ВХОД ДЛЯ ПАЦИЕНТОВ
вверх
поиск
админ
главная
|
Нужена консультация н/хирурга, вертебролога |
 |
 |
 |
Прислано Алексей 19 Сентябрь 2009, 01:16
из
Здраствуйте Уважаемые колеги, нужна консультация высококвалифицырованого н/хирурга, вертебролога.
Тяжолый клинический случай...
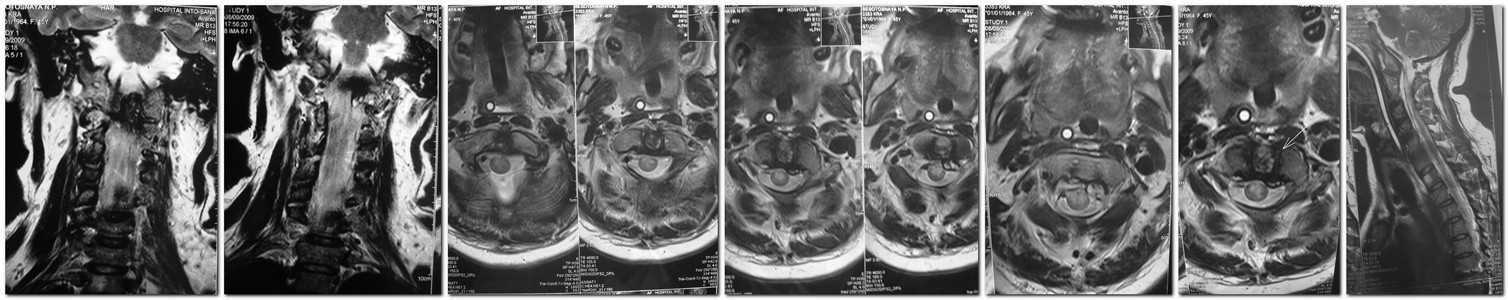
Женщина 45 лет 12 дней назад ощутила повышения давления - потеря сознания. Доставлена в реанимационное отделения ЦРБ на Украине. Самостоятельно дихание и давление поддерживать не могла только на ИВЛ и вазопресорах.В сознании. Появилса тетрапарез. Переведина в обласное отделение реанимации. Конкретного диагноза нету. Через 7-8 дней тетрапарез постепенно начал исчезать, начала самостоятильно поддерживать давления но самостоятельное дыхание отсутствует.
Предполагаемый диагноз: Новообразование зубообразного отростка 2 шейного позвонка.
Сейчас на ИВЛ (установили трахеостому), прогресируют застойные явления лёгких.
Может ктото слышал о подобных случаях, или может порекомендовани соответствующих специалистов.
Обратите внимание: Поля с жирными названиями обязательны.
Старайтесь отвечать в рамках обсуждаемой темы, а не начинать новые обсуждения.
Указывайте адекватную тему сообщения, чтобы было ясно, о чем оно.
Не послайте сообщений не по теме (оффтопик), раздраженных, грубых или обидных комментариев. Здесь это неуместно.
|