вверх
отправить
поиск
админ
главная
|
Отправлено Sergey Zyryanov 08 Ноябрь 2008, 22:11
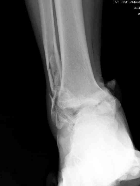
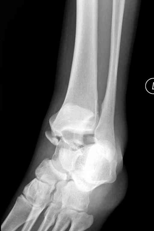
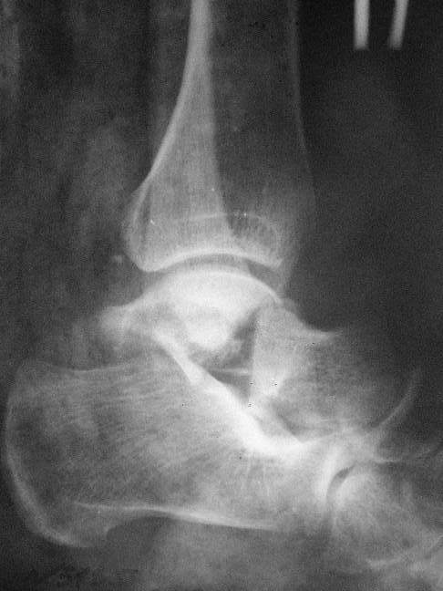
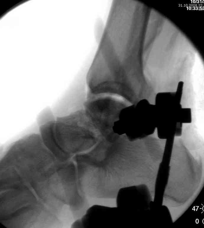
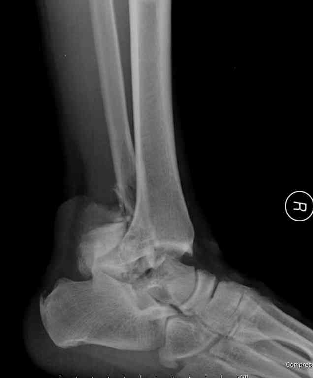
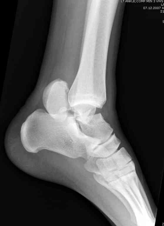
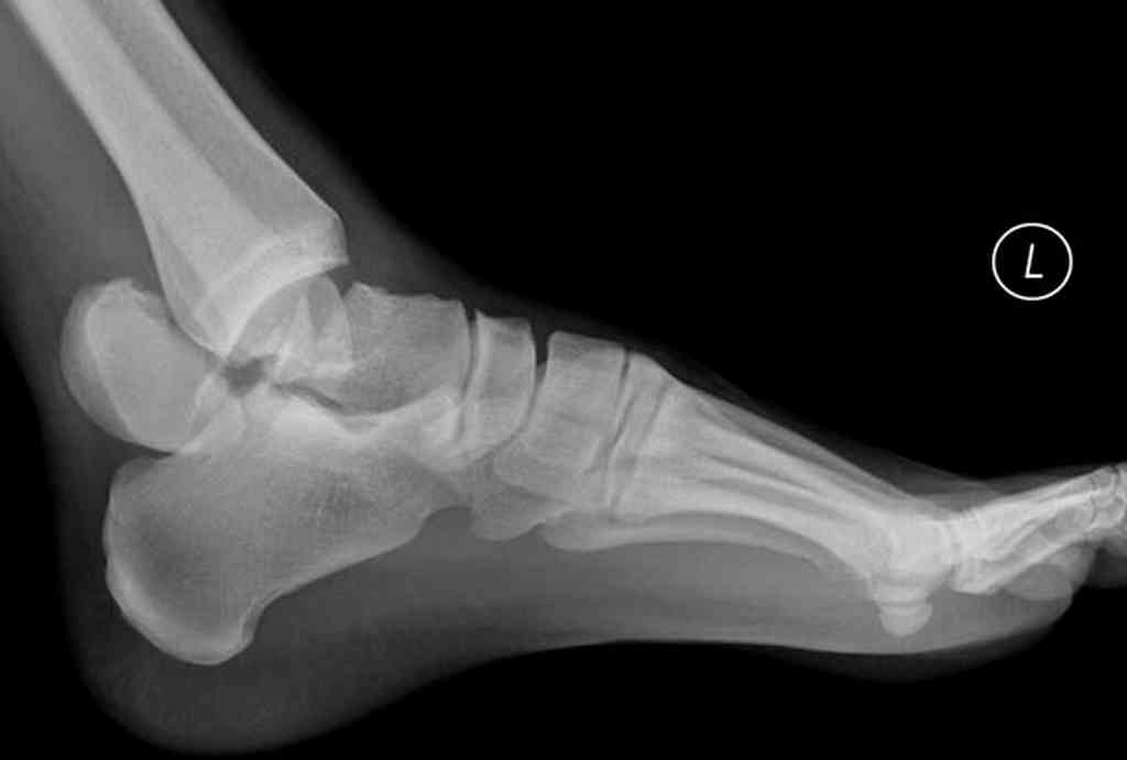
Прошу коллег помочь советом.3 дня назад поступила пациентка 23 года с переломом шейки ладьевидной справа, переломом лодыжек и заднего края б/берцовой кости со смещением и подвывихом кзади, переломом внутреннего мыщелка правого бедра без смещения. Дежурными хирургами проведена репозиция в левом г/ст суставе успешная, попытка репозиции таранной кости ухудшило положение отломков. Планируем провести повторную репозицию и фиксацию винтами. 1. Закрытая репозиция рентгенконтоль интраоперационный (аппарат Арман) ификсация из заднее-наружного доступа. 2. При неудачной закрытой репозиции переходим на открытое вправление двумя доступами медиальным и латеральным "по ходу оси таранной кости" и через дополнительный задний доступ вводим винты кортикальные 4,5 мм или 3,5 мм 3. после открытой репозиции фиксация двумя винтами через боковые доступы погружая их под суставную поверхность Сергей Зырянов ЦРБ Новосибирская область
<
|
>
|
|
Ответить
|
Re: Перелом таранной кости
A.Liberson 08 Ноябрь 2008, 23:09
|
Dear Sergey,
Its OK to fix and its better to do it immediatly without 3 d delay. The talar circulation would not be as impaired. I hope the left leg is OK since I suppose I see the rt ankle on the X-ray.
I suspect it will be hard, even impossible to do it without an open reduction-an open procedure will be possible if you do a transmalleolar
