AOTRAUMA.ORG Центр Илизарова  

Ортопедия и травматология Общие вопросы/General questions Help Информационные технологии в медицине
 вверх
 отправить
 поиск
 админ
 главная
 Предыдущее


Re: Шейка плеча
Djoldas Kuldjanov 18 Апрель 2009, 00:30
По тактике - разделяю Ваше мнение об отсутствии необходимости реостеосинтеза, а тем более об эндопротезировании, хотя это все было предложено пациентке ведущими отропедами-травматологами


В классификации переломов по Neer дается ответ по тактике, как лечить эти переломы, и все зависит от частей вовлеченных в перелом.

http://hwbf.org/ota/bfc/schmi1/exp.htm


В большинстве случаев (85%) закрытые неосложненные (из двух частей) переломы проксимального плеча (особенно у молодых 56 лет) консолидируются без операции в течение 4 недель на косыночной повязке.

Показаниями к операции является 1 см и более смещение между отломками и угловое смещение более 45 градусов. Литературные данные поддерживают, что смещение большого бугорка 5 мм является показанием для открытой репозиции.


У молодых переломы со смещением, состоящие из 2 и 3 частей, показаны к открытому остеосинтезу. Трудно лечить переломы из 4 частей, у пожилых обычный парциальный эндопротез создаст максимум комфорт, а у молодых, несмотря на высокий процент осложнений, желательно сопоставить открытым методом.

Описаны множество вариантов оперативной техники при свежих переломах: пластина, гвоздь, перкутанные спицы (проблема с миграцией), включая методику Лазарева напряженными спицами.


Но первичный остеосинтез в шестинедельный срок большой риск, лучше было бы подождать до консолидации перелома и до ре-кондиции мягкого покрова.

Восстановительные операции (остеотомия) на проксимальном плече делают тогда, когда результат консервативного лечения не удовлетворяет больного. Желательно такие операции проводить после восстановления движения в суставе.



Для облегчения рентгенологического контроля во время операции мы применяем полусидячее, так называемое положение “beach chair” на операционном столе. Наши столы позволяют поднять ножной конец до необходимой высоты, только надо усадить больного к ножному концу стола.

Ошибки встречаются тогда, когда удовлетворяются только одной проекцией рентгена.





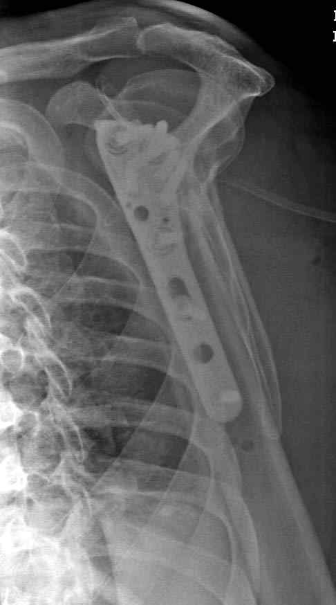
Здесь пример открытой репозиции 57 летнего с переломом плеча (1,2) смещение обнаружено на интероперационном снимке. При нормальной прямой проекция (3) угловое смещение обнаружили в аксиальной проекции (4)

После устранения смещения пластина установлена выше (5,6,7) и финальные снимки (8,9,10)


Подбор импланта тоже имеет значение, например многие импланты направлены для фиксации перелома без учета ротаторной манжетки. Предпочтительными являются низко сидящие полиаксиальные пластины, где верхние шурупы можно проводить под углом в 120 градусов. (11)

Пластина от Synthes или ее копии (надеюсь простят критику друзья из Деоста) считаются трудным из-за обширности доступа, особенно при установке верхне-заднего шурупа, где доступ надо расширять в верхнем отделе до ротаторной манжетки. Верхне сидящие импланты предназначены для проведения опоры (buttress) за бугристость плеча, но тогда приходится сталкиваться с подакромиальным импинжментом.





http://products.synthes.com/prod_support/Product%20Support%20Materials/Technique%20Guides/SUSA/SUTG35LcpPrxhumPltJ4029F.pdf

Интересно, но факт, что в некоторых странах платежеспособность больного играет немаловажный фактор в расширении показании к операции от ре-остеосинтеза до эндопротезирования.

Хотя в данном случае после такого остеосинтеза трудно угадать, что будет в ближайшее время, все зависит от желания и активности больной. Отсутствие позитивной динамики в амплитуде движении и болевой симптом является показанием к ре-остеосинтезу.



Djoldas Kuldjanov, M.D.

Department of Orthopedic Surgery

St.Louis University

  • Сообщения о Ортопедия и травматология
  • Также Djoldas Kuldjanov
  • Связаться с автором
  • Ответить

    Re: Шейка плеча
    Djoldas Kuldjanov 20 Апрель 2009, 19:33


    дополнительные снимки по протезированию

    Djoldas Kuldjanov, MD
    Department of Orthopedic Surgery
    St. Louis University Medical Center

    [ Ответить ]


    ( Ответить )

    Powered by Zope  Squishdot Powered MedLink
    Посетитель: 0183270
      "По форме правильно, а по существу - издевательство" В.И.Ленин
    ©2001-2019Orthoforum Coordinator.
    [ Главная | Отправить сообщение | Поиск | Админ ]