно улучшив качество его жизни. Учитывая, что гвоздик тонковат, ставился, скорее всего, без рассверливания и на перелом мыщелков, нагрузку на левую ногу надо ограничить на 2 месяца. В этот период активная безнагрузочная ЛФК до максимального восстановления движений в коленном суставе. Затем дозированная нагрузка с доведением ее до полной к 3 месяцам. С 3,5-4 месяцев – динамизация. Рентгеноконтроль – 1 раз в 4 недели.
Если к 6 месяцам не увидите хорошей консолидации, то можно выполнить замену штифта на антеградный с обязательным рассверливанием канала и максимальным диаметром штифта, и, если есть возможность с компрессирующим устройством (напр. Страйкеровский).
|
[
Ответить ]
|
Re: МОС бедра, сустава Лисфранка.Тактика?
Отправитель: Петр 29 Октябрь 2008, 23:18
|
Уважаемый Ivan Petrov, дело в том что пациента оперировали в другой области и по "2. какой был штифт (с комрессирующей системой или без)? Гвоздь ставился без рассверливания? Были проблемы с проксимальным блокированием (нижний винт)?" информации нет. Исходя из Ro я считаю что проблемы с нижним винтом были поэтому один кортикальный расверлен шире чем диаметр винта.
Вправление и фиксация лисфранка было там же, на оригинальных снимках подвывиха нет.
|
[
Ответить ]
|
|
Re: МОС бедра, сустава Лисфранка.Тактика?
Alexey Semenisty 29 Октябрь 2008, 15:33
|
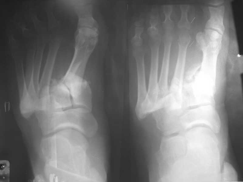
Здравствуйте , уважаемые коллеги. Обратился пациент, мужчина 42лет. для дальнейшего
лечения. Травма 11.09., ДТП.
15.09 проведено оперативное лечение (Блокирующий стержень левого
бедра - статическая система. Открытое вправление вывиха в суставе
Лисфранка и фиксация мет. фиксаторами.)
Hello, Петр!
1. По бедру... Стержень конечно тонковат, торчит в колено..не совсем ясно, что там с прокстимальным блоком(... Если не будет нагрузки, получите замедленное стащение, потом когда датите нагрузку получите перелом винтов (в лучшем случае), штифта - в худшем(
То, что перелом распространяется на сустав не имеет никакого значения и влияния (в данном конкретном примере) для отсрочки динамизации и нагрузки.
2- При такой Ro - картине будет ложный сустав или рефрактура после
удаления стержня, и поэтому идти на пластину с костной пластикой.
Сорри, коллега, эту фразу я ваще не понял... Сомневаетесь в перспективах сращения? что ж, вполне обоснованно! Просто перештифтуйте ЗАКРЫТО более массивным штифтом, с рассверливанием и заблокируйте динамично..
2. О суставе Лисфранка...
По суставу Лисфранка : 1- 8 -9 нед . полный покой в гипсовой шине,а
потом дозированная нагрузка. 2- Сейчас (на 7 нед.) пригипсовать
каблук под пятку и давать дозированную нагрузку, и на 12 нед,
Собственно такая фиксация сустава после вывизи никакой гипсовой иммбилизации не подразумевает! Через 6 недель винты можно удалять и разрешать полную нагрузку.... Прошло уже 7 недель, на сколько я понял, .....
Резюме: Удаляйте сейчас винты из стопы, динамизируйте стержень на бедре..Дайте нагрузку... Обсудите с больным вероятность и необходимость возможной реоперации на бедре, не дожидаясь таких осложнений как несращение, рефрактура и/или перелом штифта...
IMHO
С уважением, А.Семенистый.
ГКБ № 13, Москва.
|
[
Ответить ]
|
Re: МОС бедра, сустава Лисфранка.Тактика?
Отправитель: Ivan Petrov 29 Октябрь 2008, 20:17
|
Уважаемый Алексей.
Ситуация несколько сложней, чем представляется на первый взгляд.
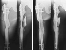
>>>Стержень конечно тонковат, торчит в колено...
Видимо не просто так он торчит, а его специально не добили, чтобы мыщелки "зацепить" на обе стяжки.
>>>Если не будет нагрузки, получите замедленное стащение...
Мне доводилось раз 5 вести переломы диафиза бедра со смещением консервативно (скелетное вытяжение, кокситная повязка). Без нагрузки в течение 4-5 месяцев все прекрасно срастается, даже при неидеальной репозиции.
