AOTRAUMA.ORG Центр Илизарова  

Ортопедия и травматология Общие вопросы/General questions Help Информационные технологии в медицине
 ВХОД ДЛЯ ПАЦИЕНТОВ
 вверх
 поиск
 админ
 главная


Посттравматическая деформация таза
Ортопедия и травматология Прислано Andrey 22 Январь 2009, 10:53
из УНИИТО
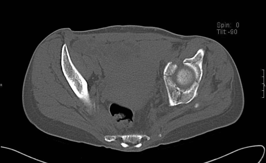
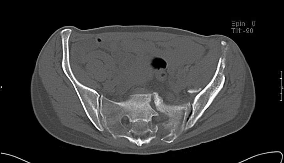
Больная 43 года (промышленный альпинист), 28.07.08 в результате падения с 5 этажа получила политравму:
Перелом свода и основания черепа. Вертикально-нестабильное повреждение таза, осложнённое разрывом мочевого пузыря. Чрезвертельный перелом левого бедра. Перелом правой таранной кости, переломовывих правой кубовидной кости. Тупая травма живота, разрыв печени, ушиб почек. Забрюшинная гематома. В день травмы - лапаротомия, ушивание ран печени. Разрыв мочевого пузыря не диагностирован. Течение болезни осложнилось развитием мочевого затёка и обширной пред- и забрюшинной флегмоны, сформировался свищ мочевого пузыря. 19.8.2008 вскрытие, дренировние флегмоны, ревизия мочевого пузыря, обтурация мочевого свища (свищ закрылся в октябре), 1.10.2008 некрэктомия, пластика по Шеде-Лидскому правой кубовидной кости. По результатам КТ диагностирован рак правой почки (диагностическая находка), 8.10.2008 нефрэктомия справа.
Переломы велись консервативно.
Имеется вертикальное смещение левой половины таза с выраженным отведением крыла (клинически подвижности нет), несросшийся низкий двухколонный перелом левой вертлужной впадины с потерей конгруэнтности, укорочение около5 см, застарелый разрыв лонного сочленения, неправильно сросшиеся переломы обеих ветвей правой лонной кости с укорочением, патологическая подвижность лоно-седалищного фрагмента слева. Правая нижняя конечность неопорна, несмотря на то, что лежа прямую ногу поднимает, ходит на левой ноге (ортопедическая обувь) с костылями, справа тазобедренный ортез. Седалищные нервы работают. Урологи отпустили больную на 6 мес.

Мучаемся мыслями - как все это заставить ходить. Возможно ли первичное протезирование если просто синтезировать лонное сочленение с цементом и ванкомицином?
Если делать большую реконструкцию, то с чего начать? Изрубить крыло и заполнить дефекты? Перерубить боковую массу и попытаться развернуть крыло обратно?
Ждать год после закрытия свищей?

Послать ответ

Имя
Email
Уведомление Сообщить мне по e-mail об ответах на это сообщение
Название
Комментарий
(Проверьте URL! Не забудьте написать http://!)
Кодировка
Если не знаете, что выбрать, выберите "Просто текст"!
Приложение
Можно приложить к сообщению файл c изображением, который затем будет доступен увидевшим сообщение.
Подготовка иллюстраций:
  • Рентгенограммы: черно-белые полутоновые изображения в формате JPEG (8 bit, greyscale) с разрешением от 300х200 до 1024х768 пикселов;
  • Клинические фотографии: полноцветные изображения в формате JPEG (24 bit, truecolor) с разрешением от 300х200 до 1024х768 пикселов;
  • Схемы и рисунки: черно-белые (2 bit) штриховые (line-art) изображения в формате GIF или compressed TIFF
  • Подберите степень сжатия файла JPEG и размер изображения таким образом, чтобы необходимые детали были различимы, но размер файла не превышал 75 кб.
  • Учтите, что текущая версия программного обеспечения Форума позволяет приложить к одному сообщению лишь один файл-вложение. Поэтому, если необходимо отправить несколько изображений, можно либо послать каждое как отдельное сообщение, либо в графическом редакторе объединить изображения в одно (сделать коллаж).
  • Если при подготовке изображений встречаются трудности, не стесняйтесь обратиться к координатору Форума.

  • Введите видимые символы в обратном порядке. Enter the above characters in reverse order (*Обязательно)
    В тексте сообщения можно использовать теги HTML <B> <I> <P> <A> <LI> <OL> <UL> <EM> <BR> <TT> <HR> <STRONG> <BLOCKQUOTE> <DIV .*> <DIV> <P .*>
  • Обратите внимание: Поля с жирными названиями обязательны.
  • Старайтесь отвечать в рамках обсуждаемой темы, а не начинать новые обсуждения.
  • Указывайте адекватную тему сообщения, чтобы было ясно, о чем оно.
  • Не послайте сообщений не по теме (оффтопик), раздраженных, грубых или обидных комментариев. Здесь это неуместно.
  • Powered by Zope  Squishdot Powered MedLink
    Посетитель: 0000051
      "По форме правильно, а по существу - издевательство" В.И.Ленин
    ©2001-2019Orthoforum Coordinator.
    [ Главная | Отправить сообщение | Поиск | Админ ]