вверх
отправить
поиск
админ
главная
|
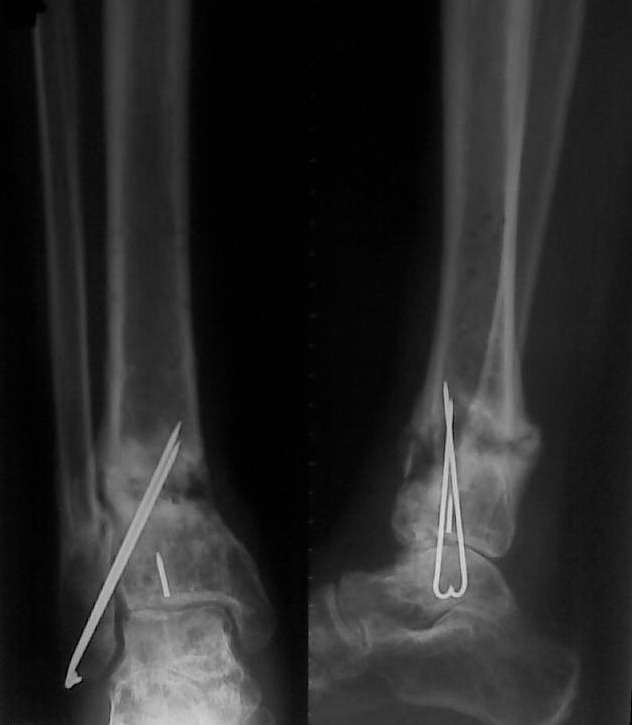
Остеомиелит н/3 голени , асептический некроз (?) тарана |
 |
 |
 |
Отправлено дмитрий бондарь 24 Январь 2009, 21:09
Уважаемые коллеги, обратилась больная 30 года, травма 1 год назад, открытый перелом дистального метаэпифиза левой голени, закрытый перелом левой таранной кости, закрытый перелом наружной лодыжки слева. Больная была прооперирована в солидном лечебном учреждении был произведен остеосинтез переломов (снимков пока нет). Послеоперационный период осложнился нагноением, конструкции были удалены. На сегодняшний день имеется следующее: по переднее-медиальной поверхности имеется свищ около 5 мм в диаметре с небольшим количеством гнойного отделяемого, конечность опорна, боли при нагрузке практически нет. Нервно - сосудистый статус без патологии. Подошвенное сгибание 10, тыльное 8 градусов. Снимки представлены ниже. Как лучше поступить в данном случае? имеется 2 варианта: 1. Удалить спицы, качественная секвестрнекрэктомия, лаваж полости с последующим заполнением её цементными бусами с антибиотиком. С целью профилактики перелома наложить простейший АВФ из двух колец. Через 2-4 недели (при благоприятном течении процесса) удалить бусы и заполнить полость аутографтом. Что смущает при этом варианте: малый размер полости 20 х 30 мм - мало цемента с антибиотиком - недостаточная концентрация антибиотика. Кроме того, дефект расположен вблизи сустава, где существует малое количество мягких тканей. Смущает так же состояние таранной кости. 2. Выполнить резекцию очага с последующим замещением дефекта по Илизарову. Больная и родственники не совсем в восторге от этого варианта (длительные сроки, неудобства, связанные с ношением АВФ). Хотя возможно это и лучший вариант. Про таран уже говорилось выше. Какие ещё возможны варианты ? С уважением Д.Б.
<
|
>
|
|
Ответить
|
Re: Остеомиелит н/3 голени , асептический некроз (?) тарана
адонин 25 Январь 2009, 12:57
|
вариант номер один, только бусы на 6 недель. После тщательного дебридмента полость у Вас будет много побольше, чем сейчас :)
нужды в "авф на пару колец" не вижу
|
[
Ответить ]
|
Re: Остеомиелит н/3 голени , асептический некроз (?) тарана
Отправитель: дмитрий бондарь 25 Январь 2009, 13:49
|
Вот и боимся , что полость будет побольше , а стенки потоньше - а вдруг треснет ? поэтому и возникла мысль об аппарате . Но пока идёт обсуждение .Спасибо за ответ .
С уважением Д.Б.
|
[
Ответить ]
|
|
Re: Остеомиелит н/3 голени , асептический некроз (?) тарана
Alexander Chelnokov 25 Январь 2009, 16:11
|
А фистулографию не пробовали делать?
Таран выглядит вполне оптимистично.
