ВХОД ДЛЯ ПАЦИЕНТОВ
вверх
поиск
админ
главная
исходное
|
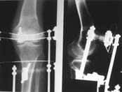
Re: низведение надколенника
послал Leonid Solomin 30 Июнь 2009, 15:29
|
Уважаемый Глеб Владимирович!
К сожалению, подобное осложнение "нет-нет да и возникает" при удлинении, коррекции деформации голени. В англоязычной литературе оно описано как "patella baja". Один из вариантов лечения - проксимальное перемещение надколенника приемами чрескостного остеосинтеза.

Всего наилучшего,
Л.Соломин
|
| Послать ответ |
Обратите внимание: Поля с жирными названиями обязательны.
Старайтесь отвечать в рамках обсуждаемой темы, а не начинать новые обсуждения.
Указывайте адекватную тему сообщения, чтобы было ясно, о чем оно.
Не послайте сообщений не по теме (оффтопик), раздраженных, грубых или обидных комментариев. Здесь это неуместно.
|