вверх
отправить
поиск
админ
главная
|
Осложнение после операции на hallux valgus |
 |
 |
 |
Отправлено Быстров Сергей 04 Апрель 2009, 11:56 Тверь. Областная больница
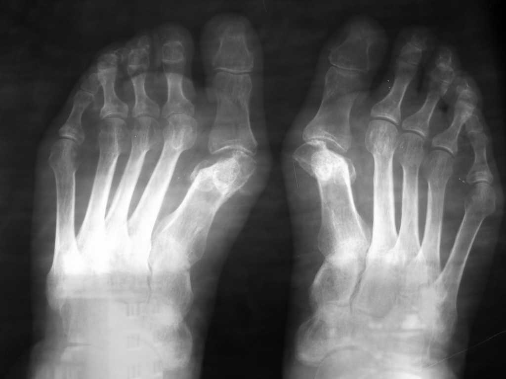
Уважаемые коллеги. Помогите определиться с дальнейшей тактикой лечения. У пациентки после операции по поводу вальгусной деформации 1-х пальцев стоп, выполненной в одной из клиник нашего города 8 месяцев назад имеется картина асептического некроза головок 1-х плюсневых костей. Беспокоят боли в плюсне-фаланговых суставах, больше на правой ноге. (По-видимому, была выполнена операция Шаде-Бома с клиновидной резекцией головок 1-х плюсневых костей). Помогите советом. Мы думаем выполнить моделирующую резекцию головок плюсневых костей, удалить экзостозы, сформировать по возможности сферическую форму головок. Либо напрвить больную на эндопртезирование плюсне-фаланговых суставов.
<
|
>
|
|
Ответить
|
Re: Осложнение после операции на hallux valgus
Нещасный Андрей, 5 ЦВКГ ВВС 04 Апрель 2009, 13:34
|
Уважаемый Сергей. Не могли бы Вы выложить Р-граммы стоп?
|
[
Ответить ]
|
Re: Осложнение после операции на hallux valgus
Отправитель: Нещасный Андрей, 5 ЦВКГ ВВС 04 Апрель 2009, 22:42
|
В данном случае(42 года), надо пытаться сохранить подвижность в 1 ПФС. Мое мнение - эндопротезы.
|
[
Ответить ]
|
|
Re: Осложнение после операции на hallux valgus
КОНСТАНТИН 04 Апрель 2009, 19:50
|
сколько лет больной?
|
[
Ответить ]
|
Re: Осложнение после операции на hallux valgus
Максим Королев 04 Апрель 2009, 20:22
|
Я бы попробовал эндопротезирование.
|
[
Ответить ]
|
Re: Осложнение после операции на hallux valgus
Быстров Сергей 04 Апрель 2009, 21:00
|
Больной 42 года.
|
[
Ответить ]
|
Re: Осложнение после операции на hallux valgus
Симаков В. Г. Врач ортопед-травматолог Мурманской областной клинической больницы 04 Апрель 2009, 23:27
|
Уважаемый Сергей, Вам необходимо выполнить артро-пластику первых плюсне-фаланговых суставов. Эндопротезирование на стопе делать нецелесообразно. Если интересует моё подробное мнение по каким-то отдельным моментам, можете написать на e-mail.
|
[
Ответить ]
|
Re: Осложнение после операции на hallux valgus
Юрий Алексеевич Булахтин 05 Апрель 2009, 04:07
|
Уважаемый Сергей!
Эндопротезирование этих суставов - в наши дни не до конца решенная проблема, мягко говоря. Попросите тех, кто это советует поделиться материалами успешно проведенных случаев. О некрозе головок говорить рано. Хорошо продумайте варианты проксимального вмешательства - остеотомия/артродез типа Альбрехта-Юсевича и т.д.
Дистально определитесь после измерения костной плотности по КТ. Если головки действительно живые можно фиксировать их любым способом. Я бы провел погружные винты со стороны сустава (если нету можно обычные - срезаете головкувинта, запиливаете тело под отвертку и погружаете в хрящ на 2-3мм). Если нет - простое удаление и артропластика вокруг того, что осталось от первых плюсневых не помогут. Надо аппаратом удлиннять кости до нормальной длины иначе будет потеряна основная точка опоры на стопе - головка первой плюсненвой.
Не оперируйте две стопы сразу.
Суважением и пожеланием успехов,
Юрий Алексеевич Булахтин,
главный травматолог Камчатского Военно-морского госпиталя.
|
[
Ответить ]
|
Re: Осложнение после операции на hallux valgus
Отправитель: Батал Шушания 05 Апрель 2009, 13:14
|
об асептическом некрозе головк плюсневых костей, на самом деле, говорить рано. На сей момент имеет место неконгруэнтоность в первых плюснефаланговых суставах, которое надо устронять. Об эндопротезировании в данном случае говорить не приходится, весьма не пригодное состояние костной ткани для данного вида вмешательства. Я бы предпринял на первых плюсневых костях ревизионную СКАРФ остеотомию с восстановлением конгруэнтности в первых плюснефаланговых суставах и одновреенным выполнением латериального релиза для восстановления мягкотканного баланса.