По-моему, можно тут начать с менее агрессивных действий - наложить аппарат без фиксации стопы, сделать остеотомию малоберцовой кости, исправить ось большеберцовой, и напрячь аппарат на дистракцию или компрессию. В этих условиях тут вероятно сращение. При этом улучшится кровоснабжение, глядишь, и свищ сам закроется. Пока можно
делать инстилляции антисептика туда.
|
[
Ответить ]
|
Re: Остеомиелит н/3 голени , асептический некроз (
pionner07 25 Январь 2009, 16:38
|
Добрый день. Я не вижу особых проблем с тараном. По крайней мере на Рснимках. Можно сделать КТ голеностопа и посмотреть таран прицельно. Родственникам объяснить (к слову о том что они не в восторге от предложенного - варианта лечения), что пусть скажут спасибо что вы взялись за работу с таким г... (а метаться надо бы раньше, в том числе и материально). Если гноя откровенного нет, то удалить спицы, взять посев из раны на чувствительность, пролечить антибиотиками с учетом посева а дальше 2 варианта или рискнуть на экономную секвестрнекрэктомию с одновременным заполнением дефекта аутотрансплантатом и наложением метафизарной пластины или сделать резекцию концов большеберцовой кости, наложить аппарат и дать компрессию. Когда появятся признаки консолидации то удлинить конечность.
|
[
Ответить ]
|
Re: Остеомиелит н/3 голени , асептический некроз (
Отправитель: Uriy 26 Январь 2009, 22:03
|
А что такое "экономная некрсеквесрэктомия", если не секрет?
|
[
Ответить ]
|
|
Re: Остеомиелит н/3 голени , асептический некроз (?) тарана
Maxim Agalakov 26 Январь 2009, 21:07
|
Как кажется, целесообразно сделать фистулографию, по результатом прокрасить зеленкой, экономно удалить раскрашенное; железо. Далее АВФ, "огонь дистракции" и тд. Если все закроется, то можно подумать о конверсии способа фиксации, например, на гвоздь. Если нет- повторная обработка с бусами. Таран скорее жив, чем мертв (субхондральная зона остеопороза).
С уважением, Максим Агалаков, ГВВ, Е-бург
|
[
Ответить ]
|
Re: Остеомиелит н/3 голени , асептический некроз (?) тарана
Djoldas Kuldjanov 28 Январь 2009, 21:22
|
Осложнение из-за ошибки в тактике лечения, в результате операции, сделанной без учета кондиции кожных покровов.
Такие послеоперационные раны осложняются еще до периода заживления ран, и происходит обнажение металлических конструкции. Долго не заживающие раны ошибочно принимают за результат инфицирования, хотя отсутствие первичного заживления ран часто наблюдается из-за первоначального нарушения трофики.
К удалению конструкции из незаживающих ран надо относится с осторожностью, иначе можно потерять репозицию, потом обычно происходит вторичное инфицирование раны. При отсутствии явной гнойной инфекции рекомендуем не удалять метал, а оставить и продолжать лечение, делать Irrigation and Debridment.
У данного больного имеется неполное сращение, контролируемый краевой свищ и варус. Трудно закрыть пергаментную кожу вокруг свища и рубцовые изменения. Нечем прикрыть антибиотические бусы или пластину с медиальной стороны.
При наличии условий процесс можно контролировать, создавая дополнительное кровоснабжение свободной мышечной пластикой. Такая подушка удержит от осложнении и создаст условия по восстановлению сращения перелома.
Если невозможна свободная пастика мышцей, тогда для решения проблемы можно было применить недавно дискутированный метод Папинау. Медиально простой стержневой аппарат из двух стержней. Такой минимальный аппарат после исправления варуса переносится больным намного легче, чем циркулярный аппарат Илизарова, да и 5 мм стержень более надежен, чем прорезывающиеся спицы.
Провести дебридмент, при подозрении на гнойное осложнение - цемент с антибиотиком, сверху цемента постоянный VAC (Bакуум). Через пару дней удалить цемент, и положить аутокость по методике Папинау. Через 5-6 дней на поверхность спонгиозной кости кожная пластика.
Djoldas Kuldjanov, MD
Department of Orthopedic Surgery
St. Louis University Medical Center
|
[
Ответить ]
|
Re: Остеомиелит н/3 голени , асептический некроз (?) тарана
Андрей 29 Январь 2009, 01:30
|
Нога опорная, боли нет, свищ 5 мм, больная 30-го года рождения, рентгенограмма, правда, не очень,
но лечим-то не рентген, а больную. А может не будить судьбу? Оставить как есть? Тоже вариант.
|
[
Ответить ]
|
( Ответить )
|
|