ВХОД ДЛЯ ПАЦИЕНТОВ
вверх
поиск
админ
главная
исходное
|
Re: ложный сустав вертельной области
послал Alexander Chelnokov 07 Сентябрь 2009, 19:52
|
Дорогой Тарас
>Два года назад была оперирована кокой-то накостной пластиной, пластину удалили 4 мес назад. Вопрос такой:
> предлагать эндопротезирование или делать МОС (что-то по типу стержня Gamma)?
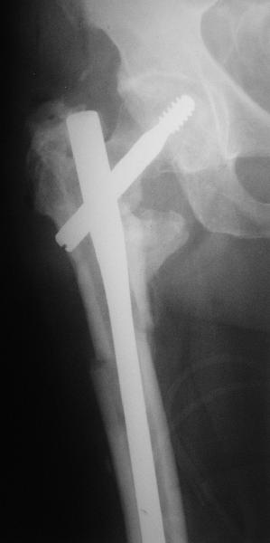
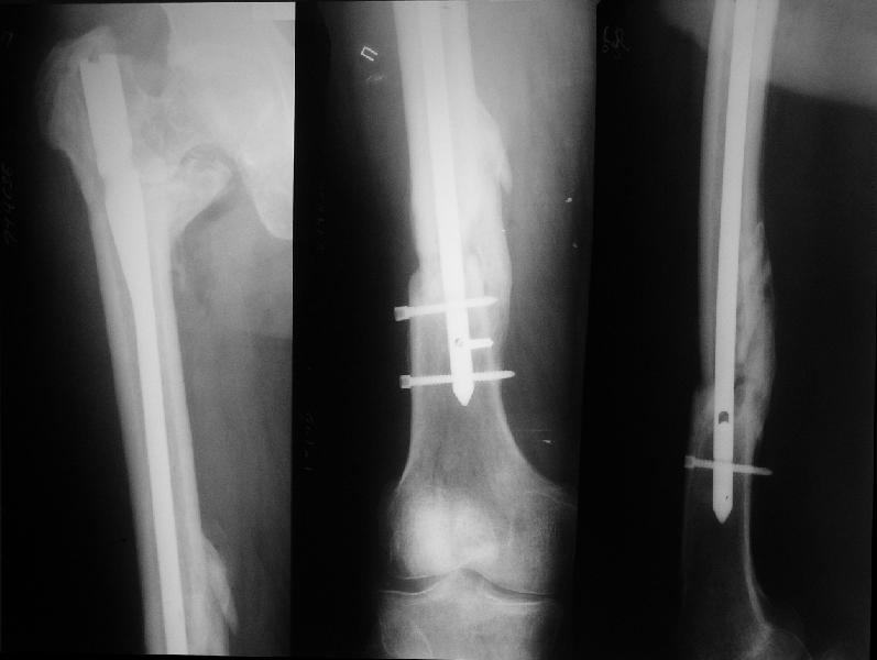
На прошлой неделе оперировали похожего пациента. 2 года после неудачного остеосинтеза PFN в другом регионе. После удаления остатков железа выявилось несращение вертельной области.
В такой ситуации важно устранить варусную деформацию. При использовании гвоздя это непросто. Поэтому в число рассматриваемых
вариантов стоило бы включить вальгизирующую остеотомию с фиксацией 130-градусной клинковой пластиной или DHS.
Если есть сильное желание фиксировать все-таки гвоздем, советовал бы ввести мощный "джойстик" параллельно оси шейки бедра близко к ее задней стенке, сделать поперечную межвертельную остеотомию и использовать дистрактор таз-бедро.

Поскольку в нашем случае выявилась подвижность, мы наложили дистрактор таз-бедро на 3 дня, и сделали остеосинтез гаммой без остеотомии. То, что произошла "корригирующая остеоклазия" в подвертельной области, выявили после введения гвоздя. Пациент уже уехал домой, будем наблюдать.
|
Послать ответ |
Обратите внимание: Поля с жирными названиями обязательны.
Старайтесь отвечать в рамках обсуждаемой темы, а не начинать новые обсуждения.
Указывайте адекватную тему сообщения, чтобы было ясно, о чем оно.
Не послайте сообщений не по теме (оффтопик), раздраженных, грубых или обидных комментариев. Здесь это неуместно.
|