вверх
отправить
поиск
админ
главная
|
Псевдартроз бедра в вертельной области, аваскулярный некроз головки бедра |
 |
 |
 |
Отправлено Гарник Давтян 05 Март 2009, 20:43 УНИИТО, Травматолого-ортопедическое отделение.
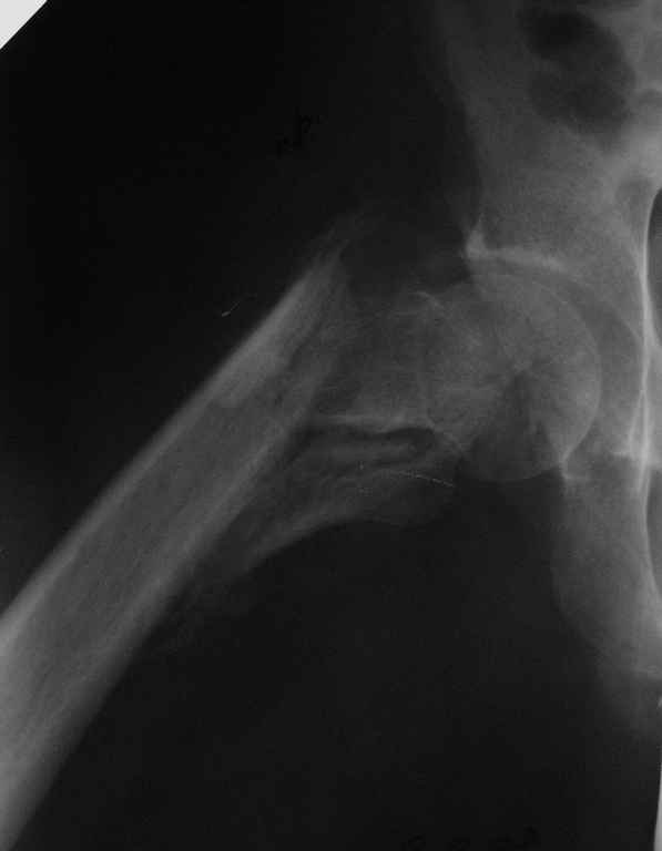
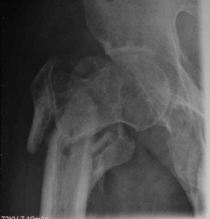
Пациент сорока лет с псевдартрозом правого бедра - исход оскольчатого чрезвертельного перелома с отрывом большого и малого вертелов. Поступил через 8 месяцев после травмы. По месту жительства лечили следующим образом: 2 месяца скелетное вытяжение, затем 2 месяца в кокситной повязке. После снятия гипса дали нагрузку. В настоящий момент имеется укорочение 6 см. Патологическая подвижность. По данным КТ - сращения нет, имеется аваскулярный некроз головки 2 стадии. В данном случае показано эндопротезирование тазобедренного сустава. Просим уважаемых коллег ответить на вопросы, которые возникли у нас по этому больному: 1. Имеет ли смысл выполнять первым этапом остеосинтез псевдартроза, учитывая, что нагрузка на сустав при наличии АНГБ противопоказана? 2. Возможно ли технически сразу выполнить эндопротезирование при наличии такого псевдартроза?
<
|
>
|
|
Ответить
|
Re: Псевдартроз бедра в вертельной области, аваскулярный некроз головки бедра
адонин 07 Март 2009, 18:50
|
Если планируете эндопротезирование - можно сразу протезировать ревизионным протезом, ничего предварительно сращивать не надо. Если у Вас ревизионных ножек нет - не стоит и пытаться
Вопрос в другом. 1) этот снимок не выглядит , как укорочение на 6 см. не понимаю
2) ревизионный протез для сорокалетнего мужчины - не самый радостный вариант. Я бы попробовал срастить перелом, пусть даже с укорочением ина фоне некоторого avn.
