Ответить
|
Re: Клинковые пластины или DHS? / Blade-plates or DHS?
Юрий Алексеевич Булахтин 02 Ноябрь 2009, 15:26
|
Уважаемый Данил!
Мне кажется, ответ на Ваш вопрос есть на страницах АО-мануала, посвященных установке DHS - это ротационно нестабильная конструкция.
С уважением,
Юрий Алексеевич Булахтин
главный травматолог Камчатского Военно-морского госпиталя
|
[
Ответить ]
|
Re: Клинковые пластины или DHS? / Blade-plates or DHS?
Отправитель: Danil Bliznets 02 Ноябрь 2009, 23:15
|
Можно ведь вкрутить два винта проксимальнее остеотомии, если мы лечим деформацию. А в случае псевдоартроза шейки бедра - деротационный винт мимо пластины. В DHS меня привлекает именно возможность самокомпрессии. На клинке мы тут на днях получили несращение шейки, которого imho бы удалось избежать, если бы использовался DHS. В нашем случае клинок послужил распоркой, которая препятствовала компрессии.
|
[
Ответить ]
|
|
Re: Клинковые пластины или DHS? / Blade-plates or DHS?
Юрий Алексеевич Булахтин 02 Ноябрь 2009, 15:26
|
Уважаемый Данил!
Мне кажется, ответ на Ваш вопрос есть на страницах АО-мануала, посвященных установке DHS - это ротационно нестабильная конструкция.
С уважением,
Юрий Алексеевич Булахтин
главный травматолог Камчатского Военно-морского госпиталя
|
[
Ответить ]
|
Re: Клинковые пластины или DHS? / Blade-plates or DHS?
Юрий Алексеевич Булахтин 02 Ноябрь 2009, 15:27
|
Уважаемый Данил!
Мне кажется, ответ на Ваш вопрос есть на страницах АО-мануала, посвященных установке DHS - это ротационно нестабильная конструкция.
С уважением,
Юрий Алексеевич Булахтин
главный травматолог Камчатского Военно-морского госпиталя
|
[
Ответить ]
|
Re: Клинковые пластины или DHS? / Blade-plates or DHS?
Филипчук Виктор 02 Ноябрь 2009, 17:28
|

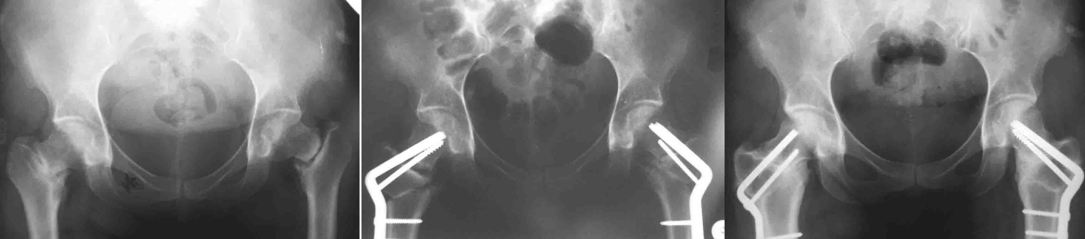
И клинковые и DHS, это всего лишь способ остеосинтеза, хотя, наверное, клинковые дают большую ротационную стабильность (по оси шейки), менее травматичны. Но это не постулат (1943 J Bone Joint Surg Am.;25:319-339. W. P. Blount BLADE-PLATE INTERNAL FIXATION FOR HIGH FEMORAL OSTEOTUMIES). При подвертельных остеотомиях с латерализацией клинковые пластины метод выбора (по другому латерализацию дистального не выполнишь). Оптимальними являються рассчеты СORA по Dror Paley (centr rotation and angulation). Взяты из книги Principles of Deformity Correction by Dror Paley. Для примера межвертельные при двусторонних ложных cуставах шеек.
Филипчук
|
[
Ответить ]
|
Re: Клинковые пластины или DHS? / Blade-plates or DHS?
