ВХОД ДЛЯ ПАЦИЕНТОВ
вверх
поиск
админ
главная
исходное
|
Re: Застарелый пилон
послал Djoldas Kuldjanov 17 Октябрь 2009, 12:17
|
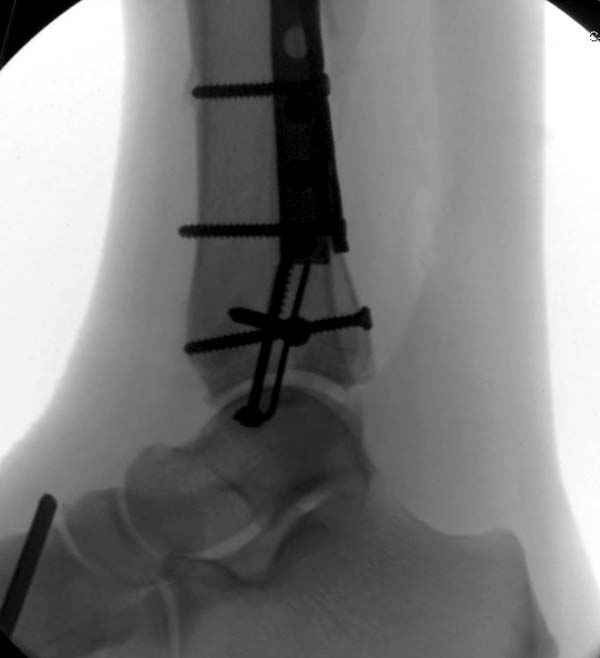
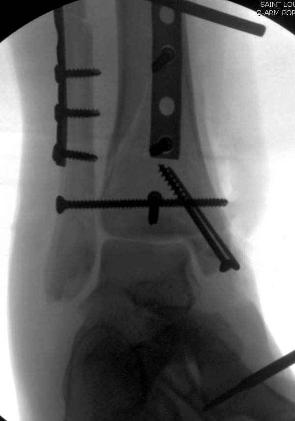
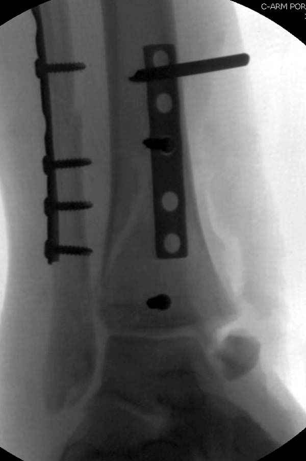
По снимкам довольно сохранный сустав, и такой сустав желательно попытаться восстановить всеми возможными мерами.
Артродез штифтом от Синтеза - немного агрессивно, а для улучшения качества жизни вместо артродеза голеностопа можно было бы предложить артродез подтаранного сустава. Тремя 6.5 мм каннюлированными шурупами через пятку.
Насчет пилона, прошло достаточное время для консолидации и прекрасная возможность для демонстрации, что такие случаи могут быть успешно вылечены остеотомией, несмотря на засторелость.
Из заднего доступа остеотомия тонким остеотомом и коррекции на ЭОПе.
Без применения сложной конструкции, а обычными параллельными шурупами. Шурупы в 3.5 мм и дополнительно фиксация крючковидной пластиной, сделанной из 3.5 mm semitubular пластиной, Butress или аntiglade фиксация.
Здесь алгоритм фиксации свежего перелома и преоперационный план для обсуждаемого случая.

Djoldas Kuldjanov, MD
Department of Orthopedic Surgery
St. Louis University Medical Center
|
Послать ответ |
Обратите внимание: Поля с жирными названиями обязательны.
Старайтесь отвечать в рамках обсуждаемой темы, а не начинать новые обсуждения.
Указывайте адекватную тему сообщения, чтобы было ясно, о чем оно.
Не послайте сообщений не по теме (оффтопик), раздраженных, грубых или обидных комментариев. Здесь это неуместно.
|