Далее (не понятно какая правая а какая левая стопа-нет маркировки)на левой стопе наобходимо вмешательство на втором, третьем и четвертом лучах - имеет место крючкообразная деформция пальцев и к тому же на помешало бы некоторое укорочение длины перечисленных плюсневых костей , так как длина первой плюсневой кости неадекватно мала.
Конечно, для определения более точной тактики лечения, необходимо смотреть стопы,более точно определиться с жалобами пациентки и что она хочет сама.
По моему, стопам необходима большая реконструктивная операция...
Такие операции делают в Москве несколько клиник с использованием современных фиксатором остеотомированных участков костной ткани.
Удачи.
С уважением Шушания Батал Алексеевич. Московская обл., Красногорский р-н п. Новый
3 ЦВКГ имени А. А. Вишневского.
|
[
Ответить ]
|
Re: Осложнение после операции на hallux valgus
Отправитель: Быстров Сергей 05 Апрель 2009, 16:14
|
Спасибо Юрий Алексеевич. Я так понял, что вы предлагаете выполнить дистально корригирующую остеотомию под измененной головкой плюсневой кости с виксацией винтом Барука. А проксимально возможно выполнить остеотомию в основании плюсневой кости, устранив ее медиальное отклонение. Я, к сожалению, не нашел что это за операция Альбрехта - Юсевича.
А по поводу вашей пациентки. Мое мнение, что пока активно вмешиватся не стоит. Понаблюдайте, время покажет. Если в будующем будет несостоятельность остеосинтеза, то я бы выбрал пластину с угловой стабильностью в качестве фиксатора. Возможно, понадобится укорочение плеча, костная пластика губчатым трансплантатом из таза.
|
[
Ответить ]
|
|
Re: Осложнение после операции на hallux valgus
Быстров Сергей 05 Апрель 2009, 15:39
|
Всем большое спасибо.
Кроме всего сказанного коллеги предлагали выполнить артродез плюснефалангофого сустава. Но мне этот вариант не очень нравится, учитывая возраст пациентки (42 года).
|
[
Ответить ]
|
Re: Осложнение после операции на hallux valgus
Отправитель: Батал Шушания 05 Апрель 2009, 20:38
|
Альбрехта-Юсевича в иностранной литературе называют Операция-Lapidus
|
[
Ответить ]
|
|
Re: Осложнение после операции на hallux valgus
Корышков Николай 05 Апрель 2009, 22:36
|
Уважаемый Сергей! При взгляде на представленные рентгенограммы не сложилось впечатления об асепт. некрозе головок первых плюсневых костей. Узнать о целях и технике выполненного вмешательства, видимо, не удастся. Не достаточно данных Вашего осмотра, есть ли натоптыши под головками остальных плюсневых костей, каких? Степень смещаемости первого луча? Судя по положению сессамовидных костей, есть надежда на восстановление отношений в первом ПФС, после остеотомий Скарфа, Людлофа или Лапидуса (либо -либо) с фиксацией винтами Герберта или Бароука. Дополнил бы аддуктотомией (2 м/п промеж) и операцией Мак-Брейта. При "натоптышах" под головками 2-3-4- пл. костей использовал бы разгружающие чрезшеечные остеотомии по Вейлу ( на 5-й пл.-медиализирующую остеотомию ее диафиза), с фиксацией аналогичными винтами (разной длины). Избыточную мобильность пяточной кости в подтаранном суставе при вальгусном ее положении (если в вашем случае это присутствует) я корректирую постановкой кейджа в тарзальный синус. Опыт эндопротезирования имею только с использованием Moje-implants, в данном случае считаю ЭП - возможным, конкретно под тип протеза и + с использованием костной пластики.
С уважением, Николай Корышков.
РНИИТО им.Р.Р.Вредена.
|
[
Ответить ]
|
Re: Осложнение после операции на hallux valgus
Отправитель: Батал Шушания 06 Апрель 2009, 01:37
|
Полностью разделяю мнение Корышкова Николая. Для принятия решения о дальнейшей тактики лечения, необходимо тщательное исследование стоп пациентки, исследование рентгенснимков стоп выполненных в разных проекциях и конечно узнать, чего хочет сама пациентка. Собрав и оценив весь этот материал,только тогда вы можете выбирать методы коррекций деформации на каждом луче переднего отдела стопы (их множество)иногда на одной стопе приходиться сочетать несколько методик остеотомий и артродезирование.
Все очень индивидуально.
с УВАЖЕНИЕМ Шушания Батал
3 ЦВКГ имени А. А. Вишневского.
|
[
Ответить ]
|
Re: Осложнение после операции на hallux valgus
Отправитель: Иван 13 Апрель 2012, 15:58
|
Сергей, какое-то решение принято? Пациентка дообследована? (Для подтверждения асептического некроза головок костей желательно МРТ стоп).
Возможно имеет место вторичное смещение фрагментов и остеопороз. Возможна консультация у нас в отделении
Иван. Вышний Волочек. vtrauma@mail.ru
|
[
Ответить ]
|
|
( Ответить )
|
|