Кроме того, есть рекомендации АО ("Принцип био-
логичного остеосинтеза заключается в минимизации ущерба биологии вследствие хирургического вмешательства и контакта с имплантатом. Это достигается за счет менее точной репозиции и менее
жесткой фиксации")и картинки в ряде классических руководств (вложеннный рисунок)

А вот если дать раннюю нагрузку на мыщелковые переломы бедра, может случится беда.
>>>Просто перештифтуйте ЗАКРЫТО более массивным штифтом, с рассверливанием и заблокируйте динамично.
А вот это до полной консолидации мыщелков сложновато. надо сначала влезть в коленный сустав, удалить гвоздь, выполнить ретроградное рассверливание и введение толстого штифта, не развалив при этом мыщелки. Коленка может "обидиться" на повоторное штифтование. Если штифтовать антеградно опять возникает вопрос: надо ли предварительно фиксировать мыщелки винтами?
Согласен, что пластина с костной платикой - это лишнее.
В ведении даннного больного важно, если консолидация не наступает в ожидаемые сроки, своевременно поменять имплантат до его поломки. имплантатов
|
[
Ответить ]
|
Re: МОС бедра, сустава Лисфранка.Тактика?
Отправитель: Alexey Semenisty 30 Октябрь 2008, 08:10
|
"Мне доводилось раз 5 вести переломы диафиза бедра со смещением консервативно (скелетное вытяжение, кокситная повязка). Без нагрузки в течение 4-5 месяцев все прекрасно срастается, даже при неидеальной репозиции."
Видите ли, Ivan Petrov, переломы-то неплохо срастаются по биологическим законм... Хирургия которую мы делаем далеко не всегда более биологична, чем консервативное лечение... Да, срастаются бедра, голени, плечи и ключицы и др. даже с большими смещениями и без операций. Но ведь срастить перелом не самоцель. Интересует еще и возможность ранней реабилитации, ранней функции, ранней нагрузки...
Спасибо, что познакомили с рекомендациями АО...
"до полной консолидации мыщелков сложновато. надо сначала влезть в коленный сустав, удалить гвоздь, выполнить ретроградное рассверливание и введение толстого штифта, не развалив при этом мыщелки. Коленка может "обидиться" на повоторное штифтование."
Что сложного-то? Сначала не гвоздь надо удалить, а минуя гвоздь пару стягивающих винтов провести... Любой ретроградно вводимий бедренный штифт будет иметь минимальный диаметр этого конца 12 мм... Уже сейчас имеется вход,, который болжен был формироваться сверлом или шилом 13-14 мм. Так что, взяв достаточно "толстый" штифт 12 мм и рассверлив истмус до 13 мм, никакой дополнительной травмы мыщелкам и колену вы не нанесете. На выступающий конец штифта коленка скорее "обидется").
"А вот если дать раннюю нагрузку на мыщелковые переломы бедра, может случится беда."
Какая, если простой суставной перелом стянут винтами, и в условиях анатомичной репозиции и межфрагментарной компрессии губчатая кость за 7 недель уже должна была срастись???
С уважением, А.Семенистый.
ГКБ № 13, Москва.
|
[
Ответить ]
|
Re: МОС бедра, сустава Лисфранка.Тактика?
Отправитель: Петр 30 Октябрь 2008, 13:51
|
Ув. А.Семенистый, Вы считаете что в данном случае есть необходимость замены штифта в ближайшее время не дожидаясь динамизации системы, и нагрузку на бедро давать с новым стержнем?
|
[
Ответить ]
|
Re: МОС бедра, сустава Лисфранка.Тактика?
Отправитель: Петр 30 Октябрь 2008, 19:49
|
Какой смысл сейчас менять стержень, если в ближайшее время будет проведена динамизация системы?
|
[
Ответить ]
|
Re: МОС бедра, сустава Лисфранка.Тактика?
Отправитель: Alexander Chelnokov 30 Октябрь 2008, 22:27
|
Предложение Алексея Семенистого сделать реостеосинтез прямо сейчас приводит меня в смущение ума. Динамизировать - да, уже можно. И нагружать уже можно. Почему не дать возможность срастаться как есть хотя бы в течение месяцев 6? Стержень уже в бедре, несостоятельности фиксации нет. В колено он торчит не тревожно. Что указывает на то, что прогноз - настолько заведомая неудача, что уже пора думать о столь раннем реостеосинтезе?
|
[
Ответить ]
|
Re: МОС бедра, сустава Лисфранка.Тактика?
Отправитель: Alexey Semenisty 31 Октябрь 2008, 16:23
|
Чутье, Саша! Интуиция!... панимаю што не доказательно)))
С уважением, А.Семенистый.
