AOTRAUMA.ORG Центр Илизарова  

Ортопедия и травматология Общие вопросы/General questions Help Информационные технологии в медицине
 вверх
 отправить
 поиск
 админ
 главная
 Предыдущее


Re: Перелом проксимального отдела бедра
А.Ситник 13 Январь 2009, 09:37


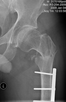
Р-гр шейки


  • Сообщения о Ортопедия и травматология
  • Также А.Ситник
  • Связаться с автором
  • Ответить

    Re: Перелом проксимального отдела бедра
    Alexander Chelnokov 14 Январь 2009, 21:54
    Теперь ситуация более ясная. Оптимальным тут, очевидно, было бы малоинвазивное удаление пластины и закрытый интрамедуллярный остеосинтез длинной гаммой или другим проксимальным гвоздем. Это не только обеспечило бы надежную фиксацию всех проблемных отделов бедра, но и позволило бы немедленную полную нагрузку.
    Другие варианты менее привлекательны, хотя в итоге могли бы привести к успеху. Но ценой большей травматичности, длительности лечения, неудобств, трудоемкости и с бОльшими рисками неприятностей. Вариантов очень много - скелетное вытяжение, тазобедренная повязка, остеосинтез DHS или другой пластиной с угловой стабильностью, остеосинтез таким или другим аппаратом...
    [ Ответить ]


    ( Ответить )

    Powered by Zope  Squishdot Powered MedLink
    Посетитель: 0000126
      "По форме правильно, а по существу - издевательство" В.И.Ленин
    ©2001-2019Orthoforum Coordinator.
    [ Главная | Отправить сообщение | Поиск | Админ ]