Ответить
|
Re: Дистальный перелом бедра
Alexander Chelnokov 18 Сентябрь 2009, 23:02
|
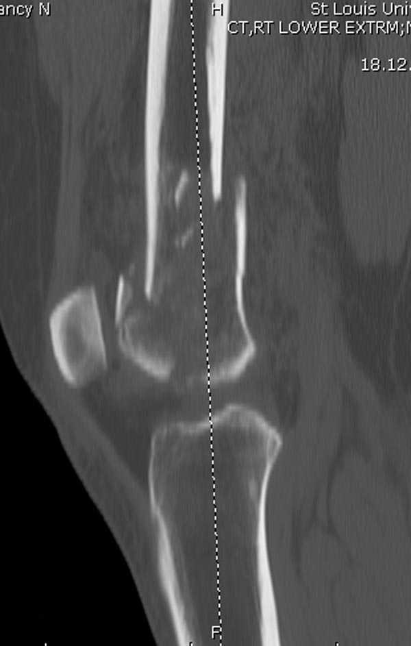
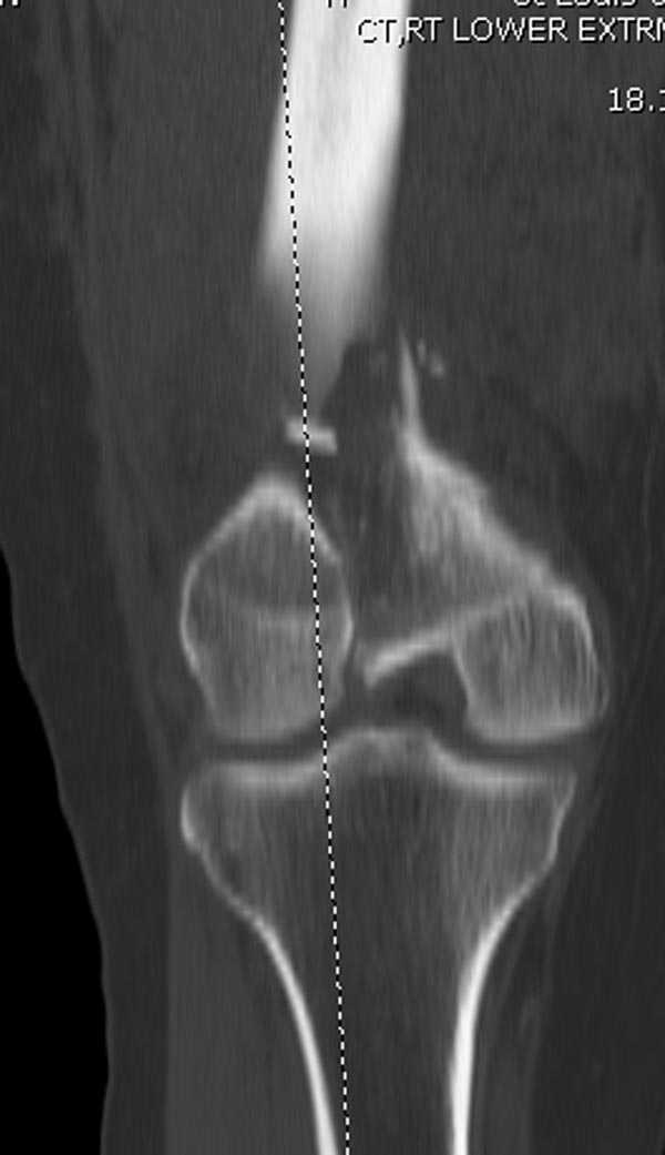
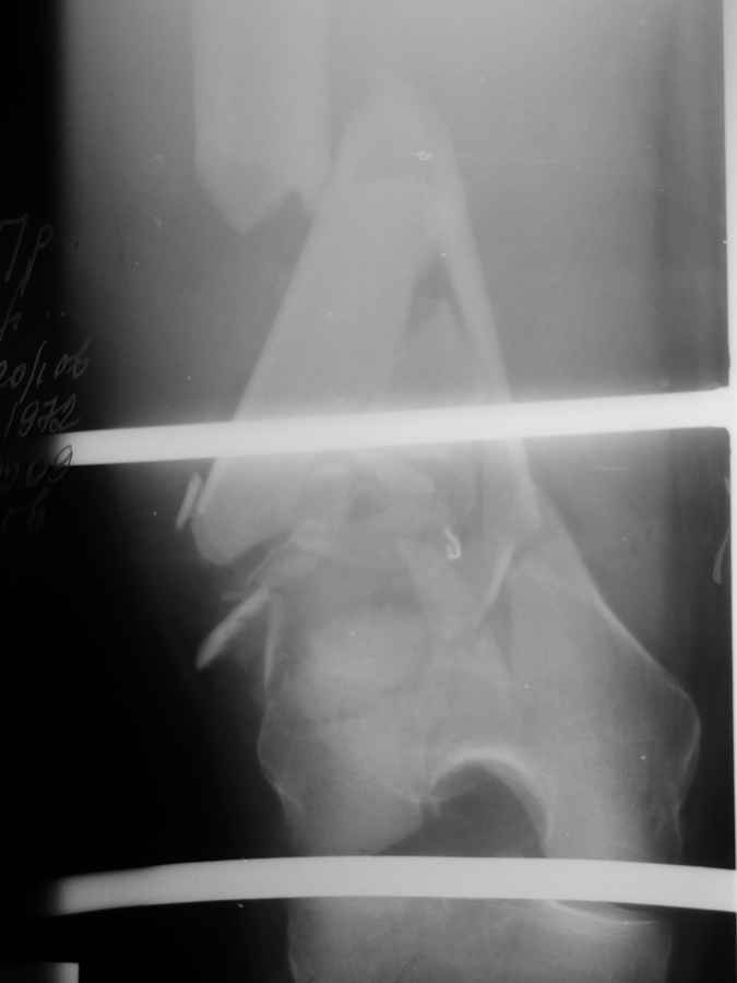
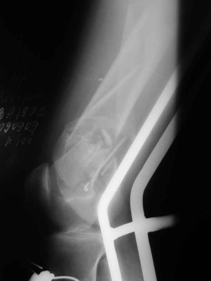
Это перелом не нижней трети, а дистального суставного конца, с распространением на диафиз. Что-то между C2 и C3. Но пока ближе к C2 по увиденному - вторую проекцию еще не показали.
