AOTRAUMA.ORG Центр Илизарова  

Ортопедия и травматология Общие вопросы/General questions Help Информационные технологии в медицине
 вверх
 отправить
 поиск
 админ
 главная


застарелый вывих бедра
Ортопедия и травматология Отправлено Maxim Agalakov 08 Ноябрь 2008, 10:42 ГВВ, Е-бург
Уважаемые коллеги. Пациент 30 лет 3 года назад в результате травмы получил травматический дефект нижних конечностей до в/3 голеней, был пропущен вывих бедра.
В настоящее время очень неплохо ходит на протезах, движения в неоартрозе близки по объему к здоровой стороне. Основная жалоба - выраженная боль при ходьбе. планируем двухэтапное эндопротезирование - задним доступом мобилизовать проксимальный отдел бедра, резецировать шейку, аппаратом низвести бедро(головку оставить там где она есть, так как больших дефектов не видно(может пригодится в последующем?)). Вторым этапом бесцементное эндопротезирование. Насколько такой вариант реалистичен? Доступ для второго этапа? Может быть другие варианты?С уважением, Максим

<  |  >

 

  • Сообщения о Ортопедия и травматология
  • Также Maxim Agalakov
  • Связаться с автором
  • Ответить

    Re: застарелый вывих бедра
    Коваленко А.Н. 11 Ноябрь 2008, 12:59
    Здравствуй, Максим. У пациентов с врождеными вывихами бедра низведение в АВФ получается без отсечения головки и даже без релиза. срок в АВФ примерно 2 недели. Даже если вы планируете первый этап, открыто отсекать головку и оставлять на месте, мне думается неверно. Если так случится, а это весьма вероятно,что головка потребуется для костной пластики, то придется добираться до нее повторно, возникает вопрос"зачем?". На счет доступа, ихмо, предпочтительней задний доступ коль вывих по КТ кзади.
    С уважением, Коваленко А.Н.
    [ Ответить ]

    • Re: застарелый вывих бедра
      Отправитель: Maxim Agalakov 11 Ноябрь 2008, 19:38
      с врожденными можт быть, с приобретенными, тем более 3 года- вряд ли, 2-3 месяца у взрослых -уже сложно. То, что, головка потребуется для костной пластики - скорее маловероятно (сегментарный дефект менее 25%, низкопрофильная чашка скорее всего подойдет), а ревизия ему потребуется скорее всего, там ее можно и использовать.
      С уважением, максим

      [ Ответить ]
      • Re: застарелый вывих бедра
        Отправитель: Коваленко А.Н, 11 Ноябрь 2008, 21:39
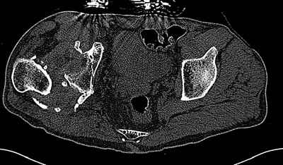
        На последнем срезе КТ задний край практически отсутсвует по сравнения со здоровой стороной. Разумеется, что это плоскостное изображение, но головка вывихнулась не только в плоскостную щель захваченную на КТ. Если вы считаете, что удастся установить туда чашку даже низкопрофильную, остается пожелать вам успехов. Но перед этим можно смоделировать установку чашки на скиаграммах КТ.
        Да, еще хотел спросить, почему вы считаете что низведение у пациентов с врожденным вывихом легче, чем у пациентов с приобретенным?

        [ Ответить ]
        • Re: застарелый вывих бедра
          Отправитель: Maxim Agalakov 12 Ноябрь 2008, 18:35
          За пожелание успехов - спасибо, думаю это пригодится, не очень понял про плоскостную щель, специально предоставил срезы на уровне свода - он цел, дефект заднего края ниже, за счет заглубления он будет еще меньше, по данным 3d - должно получиться.
          >Да, еще хотел спросить, почему вы считаете что низведение у пациентов с врожденным вывихом легче, чем у пациентов с приобретенным?

          причина другая , при травматическом вывихе образуется обширная гематома, которая вместе с фрагментами заднего края образует плотный конгломерат, который захватывает седалищный нерв, ягодичные сосуды. В такой ситуации закрытое впаравление может оказаться менее прогнозируемым, но более травматичным и рискованным, без очевидных плюсов. (да и ткани у детей более эластичные)

          [ Ответить ]
          • Re: застарелый вывих бедра
            Отправитель: Коваленко А.Н. 15 Ноябрь 2008, 20:39
            Хотел поправить, что речь шла не о детях, а взрослых разных возрастных групп, которые с врождённым вывихом бедра доросли до эндопротезирования. Термин "врожденный вывих" в данном случае употреблялся для уточнения степени диспластического коксартроза. И эластичность тканей у них вполне взрослая.
            Я не сформулировал, то о чем написал доктор Кульджанов: клинические проявления во время дистракции покажут эффективность и темпы, сильно ничем не рискуя.