Отправитель: Danil Bliznets 02 Ноябрь 2009, 23:36
|
Спасибо за статью. Может быть Вы имели в виду медиализацию, как на приложенных снимках? Так это от формы импланта зависит, так и пластину DHS можно изогнуть при желании (лучше тогда, наверное, брать DCS, чтобы нужный угол получить), а может быть они уже и есть такие где-нибудь у кого-нибудь.
|
[
Ответить ]
|
Re: Клинковые пластины или DHS? / Blade-plates or DHS?
Отправитель: Филипчук Виктор 03 Ноябрь 2009, 03:34
|
Нет я имел в виду латерализацию.На приложенных снимках межвертельная остеотомия, т.е. уровень остеотомии близок к CORA, и ангуляция без трансляции (смещении по ширине латерализации) допустима: не будет происходить нарушение механической оси. В случае когда значительно укорочена шейка, большая разница в длине конечности и большая степень коррекции предпочтительнее подвертельная с латерализацией дистального фрагмента: функционально удлиняется шейка, большая коррекция длины конечности и нет натяжения m. Iliacus.
Филипчук
|
[
Ответить ]
|
Re: Клинковые пластины или DHS? / Blade-plates or DHS?
Отправитель: Филипчук Виктор 03 Ноябрь 2009, 21:11
|

Рисунок Principles of deformity correction
Авторы: Dror Paley,J.E. Herzenberg
|
[
Ответить ]
|
Re: Клинковые пластины или DHS? / Blade-plates or DHS?
Отправитель: Danil Bliznets 04 Ноябрь 2009, 17:16
|
Спасибо. Многое стало понятнее. Возвращаясь к теме обсуждения - почему бы при подвертельных остеотомиях, когда требуется латерализация диафиза, не использовать в качестве фиксатора DHS?
|
[
Ответить ]
|
Re: Клинковые пластины или DHS? / Blade-plates or DHS?
Отправитель: Филипчук Виктор 04 Ноябрь 2009, 19:30
|

15 лет назад, просматривая классический труд Ренато Бомбелли, обратил внимание, что на боковых рентгенограммах клинок фиксатора смотрит не строго по оси шейки, а как бы немножко спереди назад. Я тешил себя фразой «Акела промахнулся», и только потом проведя стереометрический анализ, установил что в силу нормальной физиологической торсии бедра, устанавливая клинок строго по шейке, для сохранения торсии накладная часть пластины ложится не на латеральную поверхность, а немного кзади, т.е вальгизационная остеотомия при торсии больше о градусов имеет экстензионный эффект а латерализация вызывает дорсализацию (для наглядности: при торсии 90 градусов вальгизационная остеотомия тождественна экстензионной, а вся латерализация по сути станет дорсализацией). Из-за вышесказанного: сложности стереометрических расчетов фиксация DHS коррегирующая остеотомия будет требовать присутствия нобелевского лауреата по геометрии.
|
[
Ответить ]
|
Re: Клинковые пластины или DHS? / Blade-plates or DHS?
Отправитель: Danil Bliznets 04 Ноябрь 2009, 21:33
|
Больше скольки градусов, простите?
|
[
Ответить ]
|
Re: Клинковые пластины или DHS? / Blade-plates or DHS?
Отправитель: Danil Bliznets 04 Ноябрь 2009, 21:40
|
Опять же, почему бы не закрутить винт так же спереди назад, как клинок, и не положить пластину на латеральную поверхность бедра?
|
[
Ответить ]
|
Re: Клинковые пластины или DHS? / Blade-plates or DHS?
Отправитель: Филипчук Виктор 05 Ноябрь 2009, 02:35
|
Больше ноля (0) . Я не ратую, за нестандартное размещение клинка фиксатора. За исключением экстраординарных случаев ( а, они бывают) клинок 130 градусного фиксатора должен совпадать с осью шейки и «смотреть» на центр ротации головки . Необходимо учитывать экстензионный эффект при вальгизационных, и флексионный при варизирующих положением ножки по отношению к диафизу. Хотя если быть справедливым, то 10-15 градусная антеторсия даст минимальное искажение: 40 градусная вальгизация (при 15 градусах антеторсии) даст 8 градусный экстензионный эффект. Таким образом, эти искажения являются существенными в детской практике, где 35 градусная антеторсия вариант нормы. По поводу DHS – у меня нет опыта, хотя Dror Paley в своей лекции, демонстрировал (рентгенснимки) 70 градусную (!!!!) вальгизирующую остеотомию (SUPER HIP) у ребенка синтезированную DHS. В последующем он перешел на клинковые пластины.