ГКБ № 13, Москва.
|
[
Ответить ]
|
Re: МОС бедра, сустава Лисфранка.Тактика?
Отправитель: Ivan Petrov 31 Октябрь 2008, 11:03
|
>>>Какая, если простой суставной перелом стянут винтами, и в условиях анатомичной репозиции и межфрагментарной компрессии губчатая кость за 7 недель уже должна была срастись???
Уважаемый Алексей. Я рад, что Вы знаете сроки консолидации переломов и имеете твердые самостоятельные взгляды на лечение данных повреждений.
Всемирно известные ортопеды почему-то менее категоричны в оценках.
Открыл 3 первые попавшиеся книги:
1.Campbell's Operative Orthopaedics, 11th Edition 2008 : «We usually allow touch-down weight bearing with most locked intramedullary nails used for fixation of fractures without intraarticular extension. With intraarticular fractures, weight bearing is not allowed for 3 months, but early motion is encouraged».
2.Master Techniques in Orthopaedic Surgery: Fractures, 2nd Edition 2006 Глава 23
«Supracondylar Femur Fractures: Open Reduction Internal Fixation»:
«The postoperative rehabilitation protocol includes restricted weight bearing for 12 weeks. During that time, patients are allowed unrestricted passive and active knee range of motion combined with extension bracing».
3. «АО Principles of Fracture Management»:
«Patients with intercondylar fractures are not allowed full weight bearing for at least 12 weeks».
Здесь смысл не в консолидации перелома, а в сроках регенерации суставного хряща, в той или иной степени страдающего при таких повреждениях.
|
[
Ответить ]
|
Re: МОС бедра, сустава Лисфранка.Тактика?
Отправитель: Alexey Semenisty 01 Ноябрь 2008, 07:02
|
Здесь смысл не в консолидации перелома, а в сроках регенерации суставного хряща, в той или иной степени страдающего при таких повреждениях.
Вы можете предоставить ссылки на убедительные доказательства возможности регенерации гиалинового хряща в принципе?
Для простого суставного перелома (В1, С1 и С2), т.е. без вдавления и субхондрального дефекта, анатомично отрепонированного и стабильно фиксированного по принципам межфрагментарной компрессии, какой физический смысл имеет длительная разгрузка ??? После анатомичной репозиции повреждение хряща будет представленно тонкой линией, и все. Причем никогда не наступит сращения или регенерации именно гиалинового хряща по линии его перелома, хоть вы сколько не разгружайте и не вводите в сустав всякую ерунду под общим названием хондпрпротекторы!
Напротив, нормальный гиалиновый хрящ существует в условиях нагружения. длительная разгрузка может стать причиной его дегенеративных изменений....
С уважением, А.Семенистый.
ГКБ № 13, Москва.
|
[
Ответить ]
|
|
Re: МОС бедра, сустава Лисфранка.Тактика?
А. Ситник 29 Октябрь 2008, 22:51
|
По стопе тяжело судить из-за качества снимков, а на бедре - что мешает произвести динамизацию прямо сейчас? У меня была пациентка примерно при такой картине гвоздь диаметром 9 мм введенный ретроградно просто согнулся градусов на 30. Потом ее оперировал еще 3 раза только на том бедре. Какой смысл ожидать несращения при явном диастазе, а потом активно с ним бороться?
P.S. А все ли в порядке с надколенником?
|
[
Ответить ]
|
Re: МОС бедра, сустава Лисфранка.Тактика?
Отправитель: Петр 29 Октябрь 2008, 23:30
|
Сейчас идет 7-я неделя и я думаю,что динамизаию делать рановато,тем более вопрос о дозированной нагрузке пока открыт так как бедро левое,а стопа правая и он не сможет дозировать нагрузку.
Как Вы считаете коллеги,насколько оптимальна одномоментная динамизация и удаление фиксаторов из сустава Лисфранка,а до этого времени разработка суставов?
|
[
Ответить ]
|
|
Re: МОС бедра, сустава Лисфранка.Тактика?
Корышков Николай 30 Октябрь 2008, 00:08
|
Тактика активная. В эти сроки и при имеющейся рентгенологической картине целесообразно активизировать пациента, начав со сгибания коленей и голеностопов в положении лежа. Заниматься ежедневно, получив 90 градусов в обоих суставах (желательно за 1-1,5 недели), продолжить нагружать конечности с опорой их в поверхность койки и подниманием таза. Хорошо, если страдалец справится с этой задачей за 1,5-2 недели. Далее вертикализация тела и дозированная нагрузка на обе конечности с костылями, снятие гипсовой повязки при положительной клинической картине,рентгенконтроль.
