AOTRAUMA.ORG Центр Илизарова  

Ортопедия и травматология Общие вопросы/General questions Help Информационные технологии в медицине
 вверх
 отправить
 поиск
 админ
 главная


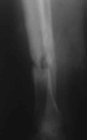
Посттравматический ложный сустав б/берцовой кости.
Ортопедия и травматология Отправлено Abdurashid 13 Май 2009, 20:45
Добрый вечер, уважаемые коллеги! Обратилась женщина, 30 лет. ДТП 11 октября 2008 г. Из выписки: О/многооскольчатый перелом костей левой голени по Каплану 3В,
ПХО раны, гипсовая повязка, перевод в гор.б-цу, в 21.10.08г КДО аппаратом Илизарова(почему-то в вальгусном положении), ч-з два месяца тромбофлебит лев.н/конечности, отеки, воспаление, и аппарат сняли, с тех пор ходит в гипсовой повязке со стременем. к-рую периодически меняют, якобы кость со временем срастется.
На уровне н/з голени глубокие рубцы по передне-медиальной поверхности, умеренная отечность голени, незначительная патологическая подвижность, умерен. болезненность, ось правильная, укорочение 1,5см.
Наш план БИОС после остеоклазии м/берцовой кости. Но укорочение еще будет увеличиваться!
Уважаемые коллеги, какие будут предложения?
Больная от повторного КДО пока отказывается.
С уавжением Абдурашид.

<  |  >

 

  • Сообщения о Ортопедия и травматология
  • Также Abdurashid
  • Связаться с автором
  • Ответить

    Re: Посттравматический ложный сустав б/берцовой кости.
    Alexander Chelnokov 16 Май 2009, 23:59
    Как стратегический план - вполне приемлемо, но есть много тактических вопросов. И сохранение длины, и трудности с восстановлением оси, и канал сформировать нелегко будет, да еще и риск инфекции. Мы бы, наверно, сделали в два этапа - восстановление длины и оси аппаратом, потом гвоздь с цементным покрытием.
    [ Ответить ]


    ( Ответить )

    Powered by Zope  Squishdot Powered MedLink
    Посетитель: 0058947
      "По форме правильно, а по существу - издевательство" В.И.Ленин
    ©2001-2019Orthoforum Coordinator.
    [ Главная | Отправить сообщение | Поиск | Админ ]