Полноценная артротомия - зачем? Нужна была бы только ограниченная артротомия, если есть смещение фрагментов суставной поверхности, которое закрыто (всякого рода джойстиками) не устранить. Такого смещения тут не видно. Поэтому можно наложить спицевой дистрактор и заштифтовать закрыто.
Недавно здесь, в разделе пособий для врачей выложена недавняя наша методичка (по нынешнему медицинская технология) как раз по штифтованию при переломах дистального отдела бедра - см. http://weborto.net/YLinks/guidelines.
Если решите пойти описанными путями и появятся вопросы по деталям - welcome.
Конечно, здесь применим и более популярный вариант с использованием пластины, также лучше без "полноценной артротомии".
|
[
Ответить ]
|
Re: Дистальный перелом бедра
Отправитель: Alexander Chelnokov 18 Сентябрь 2009, 23:35
|
На профиле стало видно, что открываться придется, это перелом C3, хотя можно назвать и C2+, т.е. с еще и фронтальным раскалыванием одного мыщелка. Надо сделать медиальную артротомию, ступеньку на внутреннем мыщелке устранить, ввести либо несколько временных спиц спереди назад, или сразу винт вдоль эллипса мыщелка. А дальше как выше написано - дистрактор, и штифтовать. Учитывая наличие открытого колена - вполне уместно ретроградно.
|
[
Ответить ]
|
Re: Дистальный перелом бедра
Отправитель: Евгений Халиман 26 Сентябрь 2009, 19:21
|
Огромное спасибо за ссылку на методички, заодно там скачал методичку о применении дистракторов прри БИОС бедра и голени. Я как послушал доклады об этом методе в Кургане в марте 2006 (не имею под рукой сборника, но почему-то мне помнится, что это были Вы, Александр Николаевич), всё вспоминал эту идею. Мы не так давно начали применять БИОС, делали по учебнику, на ортопедических приставках, громоздко. А тут как раз и использовали в пятницу дистрактор на голени, остались довольны.
Спасибо!
|
[
Ответить ]
|
|
Re: Дистальный перелом бедра
mgoyan1 18 Сентябрь 2009, 23:07
|
Да, ребята. Вам не позавидуешь. Можно попробовать пластину с угловой стабильностью или DCS систему.
|
[
Ответить ]
|
Re: Дистальный перелом бедра
Отправитель: Алексей П. 18 Сентябрь 2009, 23:14
|
Вообще насчет пластины думали... но если открыться то рассыпится все... LISS можно но тоже тяжело представить...
И завидовать нечему.. еще загрузятся остальные снимки.
|
[
Ответить ]
|
Re: Дистальный перелом бедра
Отправитель: Суворов М С 21 Сентябрь 2009, 09:11
|
пластина с угловой стабильностью это оптимально. Остеосинтез произвести по типу "мостовидной фиксации" на востоновленной длине, ротации бедра.
|
[
Ответить ]
|
|
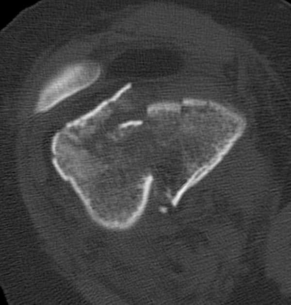
еще кт
Алексей П. 18 Сентябрь 2009, 23:08
|
я совсем молодой доктор так что без обид могу ошибаться во многом.
|
[
Ответить ]
|
|
|
Re: Дистальный перелом бедра
Alexander Chelnokov 18 Сентябрь 2009, 23:13
|
Большая просьба не отправлять картинки по 2-3 Мб.