            [ Ответить ]
    Re: застарелый вывих бедра
    Рашид Муртузалиевич Тихилов 13 Ноябрь 2008, 01:38
    Уважаемые коллеги,
    Уже несколько раз на Ортофоруме обсуждался вопрос эндопротезирования ТБС при переломах ВВ, мы даже ссылку на нашу статью давали....
    И не надо путать врожденный вывих бедра и посттравматический, как говорят в Одесе это таки две большие разницы....
    По сути вопроса:
    Низводить надо обязательно, лучше в аппарате и лучше без остеотомии.
    Если в аппарате низводиться не будет, то из небольшого доступа, лучше под контролем С-дуги выполнить остеотомию шейки. Без предварительного
    низведения максимально возможная коррекция длины - 2,5-3 см.
    Низвели (с небольшой гиперкоррекцией), перевели на скелетное вытяжение и 7-10 дней отдохнули до заживления ранок.
    Доступ - по предпочтениям хирурга, я предпочитаю передний с расширенной задней мобилизацией.
    Решение по ВВ придется принимать по месту.... Сумеете "подрыться" и получить хорошее покрытие чашки (+2 винта об-но) - хорошо, если нет -
    костная аутопластика из головки.
    Если есть необходимость, представлю Р-граммы разных вариантов

    С уважением, Р.Тихилов
    [ Ответить ]

    • Re: застарелый вывих бедра
      Отправитель: Maxim Agalakov 13 Ноябрь 2008, 21:57
      Уважаемый Р.М., спасибо за ответ.

      >Низводить надо обязательно, лучше в аппарате и лучше без остеотомии.

      Аппаратом можно сделать все, что угодно, можно "разорвать" здоровый позвонок, например, низвести половину таза при застарелой вертикальной деформации.
      Если задаться целью закрыто низвести бедро, то можно сделать и это (усилить опору на бедре, сделать кольцевую опору на тазу). Но не будет ли закрытое низведение более рискованным, травматичным, насколько я представляю, там единый конгломерат из рубцов, фрагментов с возможным вовлечением в него седалищного нерва, ветвей ягодичных сосудов?
      С уважением, Максим Агалаков

      [ Ответить ]
    Re: застарелый вывих бедра
    Djoldas Kuldjanov 14 Ноябрь 2008, 21:48
    Уважаемый Максим,

    "Если задаться целью закрыто низвести бедро"???.

    Мне кажется, как раз этот вопрос был задан форуму и при чем тут "разорвать позвонок"?

    Вместо двухэтапного протезирования "- задним доступом мобилизовать проксимальный отдел бедра, резецировать шейку, аппаратом низвести бедро(головку оставить там где она есть, так как больших дефектов не видно(может пригодится в последующем?))" не выгоднее ли закрытое низведение бедра с последующим "вторым этапом бесцементное эндопротезирование."



    Беспокойство коллег также и об уменьшении оперативного вмешательства, ведь никто не гарантирован от осложнений при первом же этапе.

    При вовлечении конгломерата в процесс, что можно заметить во время низведения ранними симптомами, то процесс можно остановить в любом этапе, как раз аппарат позволяет и идти по минимальному альтернативному варианту, как подсказывают коллеги.


    Djoldas Kuldjanov, MD
    Department of Orthopedic Surgery
    St. Louis University Medical Center
    [ Ответить ]

    Re: застарелый вывих бедра
    Maxim Agalakov 15 Ноябрь 2008, 09:20
    >при чем тут "разорвать позвонок"?
    имелось ввиду, что аппаратом можно сделать все что угодно, но нужно ли это?

    [ Ответить ]

    Re: застарелый вывих бедра
    Игорь Атманский 24 Ноябрь 2008, 20:35
    Уважаемый Максим, сделайте пробу с тягой по длине. Если удаётся низвести руками на 1-2 см, то Вы ни чего не теряете низводя бедро без предварительного релиза. Как справедливо говорит Djoldas Kuldjanov: "При вовлечении конгломерата в процесс, можно заметить во время ранними симптомами и процесс остановить в любом этапе ...". А "живая" головка ещё может пригодится.
    И.Атманский.

    [ Ответить ]


    ( Ответить )

    Powered by Zope  Squishdot Powered MedLink
    Посетитель: 0273640
      "По форме правильно, а по существу - издевательство" В.И.Ленин
    ©2001-2019Orthoforum Coordinator.
    [ Главная | Отправить сообщение | Поиск | Админ ]