medial approach-you predrill the malleolus prior to a V osteotomy of a significant bit. I am not sure you will need any additional lateral or
posterior approach if you will use a cannulated screw/screws. Use X-rays on the table if posible.
Mind the soft tissues! Mind the blood supply. fix it in a plaster and concider fixing the femur in order to move the girl out of bed. The trauma
you described is dangerous to the p-nt and we should consider her general condition.
Good luck in this difficult case
AL
|
[
Ответить ]
|
Re: Перелом таранной кости
Alexander Chelnokov 08 Ноябрь 2008, 23:53
|
z> 3 дня назад поступила пациентка 23 года с переломом шейки ладьевидной
z> справа, переломом лодыжек заднего края б/берцовой кости со смещением и
z> подвывихом кзади, переломом внутреннего мыщелка правого бедра без смещения.
Это на той же ноге, где таран, или нет? Если нет, эти сведения вряд ли влияют на планирование в отношении обсуждаемой таранной кости.
z> Планируем провести повторную репозицию и фиксацию винтами.
Есть смысл подумать не только о репозиции и остеосинтезе тарана (попытка сделать это закрыто без ЭОП, по-моему, неоправдана), но и об артродезе подтаранного сустава. Он поврежден уже, т.е. ожидаем артроз. Плюс кровоснабжение аваскулярного блока таранной кости будет
обеспечиваться со стороны пятки. Это ускорит реваскуяризацию блока тарана. Достаточно одного наружного доступа.
|
[
Ответить ]
|
Re: Перелом таранной кости
Mikhael Berenstein 09 Ноябрь 2008, 09:34
|
Уважаемый Сергей
В данном случае вероятность аваскулярного некроза очень высока, но пациентка молодая и нельзя лишать её шанса на сращение перелома. Нет ни
какого сомнения что необходимо выполнить открытую репозицию. Для выполнения качественной репозиции необходим визуальный контроль, ЭОП не достаточно.
