Ответить
|
Re: Перипротезный перелом
Бережной Сергей 24 Октябрь 2009, 22:40
|
Весь проксимальный отдел бедренной кости ведь смещен относительно ножки эндопротеза? Значит менять ножку нужно. К тому же, если думать об удлинении ножки стержнем, место стыка получится как раз в области поперечной части перелома и о стабильности такой конструкции вряд ли можно будет думать. Так что - длинная ревизионная ножка с остеосинтезом. Может быть и серкляжей будет достаточно если перелом проксимальной части не оскольчатый (по снимкам не очень понятно).
|
[
Ответить ]
|
Re: Перипротезный перелом
Отправитель: Виноградский Алекасндр 25 Октябрь 2009, 11:01
|
<<о стабильности такой конструкции вряд ли можно будет думать
Если выбрать вариант с удлинением ножки на стержне, есть возможность получить сращение проксимального отдела малоинавзивным путем. При этом ножка скорей всего останется нестабильна, но ревизия на фоне сросшегося перелома, с правильным каналом, нестабильной ножкой представляется не самой большой проблемой и возможно с обычной (не ревизионной ногой).
|
[
Ответить ]
|
|
Re: Перипротезный перелом
Alexander Chelnokov 25 Октябрь 2009, 08:56
|
Закрытый остеосинтез-удлинение ножки (подход далеко не общепринятый, и пока даже не общеизвестный)- наименее инвазивный вариант, который обеспечивает немедленное восстановление опороспособности. Конечно, хотелось бы, чтобы эта операция решила проблему окончательно, т.е. в
ближайшие годы других больших операций не потребовалось бы.
Есть ли возможность увидеть снимки до перелома? Не сильно ли просела ножка, не будет ли импинджмента, если оставить ее так?
Что сейчас с длиной конечности? Как сам пациент - общий статус, ддвигательная активность, функциональные потребности?
|
[
Ответить ]
|
Re: Перипротезный перелом
Отправитель: Maxim Agalakov 25 Октябрь 2009, 11:29
|
ножка просела немного (вопрос, много - это сколько?)перечисленные проблемы - не самое важное сейчас, на них можно закрыть глаза. Ножка явно нестабильна, проксимальный отломок с б/вертелом к гвоздю не прицепить, срастется ли он с ножкой
|
[
Ответить ]
|
Re: Перипротезный перелом
Отправитель: Alexander Chelnokov 25 Октябрь 2009, 11:35
|
Можно уверенно рассчитывать на сращение фрагментов бедра между собой. Можно ли рассчитывать на реинтеграцию имеющейся ножки в проксимальном отделе - действительно вопрос открытый. Но во всяком случае ножка будет заметное время стабильной за счет дистальной фиксации. Будет ли это время достаточно на всю оставшуюся жизнь пациента - трудно предугадать.
Но, как Александр Виноградский справедливо заметил, после сращения бедра появляется возможность поставить даже обычную ножку большего размера.
|
[
Ответить ]
|
Re: Перипротезный перелом
Отправитель: Рашид Муртузалиевич Тихилов 09 Ноябрь 2009, 12:25
|
Уважаемые коллеги, продолжая дискуссию, начатую на "Вреденовских чтениях", хочу сказать, что принципиально сущестует два возможных варианта лечения.
1.Остеосинтез на ножке. Мне кажется, что применительно к этому случаю малоперспективный вариант. Синтез хорош, когда можно его выполнить в малоинвазивном исполнении и достигнуть стабильности. Действительно, если ножка б/цементной фиксации после этого не будет иметь фиксации, то ревизия не будет иметь проблем. В представленном случае стабильность синтеза сомнительная, а проведение доп.иммобилизации приведет к контрактуре суставов.
2. Применение ножки дистальной фиксации, мы отдаем предпочтение ножке Вагнера с фиксацией проксимального отдела на ножке. Более травматичное вмешательство, но при стабильной фиксации ножки реабилитация идет в обычном режиме.