PS. В приложении слайды из моего доклада " О вреде скиаграмм в реконструктивной хирургии ПВСК"
фиксатор.jpg
125KB (128532 bytes)
|
[
Ответить ]
|
Re: Клинковые пластины или DHS? / Blade-plates or DHS?
Отправитель: Danil Bliznets 04 Ноябрь 2009, 17:16
|
Спасибо. Многое стало понятнее. Возвращаясь к теме обсуждения - почему бы при подвертельных остеотомиях, когда требуется латерализация диафиза, не использовать в качестве фиксатора DHS?
|
[
Ответить ]
|
|
Re: Клинковые пластины или DHS? / Blade-plates or DHS?
Михаил Васильев 03 Ноябрь 2009, 00:40
|
Не надо забывать и о том, что у DHS диаметр 12,8 мм. В некоторых случаях (при небольшом размере шейки бедренной кости), это далеко не плюс в плане травматизации. И еще маленькое замечание из практики - качественную пластину для DHS изогнуть да нужного угла (ну вообщем-то проблематично). Михаил. г. Йошкар-Ола.
|
[
Ответить ]
|
Re: Клинковые пластины или DHS? / Blade-plates or DHS?
Отправитель: Danil Bliznets 03 Ноябрь 2009, 19:50
|
А если один конец зажать в тисках, а на другой надеть трёхметровую трубу в качестве рычага?
|
[
Ответить ]
|
|
Re: Клинковые пластины или DHS? / Blade-plates or DHS?
Андрей Волна 03 Ноябрь 2009, 02:07
|
Уважаемые коллеги, наверное, вряд ли найдётся ещё один фиксатор, сохранивший больше человеческих жизней, чем DHS это сделал вот уже более, чем за 50 лет своего существования. Гениальная идея скользящего динамического винта, через втулку связанного с мощной диафизарной конструкцией позволила конвертировать срезающие силы, действующие на перелом, в силы компрессии. Причём даже у откровенно старых пациентов, тех, кто в силу немощи уже не может дозировать нагрузку. Функционально у DHS следующие главные отличия от клинковых пластин: - эффективный механихм скольжения, - отсутствие необходимости применения долот при установке, - пошаговая техника имплантации (все эти риски на инструментах идут из той поры, когда этот фиксатор устанавливался без ЭОПа), - мощная диафизарная часть. Конечно, если по тем или иным соображениям мы имплантируем DHS при внутрикапсульных переломах - конструкция, как правило, нуждается в ведении деротационного винта. При внекапсульных переломах DHS ротационно стабилен. В настоящее время этот фиксатор продолжает с успехом применяться для лечения переломов 31А1, причём даже в развитых странах. Связано это с тем, что при данных стабильных повреждениях механически гвоздь не имеет особых преимуществ. А DHS значительно дешевле. Поэтому в странах, где госпитальная экономика по прежнему имеет значение, например, в Нидерландах, при этих стабильных переломах ипользуют DHS. При переломах А2, А3 - конечно же гвоздь. Хотя мы предпочитаем гвоздь во всех группах латеральных переломов - малоинвазивно и симпатично. Но, нас то больничная экономика волнует мало, как правило. Редко какая больница покупает фиксаторы...
То, что касается остеотомий - вряд ли возможно согнуть DHS и, тем паче, DCS. А уж если у кого-то получится, то механизм скольжения уже точно будет потерян. Зачем? Хотя я не исключаю возможности применения DHS при остеотомии В ПРИНЦИПЕ (можно нарисовать такую линию остеотомии при некоторых ситуациях), но я с таким ещё не сталкивался. Да нет, и неудобно это, а если надо деротировать? Нет смысла, хотя в принципе, ещё раз оговорюсь, не исключаю я таких ситуаций. Если интересно: поищите книжку "Osteotomies for Posttraumatic Deformities" Rene K Marti и Ronald J van Heerwaarden, издательство Thieme, 2008г. Там много чего интересного по данной теме в дополнение к проксимальному бедру.
