вверх
отправить
поиск
админ
главная
Предыдущее
Весь тред
|
Re: Pelvic and acetabular fracture
Josep M. Muñoz Vives 06 Июль 2009, 21:06
|
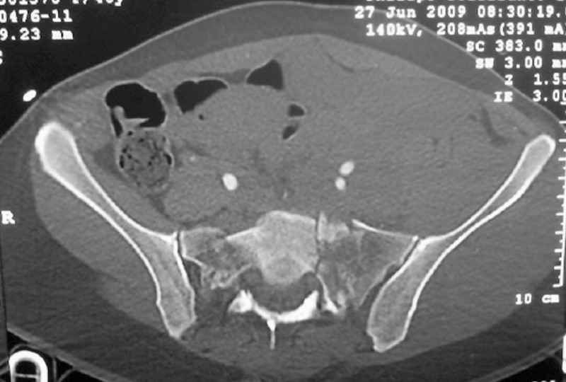
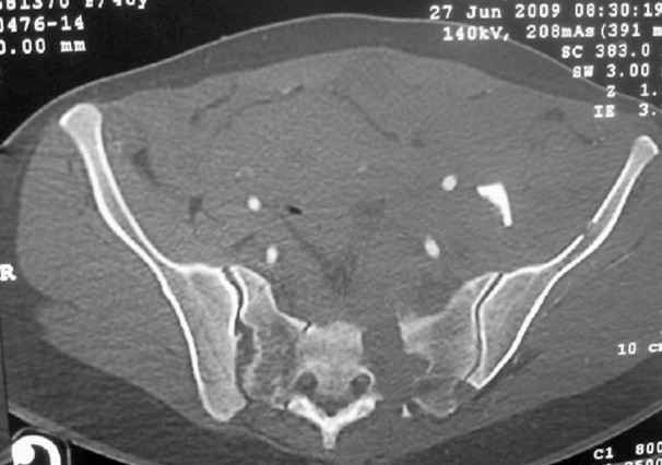
General condition is fine except for an intractable pelvic pain, no associated injuries (only ankle fracture), no sciatic nerve injury.

The soft tissues are also in mild condition, buttock hematoma and probably a Morel-Lavalle. I send some more CT images. There are some conminution in the posterior column (I don’t have images now). The patient is scheduled for surgery next Monday. The plan is percutaneous sacral fixation and then ilioinguinal approach .
Thank you
Pedro Caba
Unidad de Trauma Hospital 12 de Octubre
|
|
|