Хочется показать два подобных случая, П-ка З. 72 лет и п-т Г. 80 лет. Сразу принимаю замечание, что это были ножки цементной фиксации, просто под руками не было бесцементника.

С уважением, Р.Тихилов
|
[
Ответить ]
|
|
Re: Перипротезный перелом
Шушания Батал 25 Октябрь 2009, 12:42
|
Доброго времени суток! Мое мнение и думаю что многие специалисты, занимающиеся эндопротезированием меня поддержат,нужно выполнить одну операцию и чтобы потом голова не болела у пациента и у доктора. А именно поставить любую ножку дистальной фиксации и вернуть пациента к активной жизни, не обрекать пациента к повторным операциям.
Я согласен с удлинением ножки только в том случае, если по каким то соматическим причинам выполнить ревизионное эндопротезированием не возможно.
С уважением Шушания Батал.
ФГУ "3 ЦВКГ имени А. А. Вишневского Минобороны России"
|
[
Ответить ]
|
Re: Перипротезный перелом
Отправитель: Alexander Chelnokov 25 Октябрь 2009, 17:35
|
ШБ> ножку дистальной фиксации и вернуть пациента к активной жизни,
Так в результате интрамедуллярного стеосинтеза и получается эта самая ножка дистальной фиксации. И возврат к активной жизни, пожалуй, еще и пораньше случится.
>ШБ> Я согласен с удлинением ножки только в том случае, если по
ШБ> каким то соматическим причинам выполнить ревизионное
На чем основано это суждение?
|
[
Ответить ]
|
Re: Перипротезный перелом
Отправитель: Rashid Tikhilov 25 Октябрь 2009, 22:10
|
Уважаемый д-р Батал Шушания,
Высказывая так категорично свое мнение о "любой ножке дистальной фиксации" надо быть абсолютно уверенным в своих словах, а лучше самому попробовать эти самые любые ножки..... Мы достаточно много применяли круглые полнопокрытые ножки и прямые и изогнутые. Могу сказать с позиций личного опыта, поимев неприятности с "любыми ножками", 8 ребер ревизионной ножки Вагнера обеспечивают ротационную стабильность и минимизируют риск перелома при введении ножки. 7-8 см плотной посадки в дистальном отделе вполне достаточно для стабильности. Линейка в 225, 265 и 305 мм обеспечивают комфортность хирургу. Учитывая, что перипротезные переломы, как правило располагаются на уровне перешейка, нет необходимости в изогнутой ножке, уже меньше головняка с рассверливанием. Вторичная фиксация ножки также проходит достаточно быстро.
Почему приятно читать д-ра Д.Кулджанова, прежде всего потому, что он делится своим, пережитым опытом, предупреждая нас о возможных неприятностях, короткие указиловки типа "делай как я сказал" неинформативны и порочны. Ортофорум - это знания, подкрепленные личным опытом.
Извините, если кого обидел...
С уважением, Р.Тихилов
|
[
Ответить ]
|
Re: Перипротезный перелом
Отправитель: Батал Шушания 26 Октябрь 2009, 00:25
|
Спасибо за меткое замечание по поводу ножек с дистальной фиксацией Рашид Муртазалиевич.
На самом же деле, структурированных во всю длину ножек с дистальной фиксацией у нас на Российском рынке не так уж и много. А когда я писал свое мнение,
Я как раз думал о ножке ревизионной Вагенер....но как то у меня "выскочило", я просто хотел сказать, что при данном случае, идеальным было бы выполнить ревизионное эндопротезирование а не остеосинтез, потому я так легкомысленно и выразился. Могу сказать что я уже попробовал эти разные ножки (Zimmer, DePuy) было это давно и в настоящее время, если бы я оперировал бы данного пациента, я бы выбрал бы Ножку ревизионную Вагнера.
