AOTRAUMA.ORG Центр Илизарова  

Ортопедия и травматология Общие вопросы/General questions Help Информационные технологии в медицине
 вверх
 отправить
 поиск
 админ
 главная


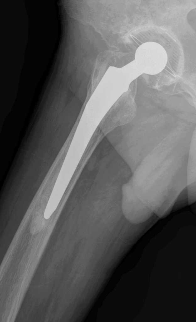
Нестабильность эндопротеза тазоберденного сустава. Ревизия
Ортопедия и травматология Отправлено Евгений 09 Март 2009, 17:03
Уважаемые коллеги. Прошу оценить Р-граммы больного после протезирования т\б суставов.
Больной М.,75л. Страдает коксартрозом. В 2005 справа и в 2007 г. слева эндопротезирование т\б суставов.
Через полгода после операции появилась боль в правой паховой области, правом бедре(средней и верхней третях)при движениях и особенно осевой нагрузке на правую ногу.
Неоднократно Р графия т\б суставов, сцинтиграфия костей скелета без четких данных,с нашей точки зрения, за нестабильность комопнентов протеза справа.
Оцените, пожалуйста, предстваленные Р граммы, имеются ли на них признаки нестабильности?

<  |  >

 

  • Сообщения о Ортопедия и травматология
  • Также Евгений
  • Связаться с автором
  • Ответить

    Re: Нестабильность эндопротеза тазоберденного сустава. Ревизия
    Сергей 10 Март 2009, 16:50
    На мой взгляд, оба бедренных компонента нестабильны, это и является причиной боли. Оба компонента явно меньше требуемого размера. Ножка Мюллера показывает отличные результаты, но только при формировании рассеченной цементной мантии.
    [ Ответить ]

    Re: Нестабильность эндопротеза тазоберденного сустава. Ревизия
    Андрей Каминский 10 Март 2009, 22:22
    Евгений, справа ножка нестабильна, возможно она уже развернулась в мантии, да и вокруг чашки есть просветления. Видимо надо планировать повторное вмешательство с удалением ножки и цемента. Ножка должна удалиться легко, цемент в значительной своей части тоже. Сменить ножку лучше на бесцементную и не обязательно ревизионную, пойдет любая с элементами диафизарной фиксации. Состояние впадины оцените во время операции.
    Удачи.
    Каминский Андрей, г.Курган.
    [ Ответить ]

    Re: Нестабильность эндопротеза тазоберденного сустава. Ревизия
    Евгений 11 Март 2009, 02:13
    Уважаемые коллеги.Спасибо за оценку.
    Хотя у меня остается сомнение: кроме наличия клинических проявлений, которые, возможно, маскируют радикулярный синдром, настораживает отсутствие реакции со стороны костной ткани в виде stress shilding или остеолиза. Чем это объяснить?
    [ Ответить ]

    Re: Нестабильность эндопротеза тазоберденного сустава. Ревизия
    Евгений 11 Март 2009, 02:13
    Уважаемые коллеги.Спасибо за оценку.
    Хотя у меня остается сомнение: кроме наличия клинических проявлений, которые, возможно, маскируют радикулярный синдром, настораживает отсутствие реакции со стороны костной ткани в виде stress shilding или остеолиза. Чем это объяснить?
    [ Ответить ]

    Re: Нестабильность эндопротеза тазоберденного сустава. Ревизия
    Евгений 11 Март 2009, 02:13
    Уважаемые коллеги.Спасибо за оценку.
    Хотя у меня остается сомнение: кроме наличия клинических проявлений, которые, возможно, маскируют радикулярный синдром, настораживает отсутствие реакции со стороны костной ткани в виде stress shilding или остеолиза. Чем это объяснить?
    [ Ответить ]

    Re: Нестабильность эндопротеза тазоберденного сустава. Ревизия
    Максимов Сергей 11 Март 2009, 03:20
    Признаки нестабильности ножки заметные, выраженная демаркация зоны кость - цемент. Нестабильность чашки сомнительная. Согласен, не обязательно применение ревизионной ножки, но фиксацию предпочел бы цементную. Данный метод фиксации уменьшает риск интраоперационного перелома бедра, упрощает и ускоряет период реабилитации пациентов пожилого возраста. Вероятно, желательно применить другой тип ножки, я бы использовал CS (CSL) -PLUS Plus Orthopedics, т.с."бюджетный" вариант. Может возникнуть проблема с удалением цементной "пробки".
    С уважением, Сергей. Московская область.
    [ Ответить ]

