AOTRAUMA.ORG Центр Илизарова  

Ортопедия и травматология Общие вопросы/General questions Help Информационные технологии в медицине
 вверх
 отправить
 поиск
 админ
 главная


Корригирующая остеотомия или эндопротезирование?
Ортопедия и травматология Отправлено Alexander Chelnokov 12 Февраль 2009, 20:12
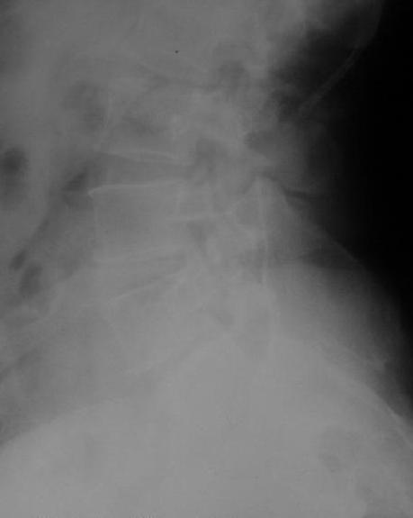
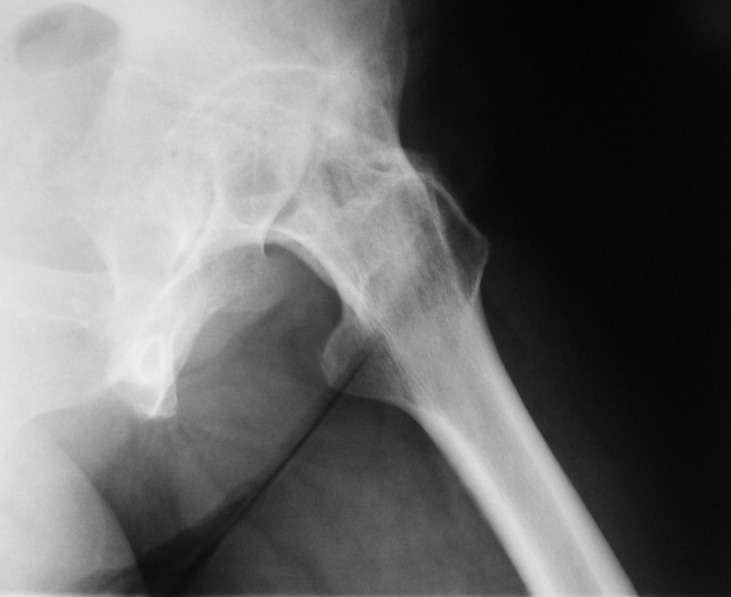
У больной 53 лет в последний год появились сильные боли в пояснице.
3 года назад при нефрэктомии по поводу гидронефроза была перфорация кишки, перитонит, сепсис, колостома. Месяца 2 в реанимации. Все это завершилось благополучно, колостома вскоре была закрыта.
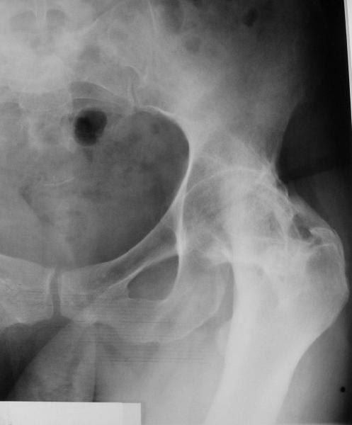
При обследовании выявлен анкилоз тазобедренного сустава в приведении. Видимо, в период пребывания в тяжелом состоянии появились гетеротопические оссификаты. За исключением того, что осталась одна почка, сейчас других медицинских проблем нет.
Пациентку в первую очередь беспокоят боли в спине, на отсутствие движений в суставе она вроде и не жалуется. Вопрос насчет тактики. Корсет и анальгетики вряд ли решение. Первый вариант - удаление оссификатов и эндпротезирование, второй - корригирующая остеотомия в проксимальном отделе с устранением порочного положения.
Второй вариант много проще и менее травматичен. Можно ли без размыкания сустава рассчитывать на существенное уменьшение боли за счет устранения перекоса таза?