Обращаясь к Александру Николаевичу,
Выполнив операцию по ревизионному эндопротезированию, мы сразу же снимаем с себя головную боль, перестаем думать о ножке, о том, произодет ли реинтеграция данного компонента или нет. Да, метод интрамедуллярного остеосинтеза при перипротезных переломах он очень перспективен, но наверное, надо выработать показания для такого рода операции при возникновении перипротезных переломов.
С уважением Батал Шушания.
|
[
Ответить ]
|
|
Re: Перипротезный перелом
Каминский Андрей 25 Октябрь 2009, 22:27
|
Уважаемый Игорь, может оказаться важным цена вопроса. Чем Вы сами располагаете?
Этот пререлом можно лечить по разному. Открыто сопоставить, наложть серкляжи и как-то еще фиксировать (мостовидная пластина, скелетное вытяжение, коксит, аппарат Илизарова).
Есть Вагнер или модульная ревизионная ножка - прекрасно, соберите отломки на ней, без костной пластики.
То, что предлагает Александр Николаевич, очень привлекает. При стабильной ножке, думаю, это может со временем стать методом выбора, да и при много оскольчатых переломах с разрушением перешейка найдет применение. При нестабильной ножке, целом итмусе и при наличии ревизионных ног - вопрос, время и опыт на него ответят. (у нас от его доклада ручонки зачесались, останавливает вопрос как бысто получить гвоздик неодходимой длины с дыркой под конкретную ножку протеза и практически полное отсутствие опыта штифтования)
А вот на вопрос открыто - закрыто, тут от Вас больше будет зависить - чем лучше владеете.
Удачи, как решитесь, покажите.
Каминский А.В. г.Курган
|
[
Ответить ]
|
Re: Перипротезный перелом
Женя 26 Октябрь 2009, 12:39
|
Добрый день!
Начинать, на мой взгляд, надо с того, что перелом-то произошел из-за порочной (варусной) позиции ножки, не случись он сейчас, это произошло бы еще через полгода при более невинных обстоятельствах. Не видел конструкций , но дизайн ножки сильно напоминает цементную стандартную ножку Мюллера и, стало быть, наверное есть цементная мантия. В любом случае, на реинтеграцию этой ножки расчитывать нельзя. Поэтому, если нет общесоматических противопоказаний, нужно выполнять ревизионное эндопротезирование, оптимальный вариант - ножка Wagner Cone.
|
[
Ответить ]
|
Re: Перипротезный перелом
Отправитель: Салаватов Салават 27 Октябрь 2009, 21:00
|
Это"Corail", так что никакой цементной мантии там нет.Непонятно с чего Вы решили,что ножка была установлена в "варусе"? Нынешнее ее положение, получено после травмы.
|
[
Ответить ]
|
Re: Перипротезный перелом
Отправитель: Женя 28 Октябрь 2009, 05:34
|
Я не работал с "Corail", поэтому только высказывал предположение о цементе. Не было "варуса" изначально - отлично! Просто характер перелома наводит на этакие дурные мысли. Были бы послеоперационные снимки, вопросов не возникло.
|
[
Ответить ]
|
|
Re: Перипротезный перелом
Каграманов Сергей 27 Октябрь 2009, 17:08
|
Частично правильный ответ - 1. Это В-2 перелом (проксимальный отдел скорее жив, чем мертв). Костная пластика кортикальными трансплантатами необходима. Также необходим остеосинтез большим количеством проволочных металлических серкляжей. Пластина не нужна.
Используя ножку "Вагнер", как советует Рашид Муртазалиевич получите хорошую фиксацию по каналу, качественную адаптацию отломков, экономию финансов.
|
[
Ответить ]
|
Re: Перипротезный перелом
Отправитель: Maxim Agalakov 28 Октябрь 2009, 00:21
|
>Начинать, на мой взгляд, надо с того, что перелом-то >произошел из-за порочной (варусной) позиции ножки
как вы догадались? предвидение?
