AOTRAUMA.ORG Центр Илизарова  

Ортопедия и травматология Общие вопросы/General questions Help Информационные технологии в медицине
 вверх
 отправить
 поиск
 админ
 главная


синтез мыщелка бедра
Ортопедия и травматология Отправлено Артём 22 Июль 2009, 11:27
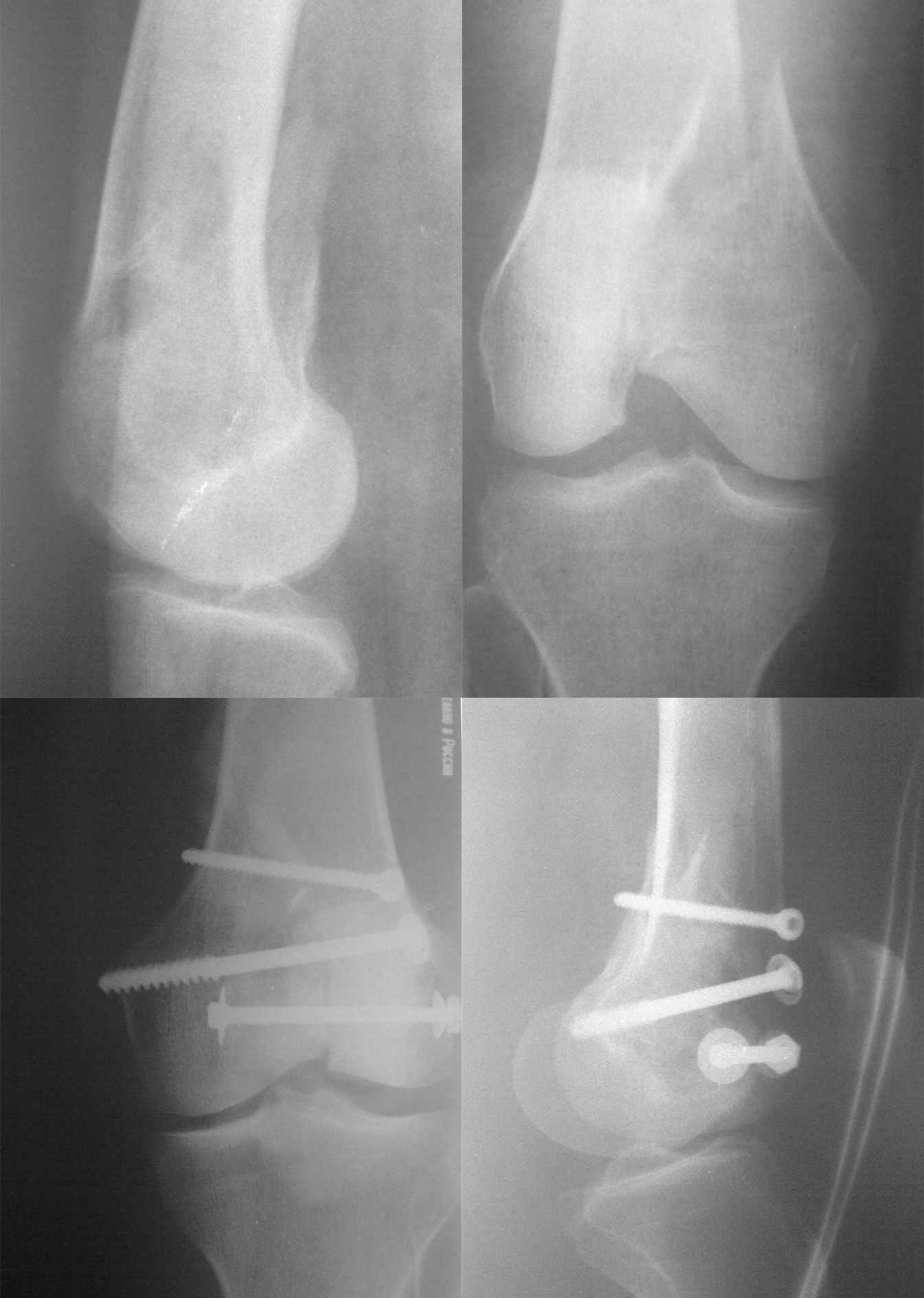
Уважаемые коллеги выскажите пожалуйста ваше мнение
по поводу остеосинтеза свежего перелома внутреннего мыщелка бедра

<  |  >

 

  • Сообщения о Ортопедия и травматология
  • Также Артём
  • Связаться с автором
  • Ответить

    Re: синтез мыщелка бедра
    Markushevich Michael 22 Июль 2009, 20:25
    Hi! This is familar misstake. Fixation I think was done percutaneus or mini invasive. Fracture not redused. One of the component this fracture - sagital. This is Goffa like frctures
    Reduction this fracture more beter to do with arthroscopic control or arthrotomy. Good lack in feuther cases
    [ Ответить ]

