AOTRAUMA.ORG Центр Илизарова  

Ортопедия и травматология Общие вопросы/General questions Help Информационные технологии в медицине
 вверх
 отправить
 поиск
 админ
 главная


Foot deformation
Ортопедия и травматология Отправлено Салимов Руслан 18 Июль 2009, 10:31
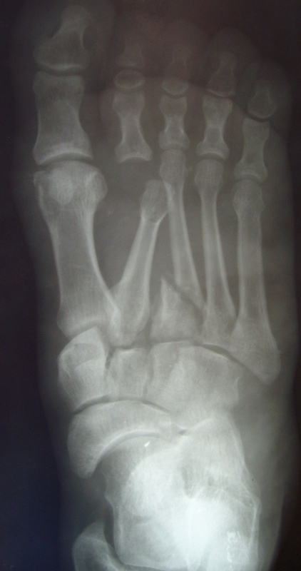
Больной с деформацией стопыБольной К., 36 лет.Травма в 2006 г.-падение с высоты.
Лечился по поводу перелома D- 12 позвонка с нижним парапарезом и оскольчатых переломов плюсневых костей левой стопы. Производился остеосинтез переломов плюсневых костей левой стопы спицами.В 2007 году произведена стабилизирующая операция на позвоночнике с ламинэктомией и фиксацией металлоконструкцией и операция артродез левого голеностопного, подтаранного, таранно-ладьевидного, межклиновидных суставов с фиксацией винтами. В 2008 г. часть винтов удалена. Больной отмечает появление парестезий и движений в пальцах обеих стоп в этом году ( ежедневно пользуется миостимулятором Аб Троник).В настоящее время жалобы на деформацию и нестабильность в левой стопе, боль в области голеностопного сустава, в области пятки (проекция винта).
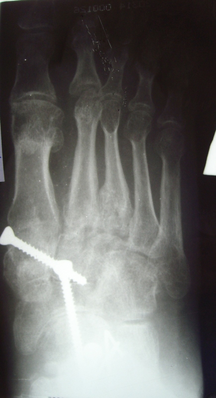
При осмотре имеется плоско-вальгусная деформация левой стопы, болезненность в пяточной области в проекции винта, тугоподвижность в области шопарова сустава. На тыльной поверхности рубцы. План лечений: удаление винта с подошвенной области, корригирующий реартродез в щопаровом суставе. Как удалить остатки винта? Возможно, понадобится реартродез голеностопного или подтаранного сустава.

The patient, 36 years.
Trauma in 2006 г.-falling from height. It was treated in occasion of fractur D-12 vertebra with bottom paraparesis and splintered fractures of metatarsal of left foot. The osteosynthesis of metatarsal bones was made by wires.
In 2007 stabilizing operation on a backbone with laminectomy and arthrodesis of ankle,subtalar, talo-navicular, intecuneiform joints with fixing by screws . In 2008 the part of screws is removed. The patient marks{celebrates} occurrence movements in fingers of both stop in this year.
Now patient complains to deformation and instability in left stop, a pain in the area of ankle joint and in the field of a heel (a projection of the screw).
At survey there is valgus and planus a deformation of left foot, morbidity in calcaneal area in a projection of the screw,the motion in the midfoot. There is the hems on a back surface of foot.

<  |  >

 

  • Сообщения о Ортопедия и травматология
  • Также Салимов Руслан
  • Связаться с автором
  • Ответить

    Re: Foot deformation
    Салимов Руслан 19 Июль 2009, 21:21
    Еще раз попробую отправить снимки.
    Кликните для загрузки файла SANY3551-1.jpg
    213KB (218942 bytes)

    [ Ответить ]

    Re: Foot deformation
    Салимов Руслан 19 Июль 2009, 21:33
    Снимки
    Кликните для загрузки файла SANY3530-1.jpg
    123KB (126524 bytes)

    [ Ответить ]

    Re: Foot deformation
    Устьянцев Ибрагимов 24 Июль 2009, 09:49
    Уважаемый коллега!Данный клинический случай интересен.У нас накоплен некоторый опыт в устранении различных форм деформаций стопы(более 500).Довольно подробно это изложено в монографии
    "Профилактика инвалидности и реабилитация инвалидов при последствиях травм опорно-двигательного аппарата"Москва-2007 Медицина.Если вас заинтересует,мы готовы изложить наше видение этого вопроса.
    [ Ответить ]

    Re: Foot deformation
    Салимов Руслан 27 Июль 2009, 23:07
    Уважаемый коллега.
    Буду рад услышать ваше мнения. Лпределенный опыт тоже имеем.

    [ Ответить ]

    Re: Foot deformation
    Устьянцев Ибрагимов 29 Июль 2009, 15:36
    Здравствуйте!Мы в таких случаях удаляем металл.А затем устраняем с некоторой гиперкоррекцией(3-5гр),имеющиеся деформации стопы.В этом случае-приведение переднего отдела,отведение среднего,ротацию пятки,пронацию переднего отдела,вальгус пятки и эквинус стопы(примерно видно по снимкам).Так же по R-гр. видно ,что можно справиться закрыто(точнее после повторных R-гр).Работаем с аппаратами Илизарова.Фиксация 3мес.Со второго дня(п\о период)обучаем нормальной ходьбе с учетом биомеханики.
    [ Ответить ]


    ( Ответить )

    Powered by Zope  Squishdot Powered MedLink
    Посетитель: 0178771
      "По форме правильно, а по существу - издевательство" В.И.Ленин
    ©2001-2019Orthoforum Coordinator.
    [ Главная | Отправить сообщение | Поиск | Админ ]