>стало быть, наверное есть цементная мантия. В любом случае, >на реинтеграцию этой ножки расчитывать нельзя
странное предположение
|
[
Ответить ]
|
Re: Перипротезный перелом
Отправитель: Женя 28 Октябрь 2009, 05:24
|
Мое сообщение аккурат и основывается на предположениях - я не работал с этими протезами и ориентировался исключительно по картинке. А насчет варусной позиции ножки - таковое положение ее в канале создает неадекватную нагрузку на кость в области латерального кортикала, что и приводит к перелому такого типа. Об этом много было писано и говорено давным-давно.
|
[
Ответить ]
|
Re: Перипротезный перелом
Отправитель: Батал Шушания 28 Октябрь 2009, 00:43
|
Уважаемый Сергей! Почему вы так уверенно утверждаете о необходимости костной пластики?
Мы, в нашем отделении, именно при таких переломах, обходимся без костной пластики. Установив ножку Вагнер ревизионный в дистальный отдел бедренной кости, костные отломки адаптируем вокруг ножки и фиксируем проволочным серкляжом или Cable-Ready "Zimmer".
|
[
Ответить ]
|
|
Re: Перипротезный перелом
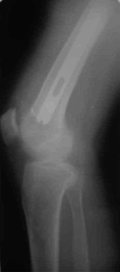
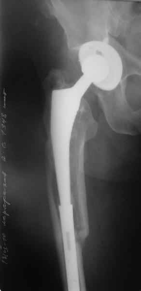
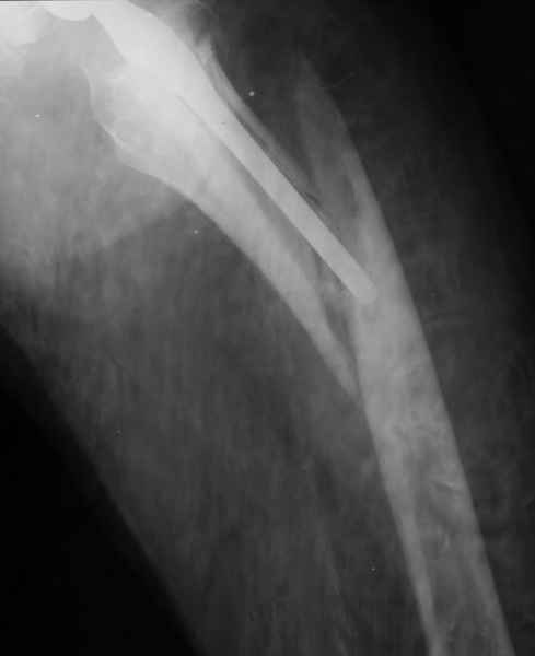
igor 09 Ноябрь 2009, 08:19
|
Произведено закрытое удлинение ножки эндопротеза с помощью ретроградного интрамедуллярного стержня. Продолжительность операции 3 часа. Два из них закрытое восстановление длины бедра диистрактором
таз-бедро. 
|
[
Ответить ]
|
Re: Перипротезный перелом
Отправитель: Alexander Chelnokov 09 Ноябрь 2009, 13:46
|
А нельзя ли увидеть и профиль бедра на всем протяжении, т.е. и весь протез, и весь стержень? И фас бы с коленом.
Спасибо!
|
[
Ответить ]
|
Re: Перипротезный перелом
Отправитель: igor 20 Ноябрь 2009, 08:08
|
новые снимки

|
[
Ответить ]
|
Re: Перипротезный перелом
Отправитель: Рашид Муртузалиевич Тихилов 10 Ноябрь 2009, 16:53
|
Уважаемый Игорь,
Насколько стабильна фиксация ножки с гвоздем?