Целесообразно применение флеботоников (детралекс) и эластическое бинтование, хотя бы для правой стопы и голени до колена. Надеюсь, что миокальцик-спрей, пациент уже получает.
К общему сроку 2-2,5 месяца после операции есть шанс убедиться в активности человека к участию в своей судьбе, и снять гипсовую повязку. Эластбинтование или компресстрикотаж на обе конечности и в путь.
Вопрос об удалении металла при соответствующей рентгенкартине сращения перелома бедра, сустав Лисфранка пойдет замыкаться при картине фиброзного анкилоза, возможен и перелом винтов. Удаление их к 8-10 месяцам после первой операции.
С уважением Николай Корышков.
|
[
Ответить ]
|
Re: МОС бедра, сустава Лисфранка.Тактика?
Отправитель: Петр 30 Октябрь 2008, 14:00
|
Ув. Николай Корышков, у пациента есть сгибание в левом коленном суставе 90 градусов. Правый голеностоп в процессе разработки.
Вы считаете что фиксаторы из Лисфранка стоит удалять по истечению 8-10 месяцев и не ранее?
|
[
Ответить ]
|
Re: МОС бедра, сустава Лисфранка.Тактика?
Отправитель: Alexander Chelnokov 30 Октябрь 2008, 19:16
|
Присоединяюсь к предложениям об активизации. Ждать уже нечего, пора ходить. А гвоздь в бедре уже бы динамизировать.
> Целесообразно применение флеботоников (детралекс) и эластическое бинтование, хотя бы для правой стопы и голени до колена. Надеюсь, что миокальцик-спрей, пациент уже получает.
А чем обоснована целесообразность флеботоников после переломов? О проблемах с венами даже намека не было. И миакальцик тут какую проблему решит?
> К общему сроку 2-2,5 месяца после операции есть шанс убедиться в активности человека к участию в своей судьбе, и снять гипсовую повязку. Эластбинтование или компресстрикотаж на обе конечности и в путь.
Эластическая компрессия применяется для профилактики тромбоэмболических осложнений у лежачих больных, или на период сниженной двигательной активности. Посе эндопроотезирования дней на 30, скажем. Тут прошло больше полутора месяцев, и активность не снижается, а наоборот - бинтовать пора то есть заканчивать, а не начинать?
|
[
Ответить ]
|
Re: МОС бедра, сустава Лисфранка.Тактика?
Отправитель: Петр 30 Октябрь 2008, 20:11
|
Вопрос о динамизаци. Динамизировать убрав один винт? При наличии такого диастаза и молодой мозоли не будет ли проблем со вторым винтом в последствии? Или динамизировать убрав два винта, и не возникнет ли при этом нестабильности места перелома?
|
[
Ответить ]
|
Re: МОС бедра, сустава Лисфранка.Тактика?
Отправитель: Alexey Semenisty 31 Октябрь 2008, 16:29
|
Петр, в своих вопросах Вы же сами себе на них и отвечаете )
Проблема даже не в динамизации, которая должна как бы чуть уменьшить стабильность, сбросить шунт нагрузки со штифта на кость, что приведет к стимуляции сращения... Здесь же есть и диастаз, и и так недостаточная стабильность...
С уважением, А.Семенистый.
ГКБ № 13, Москва.
|
[
Ответить ]
|
Re: МОС бедра, сустава Лисфранка.Тактика?
Отправитель: Петр 31 Октябрь 2008, 18:35
|
Наличие диастаза не говорит о наличии нестабильности. Я задавал вопрос о появлении нестабильности, которая может ли возникнуть в результате удаления обоих верхних винтов? Наличие овального окна в стержне по моему мнению может не хватить дя приближения отломков, или компресии на мозоль будет достаточно чтобы окрепла мозоль во всем диастазе?
|
[
Ответить ]
|
Re: МОС бедра, сустава Лисфранка.Тактика?