Обычно используется доступ с остетомией внутренней лодыжки, но у вашей пациентки есть перелом лодыжки что можно использовать для доступа к таранной кости и в конце операции зафиксировать перелом лодыжки. К сожалению нет
переднезаднего снимка, так что через какую лодыжку идти не могу сказать.
Канулированные винты могут вам очень помочь.
С уважением
М.Беренштейн
|
[
Ответить ]
|
Re: Перелом таранной кости
Павел Кирилюк 09 Ноябрь 2008, 11:49
|
Не уверен, что Вам мой совет пригодится , но работая в условиях " заштатной городской больници " (это мои услови) , я попробовал бы вправить под ЭОП и фиксиковать спицами или (в лучшем случае ) канюлироваными шурупами закыто.
Удачи!
Павел.
|
[
Ответить ]
|
Re: Перелом таранной кости
Djoldas Kuldjanov 15 Ноябрь 2008, 21:23
|
Во множестве случаев перелом таранной кости сопровождается вывихом или с другими переломами стопы или голеностопа. Репозиция переломовывихов таранной кости является ургентной процедурой и должна выполняться независимо от больницы: "заштатной", или это продвинутый центр. Задача дежурного врача в короткие сроки установить таранную кость под плафон большеберцовой кости, и удержание отломков.
Проведение окончательной фиксации зависит от типа повреждений, например медиально открытые переломы с ранами 1-2 степени можно зафиксировать после первой же Irrigation&Debridment.
При случаях, когда невозможно проведения первичной фиксации, временный наружный фиксатор является облегчающим инструментом, потому что создается разгрузка сустава в таранно-большеберцовом сочленении и создаются наилучшие условия для заживления ран.
Здесь на фото примеры:
Переломовывих тарана с повреждением медиальной стороны. Через 4 часа после поступления проведена репозиция и фиксация тарана после Irrigation&Debridment. Частичное несращение медиальной лодыжки не беспокоит, вернулся к активному образу жизни. Полная нагрузка разрешена через 11 недель. Финальные снимки через 11 месяцев.
Второй случай прооперирован вчера.
10 дней назад поступил с открытым повреждением медиальной лодыжки и переломо вывихом таранной кости. Ургентно сделана репозиция с наложением наружного фиксатора + Irrigation&Debridment.
Во время репозиции выявили повреждение заднего сухожилия м. тибиалис и задней большеберцовой артерии. Медиальную рану удалось закрыть частично и установлен вакуум.
Дважды провели Irrigation&Debridment с заменой вакуума.
Вчера провели фиксацию.
Из-за многооскольчатости дистальной части малоберцовой, где невозможно было провести фиксацию шурупами, перелом зафиксирован подпирающей пластиной, которая должна служить дополнением отсутствующей дистальной части малоберцовой (lateral cortex substitute).
Для стабильности два шурупа на синдесмоз.
Медиальную рану с приближенными краями продолжаем вакуумировать (KCI). Наружный фиксатор оставлен на пару недель, надеюсь, небольшая рана будет гранулировать и закроется без кожной пластики. Фиксация медиальной ложыжки не планируется.
Djoldas Kuldjanov, MD
Department of Orthopedic Surgery
St. Louis University Medical Center
|
[
Ответить ]
|
Re: Перелом таранной кости
Отправитель: Alexander Chelnokov 15 Ноябрь 2008, 23:21
|
Спасибо за представленные случаи и описание современного подхода к переломам и вывихам тарана.
Однако вернемся к представленному пациенту, у которого к моменту начала нашего обсуждения уже прошло несколько дней, и блок тарана остается в подвывихе, и разобщен с шейкой. Должен ли в этой ситуации подход быть тем же, что и в экстренной? Или надо делать другую операцию? Какая тактика оптимальна при позднем поступлении, или по иным причинам neglected переломам и вывихам talus?
|
[
Ответить ]
|
Re: Перелом таранной кости
Отправитель: Михаил Васильев 03 Декабрь 2008, 23:50
|
В клинике у нас был случай, когда пришлось по независящим от нас причинам, оперировать брата нашего коллеги через 8 суток после травмы. Выполнили фиксацию 2-мя винтами. В течение 2-3 месяцев интенсивная сосудистая терапия, пассивная и активная ЛФК, ограничение нагрузки в виду риска асептического некроза. Некроза не развилось, но склероз и артроз II-III стадии на сроках 2-2,5 года после операции наблюдаем. Функция хорошая процентов на 65-70 от нормы, ходит без дополнительных средств. Так, что наверное даже при наличии не очень свежих травм оперативное лечение оправдано (в нашем случае пациенту 49 лет полностью восстановил свою социальную активность).