С ув.Р.Тихилов
|
[
Ответить ]
|
Re: Перипротезный перелом
Отправитель: igor 10 Ноябрь 2009, 22:18
|
Рашид Муртузалиевич,
В ближайшее время планируется разрешить пациенту частичную опору на конечность.
С уважением,
Игорь.
|
[
Ответить ]
|
|
Re: Перипротезный перелом
Женя 10 Ноябрь 2009, 23:52
|
Это, парни, просто космос какой-то...Вы уж держите сообщество в курсе дальнейшего развития ситуации. Круто!
|
[
Ответить ]
|
Re: Перипротезный перелом
Отправитель: Женя 11 Ноябрь 2009, 00:01
|
PS. Как там насчет электрохимических процессов в зоне контакта ножки с гвоздем?
|
[
Ответить ]
|
Re: Перипротезный перелом
Отправитель: Alexander Chelnokov 11 Ноябрь 2009, 01:16
|
Голландские коллеги имели возможность изучить местные изменения через 3 г. после аналогичной операции, когда пациент умер от каких-то других причин. Ничего тревожного не выявили. Гвоздь, правда, у них был из стали, а здесь титановый.
R.G.Zuurmond, P.Pilotb, A.D.Verburg, P. Bumad, S.K.Bulstra. No significant corrosion after bridging nail osteosynthesis of a periprosthetic fractured femur: A retrieval report //Injury Extra, Vol. 40, Issue 1, Jan 2009, P. 19-23
|
[
Ответить ]
|
|
Re: Перипротезный перелом
Alexander Chelnokov 30 Октябрь 2010, 06:29
|

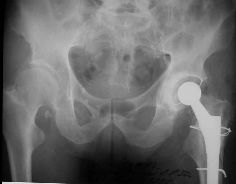
Пациента удалось осмотреть недавно. Достигнутый результат сохраняется. Перелом бедра сросся. Конечность опорная и безболезненная, ходит без трости. Ножка, похоже, реинтегрировалась, как и надеялись. Снимки и фото в приложении. Комментарии приветствуются.
Надо ли что-то делать дальше, как полагаете? Убрать винты? Убрать "удлинитель ножки"? Или оставить все, как есть? Спасибо заранее.
|
[
Ответить ]
|
Re: Перипротезный перелом
Отправитель: Михаил 30 Сентябрь 2011, 01:08
|
Александр, подскажите пожалуйста, где можно заказать подобные штифты? У нас в отделении имеется перипротезный перелом, хотели попробовать.
|
[
Ответить ]
|
Re: Перипротезный перелом
Отправитель: Alexander Chelnokov 30 Сентябрь 2011, 16:57
|
Делает их ФГУП "ЦИТО", Москва. А где пациент находится? Таких операций не очень много, мы стараемся каждую задокументировать. Может, получится поучаствовать кому-то из нас... Покажите pls снимки, что за перелом, какой протез.
|
[
Ответить ]
|
Re: Перипротезный перелом
Отправитель: Михаил 30 Сентябрь 2011, 20:50
|

Приветствую. Спасибо за информацию. Пациент находится в травм.отд. ГКБ 12 Москва.
|
[
Ответить ]
|
Re: Перипротезный перелом
Отправитель: Alexander Chelnokov 01 Октябрь 2011, 11:36
|
Ну что, попоробуем такую операцию организовать?
В апреле в 13 больнице с А.Семенистым аналогичного пациента прооперировали успешно.
Немножко добавьте подробностей про пациента и эндопротез.
получится ли идентичную ножку найти, чтобы померять?
|
[
Ответить ]
|
Re: Перипротезный перелом
Отправитель: Михаил 03 Октябрь 2011, 23:02
|
Пациенту 72 года, оперировался 11 лет назад в ГКБ15 Москва. Судя по снимку ножка споторно фирмы матис. Вряд ли сможем найти такую же для примерки.

Дополнительные снимки
|
[
Ответить ]
|
|
( Ответить )
|
|