AOTRAUMA.ORG Центр Илизарова  

Ортопедия и травматология Общие вопросы/General questions Help Информационные технологии в медицине
 вверх
 отправить
 поиск
 админ
 главная


неопорное бедро
Ортопедия и травматология Отправлено Ильдар Ф. Ахтямов 25 Февраль 2009, 20:44
Уважаемые коллеги!Просим вашего совета по поводу вариантов лечения пациента П. 44 лет
Со слов пациента, история заболевания такова:1997г. - тотальное бесцементное ЭПТБС справа, инфицировалась гематома и через 4 мес. - протез удален
1998 г. - тотальное бесцементное ЭПТБС слева.
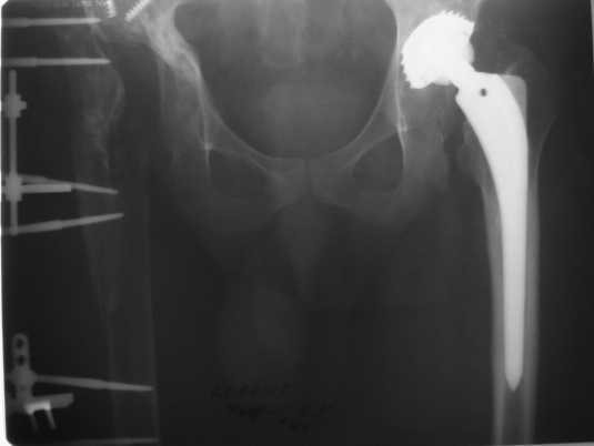
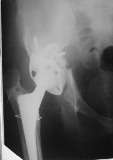
1999г. ревизионное протезирование правого ТБС и вновь инфекционная нестабильность - протез удален.2000 г. установлено кольцо Мюллера и ножка типа Споторно справа (рис. 1).
2003 г. нестабильность тазового компонента (рис. 2) - протез удален.
2005 г. при падении с высоты - перелом бедра в верхней трети, наложение АВФ . 3 года пациент ходил с аппаратом(рис. 3).
Обращение в нашу клинику в 2008 г. - демонтаж аппарата (рис. 4). Сегодня укорочение 8 см. Слева - протез стабилен, безболезнен.
Что делать дальше?
1. ревизионное ЭП правого ТБС?
2. формирование опорного бедра?
3. Удлинение бедра на АВФ?
АИФ

<  |  >

 

  • Сообщения о Ортопедия и травматология
  • Также Ильдар Ф. Ахтямов
  • Связаться с автором
  • Ответить

    Re: неопорное бедро
    Александр Рыков 25 Февраль 2009, 23:06
    Ильдар Фуатович, а чего желает больной - еще попытать счастья с правой ногой
    или уже нет. Если хочет - то спейсер антибактериальный, этапное низведение
    бедра и..... и далее по стандартной схеме двухэтапной ревизии с длинной
    ножкой. Если устал - то опорная нога его вероятно устроит. А Рыков.
    Хабаровск.
    [ Ответить ]

    Re: неопорное бедро
    Rashid Tikhilov 26 Февраль 2009, 15:43
    Ильдар Фуатович,
    Если б-й действительно желает получить движения, то есть смысл 1-м этапом потянуть аппаратом 4-5 см, заодно это будет провокацией на предмет дремлющей инфекции, если это получится, то вторым этапом - ножка вагнера ревизионная, м.б. даже не трогая проксимальный отдел. Будут проблемы и с чашкой, заднего края по Р-гр.не видно. Надо быть готовым к кольцу...
    С ув.Р.Тихилов
    [ Ответить ]

    Re: неопорное бедро
    В.М. Николаев 01 Март 2009, 09:53
    Мое мнение, настала пора сделать последнюю операцию на правом бедре - двойную остеотомию бедренной кости с созданием упора и удлиннением в АВФ \ методика Илизарова Г.А.\ Риск неудачи реэндопротезирования крайне велик. Между прочим протез слева стоит больше 10 лет и возможно скоро потребуется его ревизия.
    С уважением Валерий Николаев

    [ Ответить ]

    Re: неопорное бедро
    Корнеев Ф.А. 08 Март 2009, 17:59
    если только на анкилоз идти, но имеющийся металл во впадине не даст. остается только более-менее стабильное сращение в функц выгодном положении
    [ Ответить ]


    ( Ответить )

    Powered by Zope  Squishdot Powered MedLink
    Посетитель: 0000000
      "По форме правильно, а по существу - издевательство" В.И.Ленин
    ©2001-2019Orthoforum Coordinator.
    [ Главная | Отправить сообщение | Поиск | Админ ]