<  |  >

 

  • Сообщения о Ортопедия и травматология
  • Также Alexander Chelnokov
  • Связаться с автором
  • Ответить

    Re: Корригирующая остеотомия или эндопротезирование?
    Ivan Petrov 15 Февраль 2009, 14:12
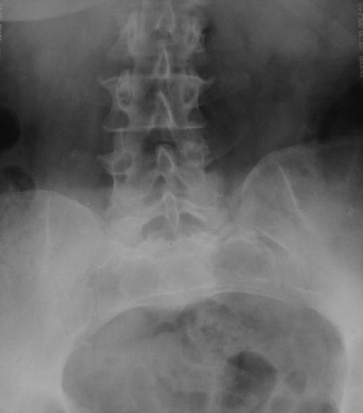
    Крайне желательно выполнить МРТ поясничного отдела, так как на представленных рентгенограммах складывается впечатление о спондилолистезе L5,котрый наиболее вероятно и является причной болевого синдрома. Кроме того у болной имеется высокий риск гнойного поражения позвоночника. Только после МРТ можно планировать коррекцию вторичной деформации позвоночника.
    Кликните для загрузки файла 1.jpg
    16KB (16747 bytes)

    [ Ответить ]

    Re: Корригирующая остеотомия или эндопротезирование?
    Rashid Tikhilov 15 Февраль 2009, 18:47
    Уважаемый А.Н.
    Боли в спине обусловлены порочным положением бедра. Эндопротезирование более интересно, т.к. дает еще и движения в суставе (кроме устранения порочного положения). Оссификаты не страшные, а учитывая срок (3 года) - уже созревшие. Я зарекся делать ЭТС при больших оссификатах - очень частый рецидив даже на фоне индометацина и луч.терапии.
    С ув.Р.Тихилов
    [ Ответить ]

    Re: Корригирующая остеотомия или эндопротезирование?
    Найданов В.Ф., Томск 15 Февраль 2009, 21:20
    Я думаю, что эндопротезирование - более предпочтительный вариант у пациентки 53 лет. К тому же суставная щель прослеживается и, вероятнее, большой сложности с установкой вертлужного компонента не будет. Высока вероятность необходимости аддуктотомии.
    Желаю удачи!
    [ Ответить ]

    Re: Корригирующая остеотомия или эндопротезирование?
    Michael Berenstein 18 Февраль 2009, 12:56
    Снимок поясничного отдела плохо просматривается на моем компе. Нет ли там спондилолистеза L5-S1?
    Если есть, то операция на бедре не поможет. Если нет то есть вопрос - в каком положении контрактура?
    В любом случае замена сустава после оссификации дело не благодарное - безболезненная контрактура станет болезненной контрактурой.
    С уважением
    М. Беренштейн
    [ Ответить ]

    Re: Корригирующая остеотомия или эндопротезирование?
    Абдрахманов Алибек 21 Февраль 2009, 20:56
    После корригирующей остеотомии сохранится чрезмерная нагрузка на поясничный отдел за счёт анкилоза т/бедр. сустава.На фоне остеохондроза,спондилёза,спондилоартроза и спондилолистеза устранение порочного положения не избавит от болей и вряд-ли даже уменьшит их.Мне кажется тут нет альтернативы эндопротезированию.Но даже в этом случае не исключено,что позднее, на повестке появится необходимость вмешательства на позвоночнике.
    [ Ответить ]

    Re: Корригирующая остеотомия или эндопротезирование?
    Васецкий Алексадр 05 Март 2009, 03:52
    Учитывая отсутствие жалоб со стороны тазобедренного сустава - оперативое лечение вряд ли принесет позитивный результат. На первый план выступает спондилолизный спондилолистез (вниматльно посмотрите снимки поясничного отдела)L5 позвонка. На наш взляд больному рекомндовано выполнить транспедикулярную коррекцию и фиксацию сегментов L4-S1 с установкой кейджа в L5-S1.

    [ Ответить ]


    ( Ответить )

    Powered by Zope  Squishdot Powered MedLink
    Посетитель: 0108463
      "По форме правильно, а по существу - издевательство" В.И.Ленин
    ©2001-2019Orthoforum Coordinator.
    [ Главная | Отправить сообщение | Поиск | Админ ]