AOTRAUMA.ORG Центр Илизарова  

Ортопедия и травматология Общие вопросы/General questions Help Информационные технологии в медицине
 вверх
 отправить
 поиск
 админ
 главная


Перипротезный перелом бедра
Ортопедия и травматология Отправлено Валерий Павлович Охлопков 05 Февраль 2009, 11:25
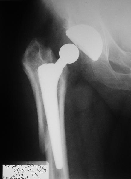
Мужчине 1963 г.р. в октябре прошлого года в Кургане сделано эндопротезирование правого тазобедренного сустава (последствия перелома шейки бедра) бесцементным протезом Cerafit.
Все было благополучно, пациент уже ходил без трости, когда в начале января 2009 упал на улице на правый бок.
Госпиталирован по месту жительства (МСЧ г. Новоуральск). Уложен на скелетное вытяжение. На снимках от 3 февраля видно миграцию ножки в дистальном направлении, она явно нестабильна. В нашей больнице вряд ли что-то удастся сделать. Сопутствующих заболеваний нет. Хотелось бы получить совет по тактике. Если нужно ревизионное протезирование, куда лучше пациента направить? Спасибо.
В.П.Охлопков, Новоуральск

<  |  >

 

  • Сообщения о Ортопедия и травматология
  • Также Валерий Павлович Охлопков
  • Связаться с автором
  • Ответить

    Re: Перипротезный перелом бедра
    Волокитина Елена Александровна 05 Февраль 2009, 16:13
    Уважаемый Валерий Павлович! Отправляйте больного к нам,в Курган, где он и был первично оперирован. Надо реимплантировать ножку, возможно ревизионную + остеосинтез проволокой. Для транспортировки фиксировать в кокситной повязке.
    С уважением Е.А.Вролокитинаю
    [ Ответить ]

    Re: Перипротезный перелом бедра
    Александр Рыков 05 Февраль 2009, 16:42
    У пациента перипротезный перелом бедра тип 2Б по ванкуверской классификации.
    Показано ревизионное протезирование с заменой ножки. Вероятно в Курган. Можем принять на лечение, но при наличии источников финансирования - дорого.
    А Рыков Хабаровск. ЖД больница.
    [ Ответить ]


    ( Ответить )

    Powered by Zope  Squishdot Powered MedLink
    Посетитель: 0000018
      "По форме правильно, а по существу - издевательство" В.И.Ленин
    ©2001-2019Orthoforum Coordinator.
    [ Главная | Отправить сообщение | Поиск | Админ ]