ВХОД ДЛЯ ПАЦИЕНТОВ
вверх
поиск
админ
главная
исходное
|
Re: Перипротезный перелом
послал Alexander Chelnokov 22 Декабрь 2008, 00:02
|
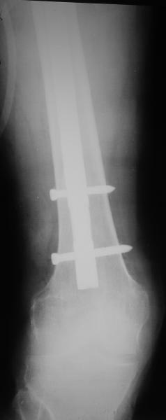
Спасибо за обсуждение. После нескольких дней тракции аппаратом сделали. Попытка закрытой репозиции не удалась из-за смещения по ширине, мешали фрагменты цемента. После их удаления репозиция получилась. Еще убрали немного цемента с ножки по латерльной стороне, чтобы обнажить 40-50 мм ее дистальной части, для плотной посадки гвоздя. Дальнейшее введение гвоздя было несложным. Протез показался нам стабильным в проксимальной части как латерально, так и медиально. Картинки в приложении.
THX for the discussion. After few days of traction by ex-fix the surgery was performed. An attempt of closed nailing was unsuccesful because of fragment translation, which was blocked by cement fragments. After removal of broken cement pieces reduction was reached "automagically". Also some cement from lateral part was removed by
chisel to expose distal 40-50 mm of the stem to allow tight fit of the nail. Further fixation by the nail was pretty easy and straightforward. Images attached. The stem looked stable in its proximal part both laterally and medially. Comments/critics are welcome.

Комментарии и критика приветствуются.
|
| Послать ответ |
Обратите внимание: Поля с жирными названиями обязательны.
Старайтесь отвечать в рамках обсуждаемой темы, а не начинать новые обсуждения.
Указывайте адекватную тему сообщения, чтобы было ясно, о чем оно.
Не послайте сообщений не по теме (оффтопик), раздраженных, грубых или обидных комментариев. Здесь это неуместно.
|