|
[
Ответить ]
|
|
Re: Перелом таранной кости
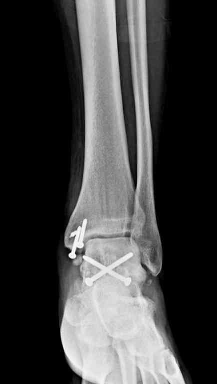
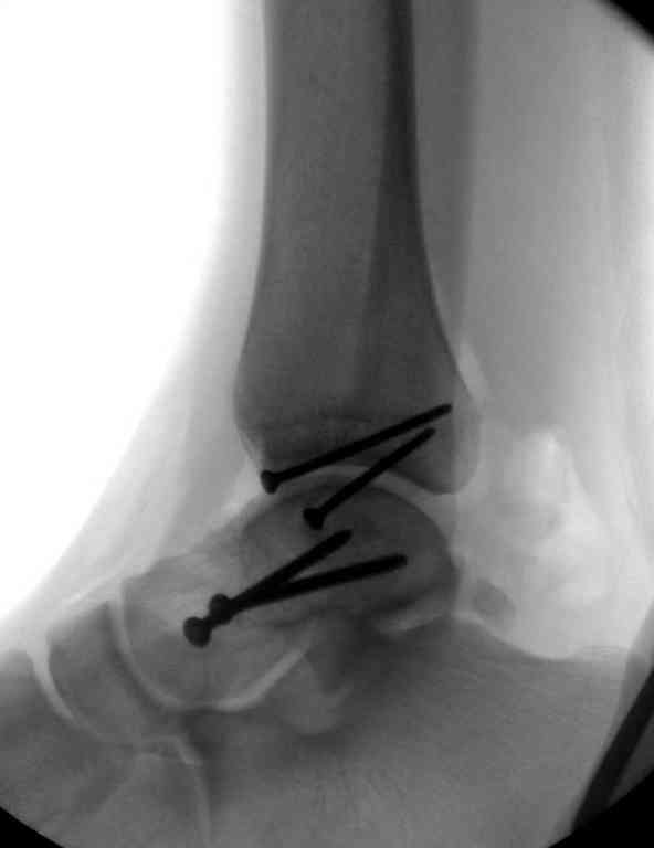
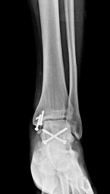
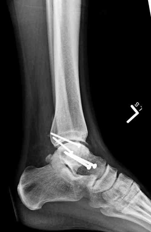
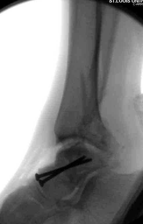
Сергей Зырянов 16 Ноябрь 2008, 22:26
|

Прооперировали таранную кость, доступ внутренний без пересечения внутренней лодыжки. Хотя покаялись, что не пошли на остеотомию лодыжки внутренней. Винт
провели через небольшой передний доступ.
Джолдас, какими доступами вы пользовались? Какой срок иммобилизации по вашему мнению необходим в моем представленном случае?
Сергей зырянов
|
[
Ответить ]
|
Re: Перелом таранной кости
Отправитель: Глеб Коробушкин 16 Ноябрь 2008, 22:37
|
Коллеги!
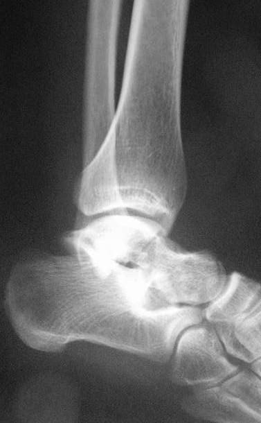
При лечении переломов шейки таранной кости очень важно увидеть вторую проекцию шейки, только боковой проекции недостаточно.

В приложении укладка Канале.
С ув Коробкшкин Г
|
[
Ответить ]
|
|
( Ответить )
|
|