вверх
отправить
поиск
админ
главная
|
Помогите определиться с диагнозом |
 |
 |
 |
Отправлено Дмитрий Бекреев 26 Май 2009, 21:35 УНИИТО
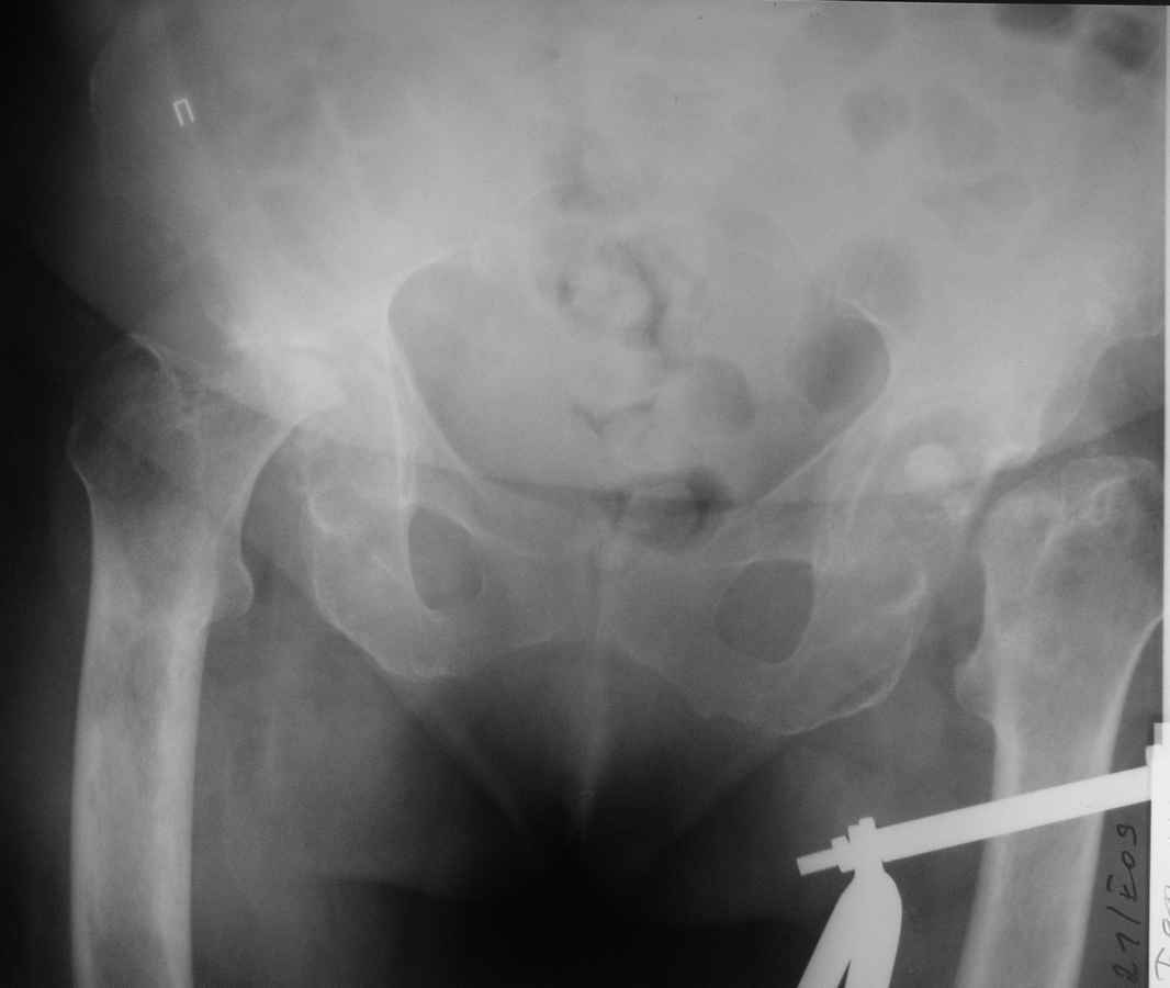
Здравствуйте уважаемые коллеги. Поступила женщина 60 лет с переломом левого бедра в н/3 диафиза, травма произошла около 2-х недель назад, упала дома. При сборе анамнеза установлено, что в течении 3-х последних лет больную беспокоили боли в тазобедренных суставах, и уже около 1,5 лет она передвигается только на сидячей каталке. При дополнительном обследовании выявлена данная рентгенологическая картина. Факт какой-либо травмы отрицает, поражения мелких и средних суставов кистей и стоп нет, в анализе крови – СОЭ – 60мм/ч, лейкоцитоза нет. Помогите, пожалуйста, определиться с диагнозом, какие исследования необходимо провести. По тактике лечения – планируем интрамедуллярный остеосинтез левого бедра, эндопротезирование тазобедренного сустава справа. После сращения бедра – эндопротезирование левого тазобедренного сустава.
