AOTRAUMA.ORG Центр Илизарова  

Ортопедия и травматология Общие вопросы/General questions Help Информационные технологии в медицине
 вверх
 отправить
 поиск
 админ
 главная
 Предыдущее


Re: Перипротезный перелом
igor 09 Ноябрь 2009, 08:19
Произведено закрытое удлинение ножки эндопротеза с помощью ретроградного интрамедуллярного стержня. Продолжительность операции 3 часа. Два из них закрытое восстановление длины бедра диистрактором
таз-бедро.




  • Сообщения о Ортопедия и травматология
  • Также igor
  • Связаться с автором
  • Ответить

    Re: Перипротезный перелом
    Alexander Chelnokov 09 Ноябрь 2009, 13:46
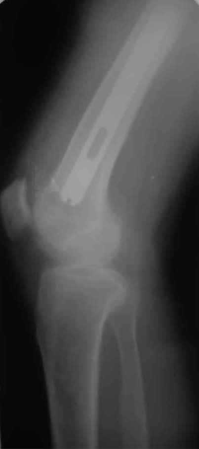
    А нельзя ли увидеть и профиль бедра на всем протяжении, т.е. и весь протез, и весь стержень? И фас бы с коленом.
    Спасибо!
    [ Ответить ]

    • Re: Перипротезный перелом
      Отправитель: Maxim Agalakov 09 Ноябрь 2009, 21:57
      сделаем,..выложим.

      [ Ответить ]
    • Re: Перипротезный перелом
      Отправитель: igor 20 Ноябрь 2009, 08:08
      новые снимки



      [ Ответить ]
    Re: Перипротезный перелом
    Рашид Муртузалиевич Тихилов 10 Ноябрь 2009, 16:53
    Уважаемый Игорь,
    Насколько стабильна фиксация ножки с гвоздем?
    С ув.Р.Тихилов
    [ Ответить ]

    • Re: Перипротезный перелом
      Отправитель: igor 10 Ноябрь 2009, 22:18
      Рашид Муртузалиевич,
      В ближайшее время планируется разрешить пациенту частичную опору на конечность.
      С уважением,
      Игорь.

      [ Ответить ]

     

    ( Ответить )

    Powered by Zope  Squishdot Powered MedLink
    Посетитель: 0182859
      "По форме правильно, а по существу - издевательство" В.И.Ленин
    ©2001-2019Orthoforum Coordinator.
    [ Главная | Отправить сообщение | Поиск | Админ ]