    • Re: Нестабильность эндопротеза тазоберденного сустава. Ревизия
      Отправитель: Каминский Андрей 14 Март 2009, 12:19
      С повторной цементной фиксацией, при всей ее простоте и привлекательности, есть вот какая заковыка. После удаления цемента из канала, там остается гладкая, покрытая тонкой рубцовой выстилкой, поверхность кости. Даже при наличии отличного ревизионного инструментария и агрессивных рашпилей, вернуть кости вид, пригодный для прочного цементирования, бывает очень не просто. Результатом является четко видимая граница между костью и цементом уже на контрольных рентгенограммах до снятия швов.
      Проходит очень не много времени до повторной нестабильности, а это уже совсем другая ревизия...
      Каминский Андрей.

      [ Ответить ]
    Re: Нестабильность эндопротеза тазоберденного сустава. Ревизия
    Корнеев Ф.А. 11 Март 2009, 10:39
    проведите обследование поясничного отдела позвоночника и седалищного нерва. бывает достаточно часто. а р/гр не так уж плохи.
    [ Ответить ]

    Re: Нестабильность эндопротеза тазоберденного сустава. Ревизия
    Максимов Сергей 11 Март 2009, 22:50
    Уважаемый Евгений, понятие стресс шилдинга не является синонимом нестабильности, хотя и является признаком неадекватности распределения нагрузки в системе "имплантат - кость" и может в последствие привести к "расшатыванию" эндопротеза.В данном случае на рентгенограмме правого тазобедренного сустава отчетливо видна сформированная "замыкательная пластинка" на внутреней поверхности кости (на границе с цементом). Причем, как раз в проксимальном отделе сегмента, то есть в зоне определяющей стабильность имплантатов типа Мюллер.
    Болевой синдром в тазобедренном суставе при осевой нагрузке не характерен для корешкового с-ма или ишалгии. В данном случае, скорее всего мы наблюдаем "обратный" "с-м поршня". Когда изменение давления в костномозговом канале за счет перемещения нестабильной ножки (поршня)передается не в дистальные отделы бедра (классический "с-м поршня"), а за счет неподвижной (или малоподвижной) цементной пробки "отражается" в проксимальную часть, где и возникает боль. Возможно, конечно и наложение неврологическои и ортопедической симптоматики. Но, на мой взгляд, данные рентгенограммы дают достаточно информации о наличие проблем, по крайней мере, со стороны ножки эндопротеза правого тазобедренного сустава. А R-граммы, действительно хорошие... по качеству.
    С уважением, Сергей.
    [ Ответить ]

    Re: Нестабильность эндопротеза тазоберденного сустава. Ревизия
    Евгений 12 Март 2009, 03:28
    Поясничный отдел п-ка обследован- спондилоартроз и остеохондроз. Вообще- то боль в паховой области бывает обусловлена не только заболеванием тазобедренного сустава, но и поражением( ущемлением)корешков L 2-3 с этой стороны. Хотя, проведеные блокады результата не возымели. Спасибо за помощь. Будем дальше решать, что делать с этим пациентом.
    [ Ответить ]

    Re: Нестабильность эндопротеза тазоберденного сустава. Ревизия
    Евгений 12 Март 2009, 03:29
    Поясничный отдел п-ка обследован- спондилоартроз и остеохондроз. Вообще- то боль в паховой области бывает обусловлена не только заболеванием тазобедренного сустава, но и поражением( ущемлением)корешков L 2-3 с этой стороны. Хотя, проведеные блокады результата не возымели. Спасибо за помощь. Будем дальше решать, что делать с этим пациентом.
    [ Ответить ]

    Re: Нестабильность эндопротеза тазоберденного сустава. Ревизия
    Алексей 14 Март 2009, 14:12
    На мой взгляд имеет место нестабильность обоих бедренных компонентов. Боль, которая имеет место у больного характерна при проблемах в области тазобедренного сустава. Нужно рассматривать вопрос о ревизионном эндопротезировании, в частности бедренного компонента.
    [ Ответить ]


    ( Ответить )

    Powered by Zope  Squishdot Powered MedLink
    Посетитель: 0220460
      "По форме правильно, а по существу - издевательство" В.И.Ленин
    ©2001-2019Orthoforum Coordinator.
    [ Главная | Отправить сообщение | Поиск | Админ ]