AOTRAUMA.ORG Центр Илизарова  

Ортопедия и травматология Общие вопросы/General questions Help Информационные технологии в медицине
 вверх
 отправить
 поиск
 админ
 главная


курьзный случай
Ортопедия и травматология Отправлено Djoldas Kuldjanov 30 Май 2009, 10:22
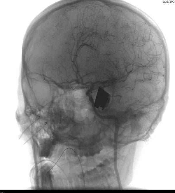
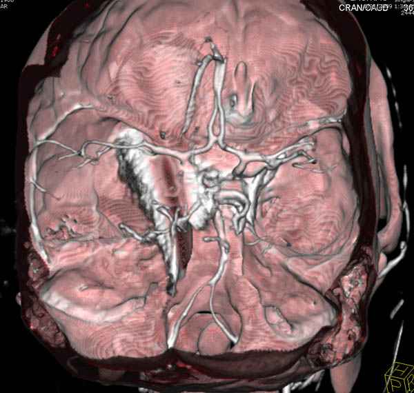
Уважаемые коллеги,Основную массу ургентной травмы в крупных городах Америки оказывают в центрах Травмы Первого Уровня. Ну не так как в популярных телесериалах типа "Emergency Room", но общая атмосфера похожая, где кроме травмы скелета принимаются все остальные ургентные случаи.
В своих выступлениях я рассказывал, что наши центры в мирное время по пенетрирующим травмам не уступает Ираку или Афганстану, и вот недавно к нам поступила больная 22 лет, травма "ножом в глаз" от бывшей подруги нынешнего "бой френда".
При поступлении в сознании, жаловалась на неприятные ощущения в глазнице.
По протоколу сделаны все необходимые исследования: рентген, ангиограмма с 3Д реконструкцией, где обнаружили что все жизненно важные сосуды не задеты, даже некоторые "сидят" изгибаясь на ноже.
Одним махом нож удалить не удалось, пришлось раскачать и потом двумя руками удалили нож. Рана без кровотечения, обработана и зашита.

Djoldas Kuldjanov, MD
Department of Orthopedic Surgery
St. Louis University Medical Center

<  |  >

 

  • Сообщения о Ортопедия и травматология
  • Также Djoldas Kuldjanov
  • Связаться с автором
  • Ответить

    Re: курьзный случай
    Paul 30 Май 2009, 15:40
    Замечательный случай для демонстрации диагностических и тактических действий.
    В больницах г. Екатеринбурга тоже случались подобные ситуации, но тактические действия врачей чаще диктуются интуицией и внутренней мотивацией к героизму и т.п.
    Огромное спасибо.
    [ Ответить ]

    Re: курьзный случай
    Заднепровский Никита 30 Май 2009, 21:11
    "Рана без кровотечения, обработана и зашита."

    Неужели и глаз невредимм оказался?

    [ Ответить ]

    Re: курьзный случай
    Антон Андрианов 31 Май 2009, 07:57
    Отличный пример современного подхода к проблеме.Проиллюстрированы все технические и материальные возможности, которые позволили врачам безопасно удалить нож.30 лет назад был подобный случай - доставлен пациент с ножом в правой височной области, в проекции a.meningea media,длина лезвия до 6 см.Мнения молодых врачей разделились, от простого удаления ножа в операционной до трепанационной ревизии височной зоны.Заведующий отделением просто выдернул нож в перевязочной, назначил ПСС и пенициллин.Через 7 дней пациент без дефекта был выписан.
    [ Ответить ]


    ( Ответить )

    Powered by Zope  Squishdot Powered MedLink
    Посетитель: 0167859
      "По форме правильно, а по существу - издевательство" В.И.Ленин
    ©2001-2019Orthoforum Coordinator.
    [ Главная | Отправить сообщение | Поиск | Админ ]