С уважением, Андрей.
|
[
Ответить ]
|
Re: Клинковые пластины или DHS? / Blade-plates or DHS?
Отправитель: Danil Bliznets 04 Ноябрь 2009, 17:34
|
Очень много, кто предлагает эту книгу, но все, к сожалению только за деньги. От 300 до 600 долларов североамериканских штатов. :-(
|
[
Ответить ]
|
Re: Клинковые пластины или DHS? / Blade-plates or DHS?
Отправитель: Бегемотмастермарго 06 Ноябрь 2009, 03:52
|
Ремень безопасности и виагра
|
[
Ответить ]
|
Re: Клинковые пластины или DHS? / Blade-plates or DHS?
Отправитель: Женя 07 Ноябрь 2009, 03:05
|
Бегемотмастермарго!
Шутить изволишь или просто хамишь? Здесь ведь собрались серьезные люди, не нарывайся...
|
[
Ответить ]
|
|
Re: Клинковые пластины или DHS? / Blade-plates or DHS?
Батал 04 Ноябрь 2009, 01:23
|
Дорогие коллеги! Можно ли, с вашей помощью, скачать откуда нибудь CD книги Principles of deformity correction
Авторы: Dror Paley,J.E. Herzenberg.
(может кто нибудь представит такую возможность?)
Спасибо!!!
|
[
Ответить ]
|
Re: Клинковые пластины или DHS? / Blade-plates or DHS?
Djoldas Kuldjanov 04 Ноябрь 2009, 02:18
|
Blade plate относится к "fixed angled device". Специальный U-образный профиль клинка создает дополнительную антиротационную стабилизацию. Из-за уникальности конструкции, где рассчитан каждый угол, изгиб, и из-за наилучших механических свойств имплант является одним из "the best" вариантов дизайна, когда-либо разработанных в реконструктивной ортопедии для бедра.
Вся операция по коррекции рассчитана на осуществление одной правильной манипуляции, т.е. создание идеального туннеля для клинка. Правильно выбранная позиция клинка создает нужную коррекцию: экстензию, флексию, вальгус и варус только за счет установки дистального конца пластины на наружной поверхности бедра.
Для осуществления правильной установки пластины необходим предварительный предоперационный план, а также наличие оригинального инструментария от Synthes. Только специальным инструментом (Sliding Chisel) и применением всех шаблонов можно правильно рассчитать угол введения клинка. Клонированные копии не создают хороший имидж методу.
Положительная сторона Blade Plate по отношению к DHS - это расположение клинка в головке горизонтально к нагрузочной поверхности, что создает большую площадь нагрузки, чем "острая" круглая поверхность шурупа. При таком расположении лучше распределяется сила и лучше переносится механическая нагрузка. В результате прорезывание чаще при использовании DHS, чем Blade Plate. Размер дефекта кости на головке также играет немаловажную роль в стабильности.
Но установка Blade Plate по сравнению с DHS технически сложнее, и было отрадно, что коллеги по сайту Виктор Волошин и Виктор Попов показали отличную технику установки Blade Plate.
Многие, к сожалению, не владеют традиционной техникой установки пластины и начинают искать альтернативные варианты. Когда-то очень популярная операция неоправданно становится "lost art". Вместо работы по улучшению технических навыков начинают искать легкие пути? включая подгонку имплантов под методику. В результате - трудноисправимая ошибка, или в лучшем случае дело заканчивается артропластикой в молодом возрасте.
Для восстановительных операций в проксимальной части бедра, например для лечения осложнений переломов шейки, всегда выбор должен быть в пользу Blade Plate, а не DHS. Хотя оба импланта успешно могут быть применены для лечения переломов.
Djoldas Kuldjanov, M.D.
Department of Orthopedic Surgery
St. Louis University
|
[
Ответить ]
|
Re: Клинковые пластины или DHS? / Blade-plates or DHS?
Отправитель: Danil Bliznets 04 Ноябрь 2009, 17:37
|
Спасибо за обстоятельный ответ.
|
[
Ответить ]
|
|
( Ответить )
|
|