Отправитель: Гринь Алексей 01 Ноябрь 2008, 16:05
|
Уважаемый Петр, согласен с Алексеем Семенисты в том, что операции должны делаются не только для сращения переломов, а преследовать основной целью ранюю активизацию пациента. Предложение Алексея удалить фиксирующие винты в стопе и динамизировать штифт считаю вполне обоснованными. Опасения ротационной нестабильности после динамизации преувеличены, 6 недель достаточно для формирования мягкой мозоли которая удержит от этого смещения. Дли осевой нагрузки повреждение хрящи в межмыщелкловой зоне ни какой роли не играет. К тому же, ведь Ваш пациент сразу не побежит и не запляшет, а будет выполнять (я надеюсь) Ваши рекомендации: ходить с дополнительной опорой на котыли. Если боитесь, что после удаления винтов из стопы наступит рецидив вывиха, фиксируете сапожком. Но нагрузку дать ПОРА! С уважение Алексей.
|
[
Ответить ]
|
|
Re: МОС бедра, сустава Лисфранка.Тактика?
docray 31 Октябрь 2008, 22:16
|
Любопытно докторам, невесело пациенту.
Обсуждение понравилось.
Пётр считаю, что через 2-2,5 месяця после операции снимать иммобилизацию со стопы, недельку-вторую походит- удалить винты.
А с бедром поступить как поступил бы Кутузов-ЖДАТЬ. Наполеон в России( стержень в бедре),дело сделано. Динамика сама даст ответы.Есть вероятность поломки фиксаторов при нагрузке, есть и вероятность формирования ложняка без нагрузи.
Пусть нагружает дозировано без динамизации через 3-4 месяца( за это время стопа будет более менее в норме), а рентген бедра на 5-6 месяцее покажет истинную силу железа и внутренние силы организма.Держите в курсе динамики.
|
[
Ответить ]
|
Re: МОС бедра, сустава Лисфранка.Тактика?
Дедок М.А. 01 Ноябрь 2008, 21:12
|
1. А насколько адекватен пациент?
2. Средний срок консолидации бедра 4- 8 (!) месяцев. Куда мы спешим?
3. Любая операция не должна быть тяжелее заболевания. К чему лишняя хирургическая агрессия, разве что "почесать руки" или заработать на ней или фиксаторе?
Возможно вы сочтете меня "архаичным", но по сути, любая операция это "шаг отчаяния". Я очень уважаю школу АО и старюсь придерживаться её принципов, но по- моему и палку тоже перегибать нельзя.
С уважением Дедок М.А.
|
[
Ответить ]
|
Re: МОС бедра, сустава Лисфранка.Тактика?
Michael Berenstein 02 Ноябрь 2008, 00:18
|
Дорогие коллеги!
Пациенту совсем не весело.
Основная проблема у данного пациента не перелом бедра, который так или иначе срастется даже если не делать ни чего а только терпеливо ждать. А вот нагрузку дать на ногу трудно и больно. Повреждение стоп на много более серьезная проблема. Сустав Лисфранк вывихнут. В таком состоянии я предлагаю активное лечение - удалить шурупы и выполнить формальный артродез. Не важно, какая фиксация - шурупы, фиксаторы с памятью формы или спицы, главное что бы срослось. После операции можно разрешить наступать на пятку в гипсовом сапоге, что и поможет консолидации бедра. Я бы не стал проводить динамизации путем удаления шурупов - шурупы тонкие и не очень мешают осевой подвижности, но с другой стороны предотвращают ротационное смещение.
Удачи
М.Беренштейн
|
[
Ответить ]
|
Re: МОС бедра, сустава Лисфранка.Тактика?
Отправитель: Odessky Jacob M.D. 02 Ноябрь 2008, 09:04
|
Присоединяюсь к мнению д. Беренштейна!
С ув!
|
[
Ответить ]
|
Re: МОС бедра, сустава Лисфранка.Тактика?
Отправитель: Ivan Petrov 02 Ноябрь 2008, 11:06
|
Присоединяюсь к 2 последним мнениям. Фиксацию стопы я бы выполнил аппраратом Илизарова. На стопе это негрмоздкая конструкция, хорошо переностся больным, позволяет раннюю нагрузку в отлчиие от других способов формирования артродеза. Предусмотреев узел для продольной компресии Вы гарантировано сформируете артродез сустава. Считаю, что динамизация штифта все-таки понадобится, но нескольколько позже, чем обычно.
In light of adequate evidence of the benefits of static locking (RJ Brumback, JP Reilly, A Poka, RP Lakatos, GH Bathon, and AR Burgess
Intramedullary nailing of femoral shaft fractures. Part I: Decision-making errors with interlocking fixation J Bone Joint Surg Am. 1988;70:1441-1452) is recommended static locking of all femoral fractures from below the lesser trochanter to the supracondylar area, with dynamization reserved for those fractures that have failed to show healing at 4 to 6 months (Robert A. Winquist.Locked Femoral Nailing. Am Acad Orthop Surg 1993;1:95-105).
|
[
Ответить ]
|
|
( Ответить )
|
|