    • Re: синтез мыщелка бедра
      Отправитель: Andrey Volna 22 Июль 2009, 21:52
      Dear Michael, first of all I agree with you √ unfortunately this reduction is not perfect enough. In addition, after precise reduction and screw fixation fractures like this need buttressing plating as a rule. I think this patient is young, because bone looks good enough, therefore, reoperation can be good desigion here. However, unlike of your opinion I rather think that it was open (not percutaneus) reduction┘
      Sincerely, Andrey Volna


      [ Ответить ]
    Re: синтез мыщелка бедра
    Maxim Agalakov 22 Июль 2009, 22:09
    смысл вопроса в чем? оценить - как сопоставлено, как по-другому?
    [ Ответить ]

    Re: синтез мыщелка бедра
    Александр А. 22 Июль 2009, 23:27
    Добрый вечер Артём!
    Если вопрос заключается в качестве сопоставления; моё мнение, что при наличии таких крупных отломков суставная поверхность должна сопоставляться более тщательно, тем более при свежем переломе.
    Спасибо.
    [ Ответить ]

    Re: синтез мыщелка бедра
    Гуза Николай 23 Июль 2009, 00:52
    Добрый Вечер Артём!
    Мыщелок отрепонирован не совсем конгруэнтно.
    Считаю такой остеосинтез не достаточно жесткий, наверняка в послеоперационном периоде наложена иммобилизация.
    По рентгенограмме похоже имеется перелом мыщелка большеберцовой кости без смещения, уменьшение высоты суставной поверхности между поврежденными мыщелками -- в пользу повреждения мениска, который наверное не был удален во время остеосинтеза.
    Перелом обоих мыщелков + повреждение мениска + сомнительной жесткости остеосинтез = необходима кропотливая реабилитация больного.
    Успехов!

    [ Ответить ]

    синтез мыщелка бедра
    Бен Эльайфар Мохамед 23 Июль 2009, 14:32
    Нужно было провести ЯМР для оценки состояния крестообразных и боковых связок и менисков, затем остеосинтез DCS, и шов или экономная резекция мениска(если есть повреждение), а после консолидации и реабилитации перелома, восстановление ПКС или ЗКС если имеется повреждение.
    Ваш больной нуждается в реостеосинтезе, потому что:
    - дополнительная к остеосинтезу гипсовая иммобилизация препятствие для реабилитации,
    - нижний шуруп с шайбами может создать феморо-пателярный конфликт,
    - наружно-боковой конец последнего шурупа создать конфликт с "tractus iliotibialis" по типу синдрома автомобильного дворника.
    [ Ответить ]

    Re: синтез мыщелка бедра
    Женя 24 Июль 2009, 23:31
    А.А.! Мыщелок срастется с удлинением, следовательно - вальгусное колено со всеми вытекающими. При таком синтезе однажды имел асептический некроз мыщелка с большими проблемами - с трудом удалось избежать судебных дел, спасла Г.С. Обязательно была нужна пластина (L-образная на худой конец) - вели бы больного без гипса с разгрузкой ноги костылями. Артротомия была?
    [ Ответить ]

    • Re: синтез мыщелка бедра
      Отправитель: Роман 27 Июль 2009, 19:53
      Согласен с Женей

      [ Ответить ]
      • Re: синтез мыщелка бедра
        Отправитель: Артём 28 Июль 2009, 13:21
        согласен с романом

        [ Ответить ]
    • Re: синтез мыщелка бедра
      Отправитель: Артём 28 Июль 2009, 13:43
      Глубокоуважаемый Е.Г. вы повторяете мои слова во время операции, но Н.А. этого не обьясниш...

      [ Ответить ]
    Re: синтез мыщелка бедра
    дмитрий бондарь 26 Июль 2009, 19:52
    Добрый вечер, коллеги! IMHO либо переделать, либо кропотливо реабилитировать(а получится?)т.к. сохраняется и сагиттальное и вертикальное смещение. Компенсаторные возможности организма ,конечно великие,но не беспредельные
    С уважением Д.Б.
    [ Ответить ]

    Re: синтез мыщелка бедра
    Алексей 06 Август 2009, 01:07
    Согласен смнением, что суставные поверхности не конгруентны и фиксация не достаточно жесткая. О внутресуставных повреждениях можно говорить всё что угодно. Необходимо переделывать операцию. Если не возможна артроскопическая ассистенция то необходимо выполнить хотя бы миниартротомию для контроля репозиции и оценки внутрисуставных структур.
    [ Ответить ]


    ( Ответить )

    Powered by Zope  Squishdot Powered MedLink
    Посетитель: 0161260
      "По форме правильно, а по существу - издевательство" В.И.Ленин
    ©2001-2019Orthoforum Coordinator.
    [ Главная | Отправить сообщение | Поиск | Админ ]