максимально возможное сопоставление и стабильная фиксация на восьми месяцах вполне могут привести к сращению
|
[
Ответить ]
|
Re: Псевдартроз бедра в вертельной области, аваскулярный некроз головки бедра
Alexander Chelnokov 08 Март 2009, 00:08
|
> По данным КТ - сращения нет, имеется аваскулярный некроз
> головки 2 стадии. В данном случае показано эндопротезирование тазобедренного сустава.
Форма головки сохранена, перелом, так скажем. не самый угрожающий в отношении ее "фатального" некроза.
Так что, видимо, вполне целесообразна реконструктивная операция, а не эндопротезирование.
Мы бы наложили дистракционный аппарат, возможно, таз-бедро. После восстановления длины и вальгизации сделали бы закрытый интрамедуллярный остеосинтез.
Аналогичная проблема (тема "Ложный сустав вертельной области бедра") как раз в эти же дни обсуждается.
|
[
Ответить ]
|
Re: Псевдартроз бедра в вертельной области, аваскулярный некроз головки бедра
Корнеев Ф.А. 08 Март 2009, 17:48
|
ставьте сразу тотальный эндопротез
|
[
Ответить ]
|
Re: Псевдартроз бедра в вертельной области, аваскулярный некроз головки бедра
kerimov artur 08 Март 2009, 18:03
|
два типа решения проблемы. они уже перечислены уважаемыми коллегами. А действовать нужно так как лучше умеете. ну и в наше время не последнее место имеет финансовая сторона вопроса
|
[
Ответить ]
|
Re: Псевдартроз бедра в вертельной области, аваскулярный некроз головки бедра
Djoldas Kuldjanov 10 Март 2009, 20:18
|
>По данным КТ - сращения нет, имеется аваскулярный некроз головки 2 стадии
Известно, что травматическая этиология в образовании Аваскулярного Некроза головки играет важную роль, но при чрезвертельных переломах трудно представить повреждение MCA, обеспечивающей около 80% кровоснабжения головки бедра.
Если имеются данные изотопного сканирования, кстати при начальных этапах это не всегда дает 100% результат, можно было бы выставить. А то на рентгенограмме не видно явлений, указывающих на АВН.
Лучше сделать МРТ, которая поможет аккуратно определить все стадии АВН.
Исследования убедят в правильности принятия решения, и у 40 летнего идти на ревизионный протез считаю немного агрессивным.
Вариант фиксации разбирается в разделе "ложный сустав вертельной области", так что тактика - сначала низведение, а потом фиксация.
Djoldas Kuldjanov, MD
Department of Orthopedic Surgery
St. Louis University Medical Center
|
[
Ответить ]
|
Re: Псевдартроз бедра в вертельной области, аваскулярный некроз головки бедра
Слободской А.Б. 15 Март 2009, 19:01
|
В данной ситуации - только эндопротезирование и только ревизионной ножкой. Не нужно смотреть на возраст. Понятно, что в 40 лет эндопротезирование выполняется не от хорошей жизни. Любые другие варианты лечения наврядле дадут положительный результат, а только усугубят ситуацию.
|
[
Ответить ]
|
Re: Псевдартроз бедра в вертельной области, аваскулярный некроз головки бедра
Отправитель: Maxim Agalakov 16 Март 2009, 22:07
|
>В данной ситуации - только эндопротезирование и только ревизионной ножкой
зачем такая категоричность?,КТ признаки аваскулярного некроза могут остаться диагностической находкой, импрессионного перелома нет. Остеосинтез проксимальным гвоздем через аппарат вполне может решить проблему несращения и укорочения. В дальнейшем, других операций может и не потребоваться.Даже если представить себе, что АВН будет прогрессировать, выполнить эндопротезирование будет гораздо проще после восстановления проксимального отдела бедра, ревизионные ножки скорее всего не потребуются.
|
[
Ответить ]
|
|
( Ответить )
|
|