ВХОД ДЛЯ ПАЦИЕНТОВ
вверх
поиск
админ
главная
|
деформация вертлужной впадины |
 |
 |
 |
Прислано Danil Bliznets 20 Апрель 2009, 14:41
из УНИИТО
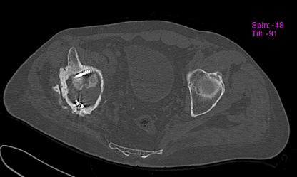
Пациент 49 лет, паровозная травма 23.2.2006, получил вертикальная нестабильное повреждение таза, разрыв левого крестцово-подвздошного сочленения, перелом лонной, седалищной костей слева, T-образный оскольчатый перелом правой вертлужной впадины с переломом заднего края, вывих правого бедра, посттравматическая пояснично-крестцовая плексопатия с обеих сторон, паралич мышц правой голени.
В день травмы - вправление вывиха, скелетное вытяжение, 14.3.2006 чрескостный остеосинтез таза. 20.4.2006 остеосинтез правой вертлужной впадины пластинами, осложнившийся нагноением межмышечной гематомы правой ягодичной области. Получал консервативное лечение, было достигнуто полное заживление раны. 24.7.2006 введены илиосакральные винты слева. С декабря 2006 года и по настоящее время ходит на костылях без опоры на правую ногу. Планируется THA. Помогите определиться с вариантом костной пластики? И какую укрепляющую конструкцию использовать?
Обратите внимание: Поля с жирными названиями обязательны.
Старайтесь отвечать в рамках обсуждаемой темы, а не начинать новые обсуждения.
Указывайте адекватную тему сообщения, чтобы было ясно, о чем оно.
Не послайте сообщений не по теме (оффтопик), раздраженных, грубых или обидных комментариев. Здесь это неуместно.
|