AOTRAUMA.ORG Центр Илизарова  

Ортопедия и травматология Общие вопросы/General questions Help Информационные технологии в медицине
 ВХОД ДЛЯ ПАЦИЕНТОВ
 вверх
 поиск
 админ
 главная


Некроз ББК
Ортопедия и травматология Прислано Zadneprovskiy Nikita 23 Ноябрь 2009, 22:28
из
Уважаемые коллеги.

В июне 2009 года, при рассверливании канала произошел ожог передней стенки ББК.
Со слов оперировавшего хирурга: «Не обратил внимания на то, что головка римера уперлась, и спохватился только в тот момент, когда прямо на глазах появилась яркая гиперемия кожи над этим местом».
Никаких действий по этому поводу не предпринималось. (Интересно, а что можно было бы осуществить в таком случае?).
Операция была закончена, пациент выписан. Вскоре образовался некроз, пациент лечился в стационаре.
Попытка хирурга закрыть дефект ротационным кожным лоскутом не увенчалась успехом. Больной выписан.

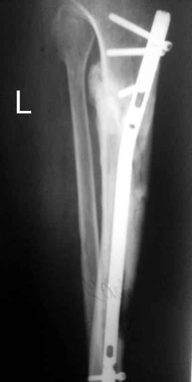
Итак, в настоящий момент больной пришел к нам с полной нагрузкой на оперированную конечность и с такой картиной (см. приложение). Участок мягких тканей с передней стенкой нижней трети ББК, выгнил и представляет дефект 2×2,5 см. На перевязке - циркулярный(?) некроз костной трубки.

Пациенту за 70 лет.
Мои соображения:
1 этап - резекция tibia + косая остеотомия fibula + «острое» укорочение + IM цемент-гвоздь с а/б + beads.
2 этап (по заживлению раны) – удаление цемент-гвоздя + (LATN) Lengthening and Then Nailing.
Прошу помощи по тактике. Никита Заднепровский

Послать ответ

Имя
Email
Уведомление Сообщить мне по e-mail об ответах на это сообщение
Название
Комментарий
(Проверьте URL! Не забудьте написать http://!)
Кодировка
Если не знаете, что выбрать, выберите "Просто текст"!
Приложение
Можно приложить к сообщению файл c изображением, который затем будет доступен увидевшим сообщение.
Подготовка иллюстраций:
  • Рентгенограммы: черно-белые полутоновые изображения в формате JPEG (8 bit, greyscale) с разрешением от 300х200 до 1024х768 пикселов;
  • Клинические фотографии: полноцветные изображения в формате JPEG (24 bit, truecolor) с разрешением от 300х200 до 1024х768 пикселов;
  • Схемы и рисунки: черно-белые (2 bit) штриховые (line-art) изображения в формате GIF или compressed TIFF
  • Подберите степень сжатия файла JPEG и размер изображения таким образом, чтобы необходимые детали были различимы, но размер файла не превышал 75 кб.
  • Учтите, что текущая версия программного обеспечения Форума позволяет приложить к одному сообщению лишь один файл-вложение. Поэтому, если необходимо отправить несколько изображений, можно либо послать каждое как отдельное сообщение, либо в графическом редакторе объединить изображения в одно (сделать коллаж).
  • Если при подготовке изображений встречаются трудности, не стесняйтесь обратиться к координатору Форума.

  • Введите видимые символы в обратном порядке. Enter the above characters in reverse order (*Обязательно)
    В тексте сообщения можно использовать теги HTML <B> <I> <P> <A> <LI> <OL> <UL> <EM> <BR> <TT> <HR> <STRONG> <BLOCKQUOTE> <DIV .*> <DIV> <P .*>
  • Обратите внимание: Поля с жирными названиями обязательны.
  • Старайтесь отвечать в рамках обсуждаемой темы, а не начинать новые обсуждения.
  • Указывайте адекватную тему сообщения, чтобы было ясно, о чем оно.
  • Не послайте сообщений не по теме (оффтопик), раздраженных, грубых или обидных комментариев. Здесь это неуместно.
  • Powered by Zope  Squishdot Powered MedLink
    Посетитель: 0262036
      "По форме правильно, а по существу - издевательство" В.И.Ленин
    ©2001-2019Orthoforum Coordinator.
    [ Главная | Отправить сообщение | Поиск | Админ ]