Ответить
|
Re: высокая тибиальная остеотомия
Батал Шушания 10 Ноябрь 2009, 00:35
|

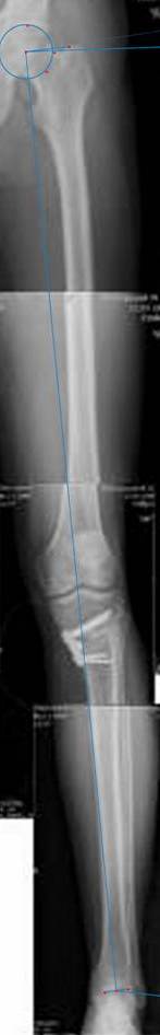
картинки оперированного пациента 40 лет, травма в 2006 году.
оперирован 06.11.2009г - корригирующая остеотомия большеберцовой кости.
|
[
Ответить ]
|
Re: высокая тибиальная остеотомия
Отправитель: Alexander Artemiev 10 Ноябрь 2009, 09:51
|
Здравствуйте, Батал.
Скажите, действительно ли эта остеотомия высокая?
С уважением Александр Артемьев
|
[
Ответить ]
|
Re: высокая тибиальная остеотомия
Отправитель: Батал Шушания 11 Ноябрь 2009, 02:37
|
Согласен с Вами, эта "скажем" не высокая остеотомия
нужно было выше.....
Я картинку собрал с некоторыми погрешностями, если провести отвес от центра вращения головки бедра до середины голени (на пациенте),то имеется небольшой вальгус (гиперкоррекция)конечно она (гиперкоррекция) не достигает 10 гр, но 5 гр она достигает.
Проблема как сделать рентгеновские снимки а потом их совместить правильно, кто знает как решить этот вопрос. Ведь стандартные размеры рентгенкассет, оснащенные наши стационары отснять всю конечность с трех попыток!
С уважением Шушания Батал.
|
[
Ответить ]
|
Re: высокая тибиальная остеотомия
Отправитель: Андрей Каминский 11 Ноябрь 2009, 17:13
|
Можно длинную планку с дырками (от аппарата Илизарова) положить рядом с ногой, так, чтобы ее часть попала на 2 снимка. Потом совместить дырки на рентгенограммах, совпадет и длинник кости. Можно просто метки на столе сделать, снимать, совмещать, обрезать, клеить. Не очень большая сложность. Только больной не должен по столу скакать.
Каминский А.В. Курган.
|
[
Ответить ]
|
Re: высокая тибиальная остеотомия
Отправитель: Рашид Муртузалиевич Тихилов 10 Ноябрь 2009, 13:45
|
Уважаемый д-р Батал Шушания,
К сожалению, не очень удачный пример. Если верить Р-граммам, имеет место быть дисплазия мыщелков бедренной кости с наклоном суставной линии. Это уже создает сложности получения хороших отдаленных результатов. Кроме того, по классике, необходима гиперкоррекция с созданием вальгуса 7-10 градусов для максимальной разгрузки медиального отдела КС. Если верить укладке, то линия сустава имеет четкий варусный наклон, поэтому результат операции м.б. кратковременным. В этих случаях показана двойная остеотомия бедра и тибии.
С уважением, Р.Тихилов
|
[
Ответить ]
|
Re: высокая тибиальная остеотомия
Отправитель: Alexander Artemiev 10 Ноябрь 2009, 15:54
|
Здравствуйте, дорогие коллеги.
Позволю высказать своё мнение.
Впечатление искажает неправильная укладка.
Если сделать правильно, то видно, что бедренная кость в порядке, а цель остеотомии (низкой, кстати), не достигнута вовсе.
Сохраняется варус. Для того, чтобы создать вальгусную гиперкоррекцию, не моделируя при этом откровенный Х голени, можно сделать медиализирующую остеотомию.
Хотя это, видимо, создаст трудности для потенциально возможного эндопротезирования.
Исчерпывающим образом правила укладки, оценки углов и выбора уровня и направления высоких остеотомий представлены у Dror Paley в Принципах коррекции дефрмаций.
Очень интересная книжка.
С уважением Александр Артемьев
|
[
Ответить ]
|
Re: высокая тибиальная остеотомия
Отправитель: Владимир Худобин 11 Ноябрь 2009, 01:55
|
Ув.Александр.Как раз бедренная кость и не в порядке. Абсолютно прав проф.Р.М.Тихилов - "имеет место быть дисплазия мыщелков бедренной кости с наклоном суставной линии". Именно это определяет патомеханику процесса в суставе и пути её устранения. Тибиальная остеотомия - палеотив, ещё менее эффективна медиализация. Только двойная(или на двух уровнях) остеотомия исправит положение сустава и при данном (рентгенологическом) состоянии сустава, протез понадабиться глядишь лет через двадцать, а может вообще не понадобиться.
С ув. Владимир Худрбин.
|
[
Ответить ]
|
Re: высокая тибиальная остеотомия
Отправитель: Alexander Artemiev 11 Ноябрь 2009, 17:14
|
Здравствуйте, Владимир.
Честно говоря, обсуждаемый случай не представляется чрезвычайно интересным. Рашида Муртазалиевича я и так уважаю.
Но коль уж пошла такая дискуссия...
Покажите, где Вы видите наклон суставной щели и в какую сторону?
Расчертите углы, пожалуйста.
С уважением Александр Артемьев
|
[
Ответить ]
|
Re: высокая тибиальная остеотомия
Отправитель: Maxim Agalakov 11 Ноябрь 2009, 21:01
|
присоединяюсь, если бы были проблемы с бедром, скорее был бы вальгус, все проекционно.
|
[
Ответить ]
|
|
( Ответить )
|
|