О подготовке изображений почитайте тут - http://weborto.net/forum/1252515196/
|
[
Ответить ]
|
Re: Дистальный перелом бедра
Алексей П. 18 Сентябрь 2009, 23:17
|
нет редактора под рукой( и инет не ах-ти... сейчас исправлю...
|
[
Ответить ]
|
Re: Дистальный перелом бедра
Отправитель: Alexander Chelnokov 18 Сентябрь 2009, 23:29
|
Ссылка на небольшой редактор была на той страничке, где описана подготовка изображений, см. выше.
Если "инет не ахти", как раз особенно уместно отправлять картинки размером не по 2-3 Мб, а 40-50 Кб, т.е. раз в 50-60 меньше.
Уже посланное все исправлено.
|
[
Ответить ]
|
|
Re: Дистальный перелом бедра
Алексей П. 18 Сентябрь 2009, 23:32
|
Я все исправил! больше не буду допускать таких глупостей. Спасибо!
|
[
Ответить ]
|
Re: Дистальный перелом бедра
Александр Н, Самара 19 Сентябрь 2009, 07:53
|
Уважаемый коллега!
У нас есть опыт лечения подобных переломов с помощью БИОС (9 случаев)за последние 2 года.
Смело открывайте сустав, собирайте мыщелки на один спонгиозник или болт стяжку и под него вводите штифт из стандарного места введения. В данном случае хорошо подойдет универсальный бедренный штифт СнМ.
|
[
Ответить ]
|
Re: Дистальный перелом бедра
Александр Н, Самара 19 Сентябрь 2009, 07:55
|
Уважаемый коллега!
У нас есть опыт лечения подобных переломов с помощью БИОС (9 случаев)за последние 2 года.

Смело открывайте сустав, собирайте мыщелки на один спонгиозник или болт стяжку и под него вводите штифт из стандарного места введения. В данном случае хорошо подойдет универсальный бедренный штифт СнМ.
|
[
Ответить ]
|
Re: Дистальный перелом бедра
Djoldas Kuldjanov 23 Сентябрь 2009, 22:41
|
>Пациент - доктор хотелось бы помочь по максимуму.
Бесспорно, предлагаемый ретроградный метод имеет свои преимущества, но имеется опасность при манипуляции интрамедуллярным гвоздем расколоть мыщелки.
Раскол можно предупредить шурупами, но короткий дистальный фрагмент навряд ли позволит добиться адекватной стабильности конструкции. Стандартные гвозди не рассчитаны для таких переломов, и если все таки желаете провести фиксацию гвоздем, тогда надо заказывать специальный custom made nail т.е. с расширенной возможностью дистальной блокировки.
Легко для Челнокова, который даже самые дистальные переломы бедра лечит антеградным путем, но такой опыт не у всех.
Без собственного опыта и по подсказке трудно в первый раз лечить такой сложный перелом, тем более, больной ваш коллега, требующий максимум внимания.
Почти все компании имеют пластины с угловой стабильностью, начиная от Stryker, Zimmer NCB и DePuy Polyaxial Plate . Если у NCB шуруп блокируется специальной шайбой, то Polyaxial Plate имеет вариабельный угол введения шурупов.
Поэтому такие меж и над- мыщелковые переломы более предпочтительным считается фиксировать мыщелковыми пластинами
Устанавливается из малого разреза "не вскрывая сустав" со стороны латерального мыщелка, и Insertion Jig позволяет установить пластину "мостовидно" перкутанно в проксимальном отделе, "не вскрывая и не трогая" место перелома.

Djoldas Kuldjanov, MD
Department of Orthopedic Surgery
St. Louis University Medical Center
|
[
Ответить ]
|
Re: Дистальный перелом бедра
Евгений Халиман 27 Сентябрь 2009, 12:15
|
Я бы выбрал DCS с длинной накладкой - просто потому, что гвоздём такое не умею, либо аппарат, если кожные покровы не в порядке, но тогда уже не особо функционально получилось бы, да и всё равно открывать перелом.
Есть опыт фиксации подобных фрагментарных, но только проксимальных переломов, когда длина накладки DHS/DCS была маловата - ставили на дистальный перелом дополнительно пластину LCP, результат нормальный.
Что сделали с пациентом-то? 9 дней минуло с начала темы.
|
[
Ответить ]
|
Re: Дистальный перелом бедра
Отправитель: Алексей П. 27 Сентябрь 2009, 12:25
|
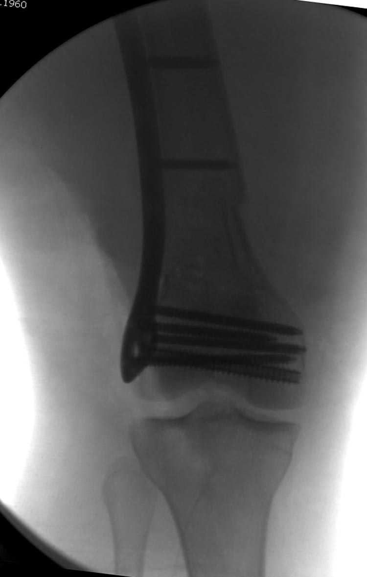
Остановились на Liss пластине. Операция еще не состоялась.
|
[
Ответить ]
|
|
( Ответить )
|