ВХОД ДЛЯ ПАЦИЕНТОВ
вверх
поиск
админ
главная
исходное
последующие
|
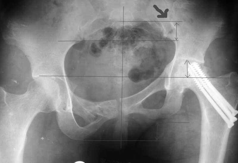
Re: AVN of femoral head and fracture of the pelvis.
послал Рунков А.В. 18 Ноябрь 2009, 22:22
|

Привет, Макс. Не торопись, посмотри внимательно на истинную картину. Толстая стрелка указывает на нижний край смещенного кп сочленения.
Поэтому считаю, что Принять какое-либо решение без кт и дополнительных проекций неразумно.
РАВ
|
Послать ответ |
Обратите внимание: Поля с жирными названиями обязательны.
Старайтесь отвечать в рамках обсуждаемой темы, а не начинать новые обсуждения.
Указывайте адекватную тему сообщения, чтобы было ясно, о чем оно.
Не послайте сообщений не по теме (оффтопик), раздраженных, грубых или обидных комментариев. Здесь это неуместно.
|