вверх
отправить
поиск
админ
главная
Предыдущее
Весь тред
|
Re: Многооскольчатый перелом бедра
Коваленко А.Н. 18 Февраль 2009, 18:25
|
-1. стержень в суставе,
Это не критично, в межмышелковой борозде,не на опроной поверхности, выступает из субхондральной кости, не факт что из хряща.Про надколенник Александр Николаевич уже писал.
-2. неправильная длинна винтов,
и толщина тоже. При такой длине хочется помощнее.
-3. ось конечности неправильная,
Вполне прилично. Если в боковой проекции рекувации нет. Где кстати боковая, хочется спросить у постмейкера.
- 4. циркулярная гипсовая повязка после ОС?????
К сожалению, автор умалчивает. Думается, что в данном случае можно и без гипса.
-Почему было не использовать накостный ОС?
Доля ответа есть в названии города.
-Или при отсутствии МК не вести больного консервативно?
Если в боковой проекции все не менее достойно, и винты в отверстиях, это метод выбора.
-А отвечая на поставленный вопрос: можно, но зачем?
Затем, что результаты как минимум не хуже, чем при использовании глубокоспециализированных DFN. Другое дело, что найти толстый тибиальный гвоздь больше 11м не всегда просто. В показаном примере он бы не подошел. Трочал бы сильнее из колена или при полном погружении отверстия пролетели бы проксимальнее перелома. Он показан больше для нижней трети, чем для области метафиза. Да и желательно чтобы винты толстые были, толще чем для тибии.
Вопрос в зал: те, кто критикует применение тибиальных гвоздей ретроградно на бедре действительно имели проблемы при их "непрямом" использовании?
|
|
|
Ответить
|
Re: Многооскольчатый перелом бедра
Антон Жаглин 19 Февраль 2009, 11:11
|
"найти толстый тибиальный гвоздь больше 11м не всегда просто","...он бы не подошел...","...Трочал бы сильнее...",
"...отверстия пролетели бы"...,"...желательно чтобы винты толстые были...", "...толще чем для тибии..."- это Вы считаете не важно при установке тибиального штифта на бедро??? Так в чем же все-таки его плюсы в таком случае?
|
[
Ответить ]
|
Re: Многооскольчатый перелом бедра
Отправитель: Коваленко А.Н. 19 Февраль 2009, 14:21
|
-"найти толстый тибиальный гвоздь больше 11м не всегда просто"
речь о проблемах снабжения.Я акцентировал внимание на том, что нужны гвозди большего диаметра нежели чем те что чаще используются на голень.
- "...он бы не подошел...","...
В представленном автором примере безусловно тибиальный гвоздь противопоказан. Просто при установке тибиального гвоздя на бедро есть определенные показания (врочем, как и везде), и перечисленные моменты надо учитывать. Насколько я помню вопрос по сути звучал о возможности применения тибиальных гвоздей на бедро.
- Так в чем же все-таки его плюсы в таком случае?
1.функцию штифтования выполняет не хуже чем другие конструкции
2. Лучше борется с рекурвацией дистального отломка за счет угла Герцога.(В представленном примере "недопобороли")
В данном случае, на мой взгляд, если говорить о гвоздях, предпочтительней антеградное штифтование. Поскольку любая ретроградная конструкция не может иметь столь низкого расположения отверстий для винтов как антеградная из-за резьбового крепления.
|
[
Ответить ]
|
|
Re: Многооскольчатый перелом бедра
Павел Владимирович 19 Февраль 2009, 12:15
|

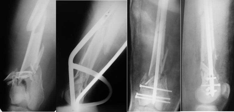
Приносим извенения за недостаток информации. Выкладываю все снимки. Стержень фирмы НПО ДЕОСТ(г.Пущино-на-оке)
|
[
Ответить ]
|
Re: Многооскольчатый перелом бедра
Отправитель: Коваленко А.Н. 19 Февраль 2009, 14:31
|
Павел Владимирович, скажите пожалуйста, для чего наложен гипс? Считаете, что синтез жидковат и боитесь, что развалится, напугать больного, чтобы на ногу раньше времени не наступил или есть какие-то другие причины? Когда планируете его снять и разрешить опору на конечность?
|
[
Ответить ]
|
Re: Многооскольчатый перелом бедра
Отправитель: Павел Владимирович 20 Февраль 2009, 08:20
|
Больная госпитализирована с тяжелой сочетанной травмой. Плюсом к перелому бедра имеется разрыв связок коленного сустава.
|
[
Ответить ]
|
|
( Ответить )
|
|