<
|
>
|
|
Ответить
|
Re: Помогите определиться с диагнозом
Evgeuny Tchekashkine 27 Май 2009, 18:20
|
Dmitriy,
Iskluchite joint infection - Rg napominaet ishod sustavnogo sepsisa, vozmozhno tuberculesa.
Uspehov,
Evgeuny Tchekashkine
|
[
Ответить ]
|
Re: Помогите определиться с диагнозом
Отправитель: Suvorov M S 25 Июнь 2009, 14:58
|
При неспецефической инфекционном артрите исход - анкилозирование. При туберкулезе тазобедренного сустава, как правило, поражается крыша вертлужной впадины. Скорее всего асептический некроз. Нет ли в анамнезе системного заболевания с длительным приемом ГКС, СД?
|
[
Ответить ]
|
Re: Помогите определиться с диагнозом
Отправитель: Дмитрий Бекреев 30 Июнь 2009, 15:55
|
Нет, ничего подобного в анамнезе нет. Все ревмопробы отрицательные, на туберкулез пациентка ежегодно проходила обследование.
Единственное, что обращает на себя внимание, то что эти три года пациентка ведрами употребляла какие-то БАДы, но вряд-ли это имеет отношение к причине заболевания.
С уважением, Бекреев Дмитрий
|
[
Ответить ]
|
|
Re: Помогите определиться с диагнозом
А. Рыков 27 Май 2009, 18:29
|
Интрамедуллярный остеосинтез предусматривает гвоздь в канал - затем его удаление и только затем эндопротезирование. А не хотите так.......
остеосинтез в н\3 бедра пластиной, затем через краткий промежуток эндопротез с другой стороны. получим одну ногу. затем второй эндопротез. Не нужно убирать металл и повышать всякие риски, сроки реабилитации меньше и лечение не затянется.
А. Рыков Хабаровск
|
[
Ответить ]
|
Re: Помогите определиться с диагнозом
С.И. Мазуренко 28 Май 2009, 00:57
|
Ув. Дмитрий Бекреев!
В моей практике была ситуация когда в начале синтезировался перелом н/3 бедренной кости пластиной, затем через 1/2 года эндопротезирование тазобедренного сустава с этой же стороны. Перед второй операцией пришлось тщательно просчитывать величину ножки, а во время самой операции (2-й), через дополнительный доступ выкрутить пару верхних винтов с пластины, и поставить по-короче, на один кортикальный слой.
Что касается обследования ВАшей пациентки, я бы проконсультировал её у ревматолгов, а так же "прокрутил" на возможный затихший туберкулез (снимки легких с томограммами средостения и т.д.) Поверьте, очень неприятно при имплантации вертлужного компонента получить инкапсулированные казеозные массы. Был бы рентген-архив - было бы проще.
По тактике - я согласен с доктором А. Рыковым из Хабаровска.
С ув. С.И. Мазуренко, СПб
|
[
Ответить ]
|
Re: Помогите определиться с диагнозом
Женя 23 Июнь 2009, 23:26
|
Пациентка сложная, малопонятная. СОЭ бывает и при кариесе во рту.
Куда девались головка и шейка бедра слева?
Рентгеновская картина шибко напоминает вторичные костные изменения при всяких неврологических делах (типа сирингомиелии) - когда эпифизы просто рассасываются. А может это идиопатический асептический некроз?
Был бы здесь инфекционный процесс, то это как-нибудь проявлялось внешне и пациентка об этом обязательно бы рассказала (т.е. был некий эпизод с лихорадкой, резким нарушением функции с последущим улучшением и т.д и т.п.).
Перелома н/3 диафиза не видно, но тем не менее, я бы решал проблемы по мере поступления - сначала перелом, а потом всякие ортопедические реконструкции (через 9-12 мес.)
Удачи!
|
[
Ответить ]
|
Re: Помогите определиться с диагнозом
Отправитель: Дмитрий Бекреев 30 Июнь 2009, 15:52
|
Спасибо за пожелание.
Этому плану мы и следуем. Около месяца назад выполнили ретроградно закрытый интрамедуллярный остеосинтез бедра, сейчас планируем эндопротезирование на противоположной стороне.
Рентгенограммы бедра не выложил, потому что вопросов по этому поводу не возникло.
С уважением, Бекреев Дмитрий
|
[
Ответить ]
|
|
( Ответить )
|
|